Татуаж глаз с растушевкой: принципы перманентного макияжа стрелок

Перманентный макияж глаз — это специальная технология введения в верхние слои кожи век красящего пигмента. Данная процедура имеет долгосрочный эффект и используется для создания естественного образа на несколько месяцев. Татуаж глаз с растушевкой считается наиболее удачным вариантом, способен заменить одновременно подводку и декоративные тени.
Особенности процедуры татуажа глаз с растушевкой
Перманентный макияж глаз стрелки с растушевкой вошел в моду сравнительно недавно, но сумел завоевать множество положительных отзывов. Эту технику используют в качестве универсального метода коррекции природной формы глаза, когда веко нависает.
В зависимости от того, наносится красящий пигмент только в межресничное пространство, на верхнее веко или в совокупности с нижним контуром, получаются различные образы.
В процессе проведения процедуры татуажа глаз используется специальный инструмент с тонкой иглой, которая вводится в кожу на глубину не более 1,2 мм. Вначале прорисовывается аккуратная стрелка, которая служит основой для создания эффекта растушевки. После этого мастер осторожно размывает контуры рисунка мельчайшими вертикальными штрихами. В результате получается эффектный дымчатый макияж, выглядящий максимально натуральным.
Виды татуажа глаз с растушевкой и техники выполнения
Правильно выбранный вид татуажа век способен скорректировать любые недостатки черт лица, в том числе визуально убрать асимметрию. Перманентный макияж подходит для глаз любой формы — от узких азиатских до круглых и миндалевидных. С помощью широкой палитры пигмента подбирается необходимый оттенок стрелок и теней, в соответствии с цветом радужной оболочки и общим цветотипом внешности клиента. Благодаря растушевке создается неповторимый образ, подходящий для повседневных выходов и праздничных мероприятий.
Стрелки с растушевкой
Татуаж стрелки с растушевкой относится к классическому перманентному макияжу глаз. Подобная техника используется для придания ресницам дополнительной пышности и объема. При этом пигмент может наноситься не только в межресничном пространстве, но и по контуру линиями большей толщины, для придания взгляду драматичности. Конечный вид рисунка целиком зависит от пожеланий клиента.
Пошаговая инструкция:
- Перед началом проведения процедуры необходимо тщательно удалить с ресниц и кожи глаз декоративную косметику.
- Проводится антисептическая обработка участка века, в который будет вводиться красящий пигмент для растушевки.
- Далее на коже специальным маркером рисуется эскиз будущей стрелки.
- Проводится анестезия: на выделенную зону вокруг глаза распределяется специальный крем или гель, который уменьшает боль, возникающую во время процедуры татуажа. Время воздействия анестетика — около 15 минут.
- Межресничное пространство, контур рисунка и внутренняя область заполняются краской с помощью тонкой иглы специального инструмента.
- После нанесения базовой стрелки делается растушевка. Границы рисунка аккуратно размываются мелкими тонкими вертикальными штрихами.
- Завершающий этап процедуры — обработка век кремом для заживления, помогающим уменьшить покраснение кожи.
Цвет маркера, которым делается эскиз стрелки, должен соответствовать оттенку пигмента.
Татуаж теней с растушевкой
Татуаж тени на веках входит в категорию трудоемких видов перманентного макияжа глаз. Сложность заключается в плавном переходе оттенков красящего пигмента от более темного к светлым. Клиенты часто выбирают нестандартные цветовые решения, профессионализм мастера заключается в умении подобрать палитру тонов, которая максимально подчеркивает природную красоту глаз и провести плавную растушевку.
Пошаговая инструкция:
- Начальный этап проведения процедуры татуажа — удаление с ресниц и кожи глаз декоративной косметики.
- Участок века, на котором будет проводиться рисование теней с растушевкой, тщательно обрабатывается антисептиком.
- С помощью перманентного маркера наносятся контуры будущей стрелки.
- После прорисовки эскиза кожа века обрабатывается специальным обезболивающим средством, чтобы во время татуажа минимизировать неприятные ощущения.
- Инструментом с тонкой иглой на выделенную область наносится краска.
- Следующий шаг — нанесение теней. В зависимости от пожеланий клиента, растушевка делается вдоль контура стрелки или на всю область века.
- Заключительный этап татуажа — обработка глаз специальным средством, способствующим быстрому заживлению кожи.
Продолжительность полученного эффекта зависит не только от уровня профессионализма мастера и качества используемой при татуаже краски.
Немаловажную роль играет уход за глазами после завершения процедуры нанесения краски и растушевки.
В течение нескольких дней на поверхности обработанной зоны образуются корочки — это сигнал, что кожа начинает восстанавливаться. Процесс заживления обычно сопровождается неприятным зудом. В этом случае запрещается механическое воздействие — чесание, трение и прочее. Со временем корочки отпадут самостоятельно.
Кому подходит татуаж век с растушевкой
Как показывает практика, татуаж век подходит практически всем. Есть лишь небольшие ограничения для растушевки теней — стилисты советуют использовать эту технику более взрослым женщинам, поскольку тени отлично маскируют возрастные изменения кожи. С другой стороны, большинство клиентов для макияжа глаз выбирают перманентное прорисовывание стрелок. Это связано с тем, что немногие готовы в течение полугода носить один и тот же образ.
Кому подходит татуаж с растушевкой:
- обладательницам редкого и короткого волосяного обрамления глаз;
- страдающим мадарозом — отсутствием ресниц или их активным выпадением;
- девушкам, не имеющим аллергии на определенные компоненты краски;
- тем, кто предпочитает естественный макияж;
- женщинам с высоким болевым порогом: несмотря на анестезию, процедура сопровождается неприятными ощущениями, в области век сосредоточено множество нервных окончаний в области вокруг глаза.
Противопоказания к процедуре
Как и любая косметическая процедура преображения век, связанная с использованием химических средств, татуаж с растушевкой обладает рядом ограничений.
Перед проведением сеанса необходимо проконсультироваться с офтальмологом и дерматовенерологом.
Нужно заранее выяснить, есть ли у вас противопоказания к татуажу — аллергии, заболевания глаз и пр.
Список противопоказаний к процедуре татуажа с растушевкой:
- беременность и период лактации;
- менструации;
- любые инфекционные заболевания;
- воспалительные процессы кожных покровов век;
- низкая свертываемость крови;
- сахарный диабет на любых стадиях;
- онкология;
- заболевания, связанные с нервной системой и пр.
Еще один фактор, на который нужно непременно обратить внимание — пониженное зрение. Рекомендуется уточнить у окулиста, может ли татуаж с растушевкой повредить глазам в конкретном случае.
Как часто нужно делать коррекцию
Перманентный макияж известен тем, что стойкость окрашивания сохраняется на срок до шести месяцев. Несмотря на это, большинство клиентов салонов красоты регулярно обращаются на коррекцию татуажа с растушевкой.
Не всегда причиной служит некачественный пигмент. Во многих случаях необходимость коррекции вызвана желанием поправить неровности прорисованных стрелок.
Второй повод обратиться к мастеру — неравномерное распределение краски при растушевке.
Врачи разрешают проводить коррекцию только после полного заживления глаз после татуажа. Нужно подождать около двух недель — за это время поврежденная кожа полностью восстановится, что проявится в полном отпадении сухих корочек с поверхности век. В остальных случаях мастера советуют корректировать стрелки каждые 2-3 месяца, за этот промежуток пигмент бледнеет на пару тонов. Но это условие не является принципиальным. При желании провести следующий сеанс татуажа с растушевкой можно через полгода, когда краска практически полностью исчезнет с кожи глаз.
domkrasotki.ru
Перманентный макияж (татуаж) глаз с растушевкой
Основы перманентного макияжа
1Прибор для проведения перманентного макияжа — это специальная машинка, равномерно заштриховывающая по выбранным линиям кожу. Машинки различаются качеством, потому не стоит экономить на процедуре, поскольку более дешевые увеличивают время процедуры. Для них применяются специальные краски, не вызывающие аллергию. Но до процедуры квалифицированный мастер всегда проводит тест на аллергичность к краске и наркозу.

Рекомендуем ознакомиться
Стойкость перманентного макияжа зависит от многих факторов, чаще всего такой макияж держится до 3 лет. Как правило, после года он требует обновления. У некоторых женщин держится от 5 до 10 лет. Татуаж глаз с растушевкой держится несколько меньше — от 6 до 9 месяцев.
К плюсам татуажа можно отнести:
- Экономия времени на макияже с утра.
- Коррекция небольших дефектов асимметрии лица.
- Можно не краситься на отдыхе и выглядеть отлично даже после купания.
- Можно создать практически незаметный, естественный макияж, позволяющий всегда выглядеть свежо.
Для исправления перманентного макияжа используется коррекция. Но она не всегда может справиться с результатом, особенно когда необходимо перекрыть неправильно подобранный цвет. Тогда применяют удаление неодимовым лазером. Он способен не только вывести полностью краску, но и скорректировать форму или осветлить цвет. Преимущества применения лазера заключаются в том, что после него не остается рубцов или шрамов. Количество процедур лазером зависит от следующих факторов:
- возраст рисунка;
- глубина нанесения татуажа;
- качество используемых материалов;
- размеры корректируемой площади.
Необходимо понимать, что не все цвета можно вывести полностью. Окончательный результат после применения лазера будет видеть не раньше чем через месяц, после полного заживления.
Если предлагается процедура перекрытия, лучше тщательно все продумать, поскольку результаты часто выглядят несколько неопрятно и размазано и будут заметны при тесном контакте.
Виды и правила нанесения
2Перманентный макияж глаз может отличаться степенью проникновения краски и техникой нанесения. Различают следующие виды:
- Межресничный перманентный макияж век. Считается одним из самых востребованных, поскольку идеально подчеркивает глаза, оставаясь незаметным для окружающих. Ресницы, благодаря такому татуажу, будут казаться гуще и темнее. А макияж, даже праздничный, сведется к нанесению туши и помады.
- Стрелки. Могут иметь разную длину, толщину и цвет. Краска вбивается по верхнему веку над ресницами. Цвет выбирается в зависимости от предпочтений, чтобы подчеркнуть внешность клиента.
- Татуаж век с растушевкой. Такой татуаж похож на стрелки, но в отличие от них не имеет графичного, законченного вида. Такой макияж менее заметен и естественен, больше похож на тени. Подходит женщинам в возрасте, поскольку не подчеркивает морщины в уголках глаз, а также прекрасно подчеркивает нижнее веко.

Для того чтобы татуаж век смотрелся гармонично, необходимо проводить его, отталкиваясь от особенностей внешности:
- Миндалевидным глазам, как правило, идет все.
- Если глаза у клиента близко посажены, необходимо подчеркнуть внешний уголок глаза, не затрагивать внутренний даже тонкой стрелкой.
- Если существует противоположная проблема и глаза широко поставлены, следует акцентировать внимание на внутреннем уголке глаза. Если клиент настаивает на стрелках, они не должны быть длинными.
- Для того чтобы расширить небольшие глаза, следует сделать линию немного толще над зрачком.
- Чтобы визуально увеличить глаза, следует избегать татуажа сразу верхнего и нижнего века, особенно черным цветом. Лучше акцентировать внимание на верхнем веке, удлинив стрелки.
- Для глаз круглой формы лучше избегать соединения верхнего и нижнего века. Немного уменьшить глаза можно, заузив линию над зрачком.
- Если глаза клиентки большие и выпуклые, стоит избегать толстых стрелок, достаточно будет закрасить межресничное пространство. При выборе стрелок следует их удлинить. Таким глазам хорошо подходит татуаж с растушевкой.
- Для корректировки «тяжелого» века следует делать линию от внутреннего и не доводить до конца, оставив буквально несколько миллиметров до внешнего уголка глаза. От татуажа нижнего века следует отказаться.
- Если глаза глубоко посажены, отлично подходит закрашивание межресничного пространства, лучше оттенком, максимально близким к цвету ресниц.
- Для корректировки раскосых глаз выбирают прямые стрелки.
- Если клиентка носит очки с плюсом, лучше делать тонкую стрелку или просто закрашивать ресницы. При очках, которые носят близорукие, лучше делать яркие стрелки.
Процедура проведения татуажа
3В первую очередь перед походом нужно внимательно изучить салон, в котором будет проводиться процедура, а также прочитать отзывы и посмотреть работы мастера. За сутки до назначенной процедуры необходимо исключить распитие алкогольных напитков, энергетиков, способных разжижать кровь. Если клиент является обладателем чувствительных глаз, стоит подготовиться и взять капли заранее.
Мастер в первую очередь рисует на веках работу, чтобы клиент высказаться об изменениях при желании. Такая прорисовка не требуется при закрашивании межресничного пространства. Затем наносится специальный крем для анестезии. Такая анестезия не исключает болезненных ощущений, поэтому следует быть к этому готовым. После действия крема мастер приступает к работе. В зависимости от сложности она может занять до 2 часов.
Процедура перманентного макияжа имеет свои стандарты, и на мастере лежит ответственность. В случае если клиента не устраивает результат или он отличается от первоначального, мастер должен провести коррекцию бесплатно. Мастер должен отвечать следующим требованиям:
- Осознавать и признавать ответственность за жизнь клиента и результат проведения процедуры.
- Подбирать материалы и анестезию в зависимости от чувствительности клиента к определенным препаратам.
- По первому требованию предъявить сертификат об обучении и опыте, качестве материалов.
Уход за кожей после процедуры
4Покраснения и припухлость век после татуажа — естественная реакция. Цвет краски очень яркий. После того как кожа восстановится, он посветлеет. Татуаж век после проведения требует особого ухода. В первую очередь их нельзя мочить, мазать кремами и красить. Поэтому походы в баню, бассейн, тренировки лучше исключить. Для скорейшего заживления следует пользоваться специальными кремами. Например, веки протирать Хлоргексидином, мазать Пантенолом. Для проведения этих процедур лучше пользоваться ватными палочками. Через некоторое время образуется защитная корка. Даже после ее появления нельзя трогать глаза пальцами и мочить водой. Корка проходит сама за 3 дня.

Если после процедуры появляется сильный зуд, следует смазать веки антибиотиком, который пописывают после нанесения татуировок.
При сильном покраснении глаз можно приготовить отвар ромашки и шалфея и приложить ватный диск к глазам на 15 минут.
Если после процедуры начали гноиться глаза или появился ячмень, следует какое-то время не выходить из дома и использовать капли, например Тобрекс, или оксолиновую мазь.
Эффект от перманентного макияжа полностью проявляется в течение 20 дней. Он становится заметно светлее и естественнее. Если клиенту не нравится результат, можно сходить на коррекцию. Для скорейшего восстановления кожи стоит избегать посещения бань, бассейнов, соляриев в течение 3 недель после процедуры.
Противопоказания
5Еще до проведения процедуры мастер должен ознакомить с противопоказаниями. К ним относят:
- раковые заболевания;
- инфекционные заболевания и ослабленный иммунитет;
- гемофилию;
- сахарный диабет;
- шрамы, рубцы и родинки в месте проведения татуажа.
Существуют временные противопоказания, которые решаются с помощью лекарств или времени:
- первый триместр беременности и период кормления;
- менструация;
- хронические заболевания в агрессивной стадии;
- гипертония;
- аллергия.
Отрицательный результат при татуаже век сводится к минимуму, если клиент ответственно подходит к выбору салона и мастера. Бывают плохие результаты в связи с использованием некачественных материалов, осложняющих процесс заживления. Стоит обращать особое внимание на обработку машинки, поскольку, если она нестерильна, высок риск заражения различными вирусами, в том числе и СПИДом. При работе у начинающего мастера нередко могут получиться неровные стрелки, убрать которые не получится с помощью коррекции. Такое исправляют только полным, болезненным удалением лазера.
wsight.ru
Перманентный макияж глаз (+фото)
За последние годы наибольшую популярность приобрел перманентный макияж глаз. Это и неудивительно, ведь с таким макияжем можно быть красивой и ухоженной целые сутки! В бассейне, в сауне, на пляже или теннисном корте можно быть уверенной в своей красоте. А знаете ли вы, что существует, как минимум, несколько видов перманентного макияжа? Сегодня мы расскажем о некоторых из них.
Межресничный татуаж

Только что сделанный макияж
Такой перманент представляет собой эффект ненакрашенного лица и делает взгляд более выразительным. Мастер закрашивает кожу век в межресничном пространстве, добиваясь, таким образом, идеальной густоты ресниц. Такой татуаж можно делать как на верхнем, так и на нижнем веке. Что особенно радует, этот макияж выглядит максимально естественно и подходит большинству женщин.
Татуаж со стрелкой

Межресничный татуаж со стрелкой
Этот вид перманентного макияжа представляет собой достаточно полное окрашивание кожи век над ресницами, выполненное более декоративно. Вы можете выбрать четкую подводку всего века, а можете ограничиться уголком глаз. Стрелку можно сделать самой разнообразной, здесь вариантов множество. Образ можно сделать классическим, можно – гламурным, кому как больше нравится! Правда, прорисовывание нижнего века подходит не всем, так как делает глаза более уставшими.
Татуаж с растушевкой

Легкий межресничный татуаж
Если вы любите яркий макияж, попробуйте перманент с растушевкой! Четко очерченная стрелка и слегка размытый край очень напоминает классический Smoky eyes и буквально притягивает взгляды! Также можно сделать эффект подводки тенями, чтобы подкорректировать форму глаз. Подойдет отлично как для нижнего, так и для верхнего века и поможет скрыть мелкие морщинки.
Как видите, вариантов перманентного макияжа глаз более чем достаточно. Но очень важно выбрать свой, не так ли? Вы можете решить эту проблему, воспользовавшись некоторыми рекомендациями:
- Выбирайте миндалевидную форму! Она просто идеальна для большинства глаз. Если глаза посажены слишком близко, откажитесь от искушения подчеркнуть внутренний угол глаз, и остановитесь на внешнем. Если глаза расположены, наоборот, широко, сделайте все наоборот.
- Если глаза слишком узкие, их можно округлить, сделав акцент в центре широким штрихом.
- Слишком маленькие глаза можно «приоткрыть», сделав стрелку на внешнем углу. Обязательно проведите нижнее веко, не соединяя его контур с верхним.
- Круглые и большие глаза предполагают закрашивание линии роста ресниц в сочетании с маленькой стрелкой. Подведите и нижнее веко, сделав акцент посередине.
- Если веки от природы нависшие, подводку сделайте от внутреннего уголка и доведите ее не до конца. Нижнее веко не подводите.
- Подкорректировать раскосые глаза можно, сделав прямую стрелку, а часть нижнего века при этом выделив светлым пигментом.
- Не делайте широкую подводку при выпуклых глазах, так как веки будут слишком тяжелыми. Вам подойдет татуаж с растушевкой.
- Глаза слишком глубоко посажены? Сделайте тонкую растушевку цветом как можно светлее и закрасьте линию ресниц.
Тонкие стрелки
Очевидные плюсы перманентного макияжа:
- С таким макияжем так легко быть красивой круглые сутки! На даче и на работе, в сауне и на городском пляже, в спортзале и в бассейне – где угодно!
- С перманентным макияжем вы позабудете про вечные неудобства в виде растекшейся туши и размазанных теней.
- Вы будете выглядеть значительно моложе, сколько бы ни было вам лет! Кроме того, такой макияж помогает скрыть мелкие морщинки и делает выразительным ваш взгляд!
- Даже сделав перманент, вы можете краситься, сколько угодно! Просто немного сэкономите на подводке для ресниц.
- При выполнении такого макияжа используются современные, абсолютно безопасные материалы, так что можете не беспокоиться ни о чем.
- С помощью татуажа так легко исправить форму глаз, данную вам природой! Раскосые глаза, слишком маленькие глаза или чересчур большие – любой недостаток можно сегодня исправить, было бы желание!
- Вы экономите время, собираясь по утрам на работу. Можно поспать на часик подольше. Здорово, не правда ли?
- Процедура перманентного макияжа совершенно безболезненна и занимает минимум времени.
- Сделать перманентный макияж можно как для глаз, бровей, так и для губ.
- Это относительно недорогая процедура, позволяющая, к тому же, значительно сэкономить на косметических средствах. К тому же, во многих салонах действуют специальные скидки.
- Если перманент вам все-таки надоест, не отчаивайтесь. Он делается вовсе не на всю жизнь, а на определенное время (например, на 5 лет). Так что можно поэкспериментировать и с формой, и с разрезом глаз!
Делайте выводы, милые дамы! Просыпаться идеально накрашенной, и, как следствие, с хорошим настроением мечтает каждая. Воспользуйтесь этим чудесным достижением цивилизации и будьте красивыми!
Перманентный макияж для глаз фото :


Модный татуаж глаз

Татуаж после коррекции

Стрелка может использоваться для коррекции формы глаз
Перманентная подводка глаз
glamius.ru
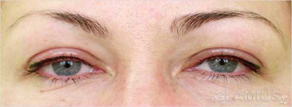
Татуаж нижнего века с растушевкой

Татуаж нижнего века – представляет собой трудоемкую и специфическую работу, в которой нет места ошибкам. Отправляясь на окрашивание этой зоны глаз, необходимо убедиться в правильности своего решения и просмотреть фото готовых работ мастера. Неправильный рисунок способен сильно испортить внешность и стать самой большой проблемой в вашей жизни.
В каком стиле подвести нам глазки?
Глаза часто называют зеркалом души. Они могут искушать, обольщать, обжигать и манить. Эти драгоценные камни светятся разноцветными лучиками от счастья и меркнут при плохой погоде. Чтобы окружающие могли любоваться их красотой, им нужна правильная огранка. А какой лучший метод подчеркнуть глазки? Конечно, подвести их по контуру и добавить желаемого эффекта – сексуальность, строгость, романтичность, мягкость.
Косметический карандаш и другие средства не способны устоять перед жаркой погодой и атмосферными осадками, из-за чего можно оказаться в неловком положении и предстать с растекшимся макияжем перед коллегами или любимым человеком. Чтобы такого никогда с вами не произошло, был разработан спасительный татуаж для верхних и нижних век, который ни при каких условиях не сотрется с вашего личика. Вы можете смело гулять под дождем, купаться, загорать, делать фото и всегда оставаться на высоте.
Но в каком стиле выполнить подводку? Если вы еще не определились с рисунком, то предлагаем вам узнать об основных правилах подбора эскиза и создания долговременного визажа.

Техники, применяемые для нанесения татуажа на нижнее веко:
- Межресничка. Предполагает заполнение пространства между волосками ресниц. Данная техника позволяет сделать реснички визуально густыми и объемными. При этом вы не выглядите накрашенной, нет четких границ, область глаз просто выглядит ярко и выразительно. Такой макияж подходит абсолютно всем женщинам, вне зависимости от возраста.
- Стрелочка. Это декоративный вид нанесения пигмента. Он предполагает прорисовку контура под веком. Выполняется в виде четко прорисованной подводки, которая может иметь разнообразную форму, ширину и длину. Такой тип визажа подходит далеко не всем! У клиенток старшего возраста он может усилить видимость отвисшего века. Прежде чем решиться на этот вид рисунка, необходимо изучить фото с неудачными работами, чтобы быть готовой к любому исходу.
- Татуаж на нижнее веко с мягкой растушевкой. Данная методика предполагает создание стрелочки с размытыми краями. Благодаря растяжке цвета можно достичь эффекта окрашивания тенями. Это идеальный вариант для исправления неровных контуров, помогает сделать более открытым взгляд при опущенных уголках глаз и тяжелом верхнем веке. Часто рекомендуется мастерами клиенткам с морщинками на лице, у которых не представляется возможным провести четкие линии.
Если вы еще не определились с техникой нанесения пигмента, то советуем вам обратиться в салон красоты для собеседования с мастером, который даст правильный совет и покажет фото с вариантами, которые лучше всего подойдут вам.
При выборе всегда ориентируйтесь на следующие важные факторы:
- возраст;
- форма и разрез глаз;
- наличие шрамов, морщинок.
Теперь предлагаем вам узнать, какой стиль подводки предпочтительнее для разных форм век:
- Самой правильной и идеальной считается миндалевидная — внутренние и внешние уголки расположены на одной прямой. Для обладательниц этих прекрасных очей можно смело подбирать любой рисунок. Чаще всего косметологи делают рекламу татуажа нижнего века при помощи фото с данным типом разреза глаз. Любая методика на них смотрится безупречно.
- При близкой посадке контур должен проводиться только на внешней трети.
- При широком расположении лучше сделать акцент на внутреннем уголке. Здесь лучше будет смотреться межресничка или тонкая стрелочка с растушевкой.
- Маленькие глазки легко расширить четкой линией, которая не соединяется с верхней частью подводки.
- Визуально уменьшить слишком большую форму можно при помощи стрелки, которая будет начинаться от середины глаза, и проходить максимально близко у границы роста ресниц.
- Татуаж для раскосых глаз на нижнее веко выполняется в светлых тонах серого или коричневого. Рисунок начинается с небольшим отступом от переносицы.
- Откорректировать глубоко посаженные очи поможет тонкая черта с растушевкой. Нежелательно для этой цели использовать слишком темные цвета, особенно черный. Можно воспользоваться техникой заполнения межресничного пространства.

Перед началом работы косметолог создаст эскиз, который вы должны будете окончательно согласовать и в случае необходимости внести коррективы. Можно сделать несколько вариантов, заснять их на фото, а потом выбирать лучший образ. Такой подход займет много времени, но зато он более правильный и поможет избежать ошибок.
Никогда не соглашайтесь на введение пигмента без предварительной прорисовки будущего макияжа карандашом!
Как подготовиться к процедуре и как ухаживать за новым визажем
Какой бы татуаж века вы не выбрали, с растушевкой, четкий контур или межресничка, ваша кожа будет травмирована. Это происходит из-за особенностей методики введения красителя. Чтобы макияж служил вам не один год пигменты нужно ввести во внутренние слои дермы, где они должны прижиться и приобрести окончательный вид. Для этого используется машинка с иглой на конце, которая и проникает на нужную глубину. В результате такого малого оперативного вмешательства область глаз в первое время выглядит припухшей и болезненной. Чтобы оценить результат можно сделать фото сразу после окончания работы, чтобы увидеть недочеты и изменения, которые будут проходить в процессе реабилитации.
Рекомендуем почитать:
Татуаж век
Стоимость татуажа глаз
Отечность, покраснение является нормальным явлением. Для устранения этих неприятных последствий можно приложить холодный компресс. Обязательно в сухом виде! Буквально через несколько минут веки придут в нормальное состояние. На следующее утро после сеанса окрашивания отек может вернуться, и так будет продолжаться на протяжении нескольких дней.

Для ускорения процесса заживления косметолог пропишет лекарственные препараты и мази. Строго соблюдайте все рекомендации!
На следующий день поверх рисунка образуется корочка, которую нельзя удалять механическим путем, этот процесс должен проходить естественно. На фото можно отслеживать, как проходит восстановление дермы.
- В первые дни защищайте зону глаз от солнечного излучения при помощи темных очков.
- Несколько раз в день наносить заживляющие мази.
- Не мочите корки, не обрабатывайте их косметическими и моющими средствами.
Благодаря правильному уходу татуаж века глаз с растушевкой или в виде четкой линии будет выглядеть идеально, как на фото из портфолио.
tatuazhpro.ru
