Какая операция самая лучшая при расширении вен?
Такой вопрос часто задают пациенты, которые уже решились избавиться от варикозных вен или сосудистых звездочек при помощи хирургического вмешательства. Но они плохо представляют себе, какая операция на вены ног лучше помогает в каждом конкретном случае, как она называется, что за осложнения встречаются в послеоперационном периоде.
На самом деле разновидностей операций не так уж много, их можно поделить на «малые», которые делаются через небольшой прокол на коже, и «большие», когда больная вена на ноге вырезается (вытаскивается) полностью. Давайте разберемся, в каких случаях необходимо прибегать к серьезному хирургическому вмешательству, а когда поможет небольшая операция.
Лазерная коагуляция, она же ЭВЛК, она же ЭВЛО, и она же ЭВЛА
Если диаметр варикозно расширенной вены небольшой, вам могут предложить лазерную коагуляцию (или, по-другому, ЭВЛК — эндовазальная лазерная коагуляция). Ее принцип такой — в вену вводится «проводник» с лазерным излучателем на конце. После включения лазера, его двигают по направлению сверху вниз, по мере продвижения по вене происходит ее «склеивание». После операции на пациента одевают специальный компрессионный чулок и заставляют ходить около 40 минут. Это делается для того, чтобы кровь перераспределилась и начала течь по другим венам.
Обработанный лазером больной сосуд постепенно рассасывается, от него не остается и следа. Последствия такой операции — красивые, не обезображенные «гроздьями» варикозных вен, ноги.
Но надо помнить, что варикоз — хроническая болезнь, то есть возможность повторного выпячивания уже другой вены никто не исключает. Об этом вам скажет любой хирург, они этого не скрывают.
Другое дело, что для замедления процесса вы можете сделать очень много сами: носить компрессионное белье, делать специальную гимнастику, просто много ходить. Ведь варикоз часто развивается там, где мало движения, застой крови.
Склеротерапия как еще одна «офисная» операция
Почему «офисная»? Да потому, что вы сможете вернуться в свой офис прямо в день манипуляции. Так прозвали все малые хирургические вмешательства, которые не требуют общего наркоза, длительного пребывания в больнице.
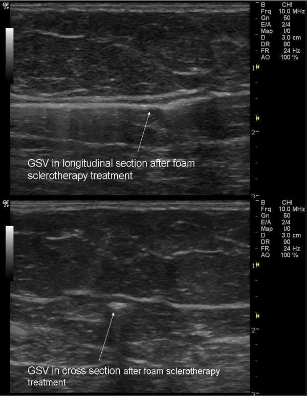
Принцип склеротерапии такой же, как и лазерной, только в вена «склеивается» специальным клеем-склерозантом. Бывает еще пенная склеротерапия, когда склерозант прямо перед манипуляцией взбивается в пену. Так он лучше заполняет просвет сосуда. Однако для пенной склеротерапии существуют противопоказания. Особенно опасно такое вмешательство при наличии патологии сердца, порока, который связан с «овальным окном» — есть опасность попадания пены по венозной системе в сердце.
Склеротерапию не делают при склонности к тромбообразованию (это же относится и к лечению лазером), при гипертонии, беременности. Но большинство пациентов, прошедших эту процедуру, имеют положительные отзывы, говорят, что ноги стали меньше болеть и уставать, да и косметический эффект виден сразу и не может не радовать.
Большая операция по удалению вен — флебэктомия
Флебэктомия — полное удаление варикозной вены
Врачи по венозным болезням — флебологи — в некоторых случаях не считают возможным применение малых операций. Поэтому есть список показаний для проведения флебэктомии (полного удаления вены):
- распространенный варикоз;
- большой диаметр расширенных сосудов;
- отеки и сильная утомляемость ног даже без видимых варикозных сосудов;
- осложнения варикозной болезни, такие как тромбофлебит и трофические язвы;
- отечность и усталость ног при выраженных варикозных сосудах.
Современные методики позволяют сделать операцию флебэктомии минимально травмирующей для пациента. Кроме того, у этой операции существуют разновидности:
- Кроссэктомия (когда подкожная вена пересекается в самом месте ее впадения в глубокую в верхней части бедра).
- Сафенэктомия — классическая операция по удалению подкожных сосудов.
- Стриппинг — когда зондом извлекается лишь измененная часть сосуда.
- Микрофлебэктомия — с помощью крючка удаляется через маленькие проколы.
Как видите, выбор довольно большой. Как правило, хирург использует несколько методов, например, комбинирует флебэктомию со склеротерапией, чтобы убрать одновременно и большую вену и мелкие расширенные сосуды.
Что делать после флебэктомии
После «большой» хирургической операции на венах пациенту надевается компрессионный чулок, который не рекомендуется снимать в течение 3 суток.
Обязательна лечебная физкультура, дозированная ходьба. Назначается и легкий массаж. Никаких тяжелых нагрузок и занятий спортом не допускается. Тепловые процедуры тоже исключены (баня и бассейн пока под запретом). На ноге могут еще некоторое время оставаться синяки и уплотнения, не надо этого пугаться, они пройдут через несколько недель.
Швы снимают примерно через неделю, но компрессионное белье врачи рекомендуют постоянно носить еще хотя бы месяц. Снимать, конечно, можно, но ненадолго — чтобы помыться, чтобы нога немного «отдохнула».
celebemed.ru
ее виды, как она проходит
Варикозное расширение вен относится к широко распространенным заболеваниям, для лечения которого используются индивидуально подобранные методы воздействия. Без своевременной терапии развиваются серьезные осложнения, способные привести больного к инвалидизации. Сегодня чаще всего рекомендуют хирургические методы устранения варикозных вен.
Варикозное расширение вен — поражение поверхностных венозных нижних конечностей, характеризующееся нарушением работы клапанов и регургитацией крови. Подобные изменения приводят к расстройству кровообращения и возникновения типичной симптоматики: жжения и тяжести в ногах, иногда появляются ночные судороги в икроножных мышцах. В тяжелых случаях отмечаются отеки, гиперпигментация кожи и липодерматосклероз.
Термин “варикоз” происходит от лат. varix, род. п. varicis — “вздутие”. (По данным wikipedia.org)
Для лечения болезни чаще всего прибегают к операции по удалению вен на ногах. Перед хирургическим вмешательством обязательно проводятся обследования, которые помогают оценить общее состояние здоровья человека, возможно выявить сопутствующие заболевания. Также важно знать основные принципы послеоперационного ухода и те осложнения, которые могут возникать после проведения операции.
Видео: Как делают операцию при варикозе вен на ногах
Основные показания
- Хирургическое удаление или облитерация варикозных вен чаще всего проводится с косметической целью.
- Некосметические показания включают лечение симптоматической варикозновости с такими проявлениями, как боль, утомляемость, тяжесть, рецидивирующий поверхностный тромбофлебит, кровотечение.
- Консервативное лечение чулками и наружным компрессией является приемлемой альтернативой хирургии, но ухудшение кожных проявлений или симптомов, несмотря на эти меры, обычно со временем все-таки требует хирургического вмешательства.
- Стремление пациента к хирургическому лечению при неэффективности консервативного воздействия или только в косметических целях является разумным относительным показанием к операции.
- Пациенты с обструкцией венозного оттока не должны удалять варикозные сосуды или делают это частично, потому что эти вены являются важными обходными путями, которые позволяют кровотоку обтекать препятствие.
- Те пациенты, которые не могут оставаться достаточно активными, чтобы снизить риск послеоперационного тромбоза глубоких вен (ТГВ), не должны подвергаться хирургическому вмешательству.
- Хирургия во время беременности противопоказана, потому что многие расширенные из-за варикоза вены после родов спонтанно регрессируют.
Лечение варикозного расширения вен развивается на протяжении веков и тенденция к ее снижению пока не рассматривается. Менее инвазивные методы продолжают совершенствоваться, но долгосрочная эффективность всегда должна проверяться согласно критериям основного хирургического воздействия — сафенэктомии.
Для выбора правильной операции по удалению вен на ногах используют различные виды диагностики, например:
- Определение венозного давления
- Светоотражающая реография
- Дуплексная сонография + цветовое картирование
- Плетизмография.

Основы хирургического лечения
Хирургическая терапия варикозных вен находится на стадии становления более 2000 лет, но до нынешней эпохи относительно небольшое значение придавалось чисто косметической направленности лечения. Современные методы воздействия становятся менее инвазивными и приводят к более успешному восстановлению больного, но отдаленные результаты пока точно не определены. Поэтому на сегодня терапия направлена на удаление поверхностной венозной системы с помощью следующих методов воздействия:
- Хирургии
- Эндовенозной абляции
- Склеротерапии
В 90% случаев, когда венозная гипертензия развивается из-за поверхностного и перфораторного рефлюкса, удаление или облитерация большой подкожной вены (БПВ) может помочь улучшить состояние больного с венозной гипертензией. В остальных 10% иногда требуется дополнительное лечение некомпетентных (несостоятельных) перфорантных вен. Кроме того, если существует серьезная глубокая венозная некомпетентность, лечение только БПВ обычно не способствует разрешению венозной гипертензии.
В обоих случаях могут использоваться дополнительные вмешательства, например:
- Субфасциальная эндоскопическая перфорирующая операция (СЭПО)
- Аблация перфораторной вены
- Венозная реконструкция.
На данный момент будут рассмотрены процедуры удаления поверхностной венозной системы, начиная самыми инвазивными и заканчивая наименее инвазивными. Также будут оценены исторические перспективы, преимущества и недостатки каждой из методик. Однако перед любым вмешательством обязательно проводится дуплексная ультрасонография (ДУСГ), позволяющая провести тщательное изучение всех основных путей рефлюкса. Дополнительно применяется пигмент-маркер с целью обозначения всех поверхностных сосудов, подлежащих удалению.
Техника открытого доступа
Способ Rindfleisch-Friedel, известный с начала 1900-х годов, основывался на выполнении одного разреза до глубокой фасции, которая проходит вокруг ноги шесть раз, создавая спиралевидный желоб, приводящий в действие большее количество поверхностных вен, ранее лигированных. Создаваемая рана оставалась открытой до заживления путем грануляции.
Способ Linton, разработанный в конце 1930-х годов, основывался на большом линейном срединном разрезе ноги, который деактивировал все поверхностные и перфорантные вены ноги. Некомпетентные поверхностные вены удалялись, а перфорирующие вены прерывались.
В конце 1800-х годов Тренделенбург представил среднюю перевязку БПВ. Результаты были переменными, и эта процедура была позже изменена учеником Тренделенбурга Пертесом, который выступал за разрез паха и лигирование БПВ на уровне сафенофеморальномого соустье (СФС).
Позднее были получены более удачные результаты, когда вместо одного лигирования была выполнена сафенэктомия с лигированием. В рандомизированном исследовании две трети пациентов, которым было проведено лигирование без сафенэктомии, нуждались в повторном хирургическом вмешательстве в течение 5 лет в результате развития рецидивного рефлюкса по причине реканализации или образования побочных эффектов вокруг лигированного участка.
Удаление БПВ
История хирургического удаления БПВ начинается с крупных открытых разрезов до менее инвазивной десорбции. Исходные методы удаления использовали различные устройства и вариации техники.
- Стриппер Майо представлял собой экстралюминальное кольцо, которое сдавливало сосуд, когда оно проходило вдоль вены.
- Устройство Бэбкока представляло собой внутрилюминальное кольцо с желудевидной головкой, которая в сложенном виде вводилась в вену.
- Устройство Келлера являлось внутрисосудистым проводом, используемым для вытягивания вены через себя, как это делается сегодня с помощью перфорационно-инвагинирующего стриппинга (ПИН-стриппинг).
В настоящее время метод ПИН-стриппинга начинается с разреза от 2 до 3 см, сделанного в районе пахового сгиба. Бедренная вена и СФС подвергаются вскрытию, и все притоки СФС идентифицируются и перевязываются, чтобы минимизировать частоту рецидива рефлюкса.
После лигирования и разделения соустья специальный инструмент (обычно в виде жесткой, но гибкой и длиной проволоки) пропускается в БПВ через разрез в паху и проводится через некомпетентную вену дистальней икроножной мышцы. Стриппер выводится через небольшой (≤5 мм) разрез примерно на 1 см от большеберцовой бугристости колена. Вращающаяся головка прикрепляется к стрипперу в паху и к проксимальному концу вены. Затем сосуд как бы выворачивает, отрываясь от каждого притока и перфорирующего сосуда, когда стриппер тянется вниз по ноге и выходит через разрез возле икроножной мышцы.

Более старый метод скриппинга до лодыжки (а не только до колена) является менее популярным из-за большого количества осложнений, включая повреждение подкожного нерва, который тесно прилегает к вене ниже колена.
Удаление МПВ
Процесс иссечения малой подкожной вены (МПВ) осложняется переменной локальной анатомией и риском травмы подколенной вены и малоберцового нерва. Дополнительно должно быть оценено сафенопоплитеальное соустье (СПС) путем дуплексного исследования до начала его вскрытия, поэтому обязательно проводится адекватная прямая визуализация СПС.
После лигирования и разделения СПС инструмент (часто более жесткий стриппер, который облегчает продвижение) продвигается вниз до дистальной части икроножной мышцы, где он выводится через небольшой (2-4 мм) разрез. Стриппер прикрепляется к проксимальному концу вены, которая выворачивается когда он вытягивается по направлению вниз от колена до щиколотки и снимается снизу.
Флабэктомия
Впервые была выполнена Галеном еще во втором столетии в виде флебэктомии стоп, которая еще известна как амбулаторная флебэктомия. В 1960-х годах начала снова использоваться и с тех пор приобрела особую популярность. Эта процедура чрезвычайно полезна для лечения остаточных кластеров вены после сафенэктомии. Также подходит для удаления межсосудистых притоков, когда подкожная вена является компетентной.
Микронадрез производится в сосуде с помощью крошечного лезвия или большой иглы, при этом крючок для выполнения флебэктомии вводится в микронадрез, а вена достается через разрез. Вена вытягивается как можно дольше и делается это до тех пор, пока сосуд не оборвется или не вытянется полностью. Далее производится еще один микронадрез, и процесс повторяется снова и так по всей длине вены, которую нужно извлечь. Короткие сегменты вены могут быть удалены через крошечные разрезы без лигатур, и тогда закрытие кожи не требуется.
Эндоваскулярные методы
Лазерное лечение
Лазерное волокно вырабатывает эндолюминальную теплоту, которая разрушает сосудистый эндотелий. При эндовенозной лазерной терапии варикозных вен применяют метод Сельдингера (Seldinger) для продвижения длинного катетера по всей длине варикозно расширенного сосуда, который должен быть удален (как правило, БПВ). Горизонтальное лазерное волокно пропускается через катетер, пока кончик не выступает с конца катетера примерно на 2 см. Наконечник лазерного волокна располагается в районе СФС, дистальней к субтерминальному клапану. Положение подтверждается с помощью ультразвука и лазерного направляющего света.
В соответствии с действующими руководствами, по всей длине сосуда вводится тумесцентный раствор с местной анестезией, что позволяет отделить вену от ее фасциальной оболочки. В результате уменьшается риск повреждения соседних структур, включая нервы и кожу, также более тщательно контролируется уровень боли.
Под силой давления проводится обрыв вен вокруг лазерного волокна. Под действием лазера выделяется тепло, которое приводит к выходу внутри просвета сосуда пузырьков пара и необратимому эндотелиальному повреждению и тромбозу. Волокно и катетер продвигаются примерно на 2 мм, и лазер снова запускается. Этот процесс повторяется по всему ходу пораженного сосуда.
Из-за того, что во время лазерного воздействия вена закупоривается тромбом, со временем он может рассосаться и сосуд снова станет открытым. Также под действием высоких температур может повреждаться вена, что вызывает дополнительные осложнения.
Радиочастотная абляция
При радиочастотной абляции (РЧА) варикозно расширенных вен радиочастотная (РЧ) тепловая энергия подается непосредственно на стенку сосуда, вызывая денатурацию белка, коллагеновое сжатие и немедленное закрытие вены. В отличие от эндовенозного лазерного волокна, РЧ-катетер фактически вступает в контакт со стенками сосуда.
Специальный радиочастотный катетер проходит через стенку сосуда и продвигается вдоль вены до тех пор, пока его конец не окажется возле СФС, дистальней по отношению к субтерминальному клапану. Как и при эндовенозном лазерном воздействии, посредством инъекции вводится тумесцентный местный анестетик.
Металлические пальцы на кончике РЧ-катетера развернуты до тех пор, пока они не контактируют с эндотелием сосуда. Радиочастотная энергия подается как внутрь, так и вокруг сосуда, подлежащего обработке. Тепловые датчики регистрируют температуру внутри сосуда и обеспечивают достаточно энергии для качественного проведения эндотелиальной абляции. Радиочастотный катетер продвигается на небольшое расстояние, и процесс повторяется по всей длине пораженной вены.
В рандомизированном исследовании было обнаружено, что по сравнению с обычным высоким лигированием и десорбцией на выполнение РЧА варикозно расширенных БПВ потребовалось больше времени, но пациенты вернулись к своей нормальной деятельности значительно раньше и имели после операции менее выраженную боль.
Склеивание сосудов
Эндовенозное лечение варикозных вен с помощью N-бутилцианоакрилата становится все более интересным и показывает многообещающие среднесрочные результаты. В основу методики входит введение в варикозную вену специального катетера, через который порционно подается цианоакриловый клей и так по всей длине сосуда. В результате просвет сосуда уменьшается, а за счет воздействия клея на стенку вены развивается воспаление с последующим фиброзом. Для контроля качества процедуры выполняется ультразвуковое исследования. Приблизительно через четыре месяца после процедуры обнаруживается соединительнотканный тяж, который со временем вовсе рассасывается.
Минимально-инвазивные методы
Электродесикация
Это старая техника, связанная с электрическим прижиганием небольших сосудов. Из-за обезображивающей травмы кожных покровов сегодня она редко используется.
Склерозирующая терапия
Химический склероз варикозных вен с конца 1800-х годов все меньше используется. Современные склерозанты с приемлемой степенью риска стали широко доступны в 1930-х годах, и с тех пор их сфера задействования расширилась. Первоначально склеротерапия применялась в качестве хирургического вспомогательного средства после сафенэктомии для лечения остаточных варикозов, ретикулярных вен или телеангиэктазий. В настоящее время метод используется для лечения БПВ и основных притоков.
Склерозирующее вещество вводится в аномальные сосуды для стимуляции эндотелиальных разрушений. За этим следует образование фиброзного тяжа и возможная реабсорбция всех сосудистых тканевых слоев.

Местное лечение поверхностных проявлений венозной недостаточности являются менее удачными, если не будут обнаружены и обработаны лежащие выше точки рефлюкса. Даже когда у пациента появляются только первичные телеангиэктазии, и первоначальное лечение окажется успешным, рецидивы будут наблюдаться очень быстро, если в крупных подповерхностных сосудах не обнаружен рефлюкс.
В связи с этим должна быть проявлена предельная осторожность при использовании склерозирующих агентов.
Неправильно введенная инъекция в артериовенозную мальформацию (АВМ) или непосредственно в неопределенную артерию может вызвать обширный некроз ткани или потерю всей конечности. Непреднамеренная инъекция концентрированных склерозанов в глубокую венозную систему может вызвать тромбоз глубоких вен, легочную эмболию и смерть.
Склерозанты, наиболее часто сегодня используемые, представляют собой полидоканол и тетрадецилсульфат натрия. Оба они известны как детергентные склерозанты, поскольку они являются амфифильными веществами, неактивными в разбавленном растворе, но биологически активными, когда они образуют мицеллы. Эти агенты ни разу не были представлены в FDA для одобрения, но они доступны в некоторых странах мира.
Послеоперационный уход
После лечения крупных варикозных вен любым из вышеперечисленных способов применяется 30-40-мм градиентное компрессионное увлажнение Hg. Пациентам рекомендуется поддерживать или повышать уровень их нормальной физической активности. Большинство практикующих врачей также рекомендуют использовать компрессионные чулки соответствующего градиента давления даже после лечения паутинных вен и небольших притоковых вен.
В клинической практике было обнаружено, что компрессионная повязка в течение 24 часов с последующим использованием тромбоэмбольных сдерживающих чулков на оставшиеся 14 дней дает результаты, сравнимые с компрессионной повязкой в течение 5 дней. В рандомизированном исследовании у пациентов, подвергшихся пенной склеротерапии для лечения первичных неосложненных варикозных вен, существенной разницы не отмечалось при окклюзии вен, флебитах, обесцвечивании кожи или боли через 2 и 6 недель с помощью двух методов. [1 — O’Hare JL; Stephens J; Parkin D; Earnshaw JJ. Randomized clinical trial of different bandage regimens after foam sclerotherapy for varicose veins. Br J Surg. 2010; 97(5):650-6]
Не следует использовать ацетоновые обертывания и другие длинные бинты. Подобное эластичное бинтование не обеспечивает адекватного сжатия более чем на несколько часов. Они часто скользят или неправильно переносятся пациентами, что приводит к появлению эффекта жгута, который вызывает дистальное опухание ног, а также увеличивает риск тромбоза глубоких вен.
Активность больного особенно важна после лечения любой методикой, потому что все способы устранения варикозного расширения вен потенциально могут увеличить риск развития тромбоза сосудов. Физическая зарядка является сильным защитным фактором против венозного застоя. Деятельность настолько важна, что большинство флебологов не беруться лечить пациента, который не может оставаться активным после лечения.
Осложнения
Важное значение имеет правильная диагностика поверхностной венозной недостаточности. Вены следует лечить хирургическим способом, если они некомпетентны или если нормальный коллатеральный путь не функционирует как положено. Удаление подкожной вены с компетентным окончанием не поможет в управлении патологическими варикозными образованиями.
В условиях глубокой обструкции варикозной системы кровообращения поверхностные сосуды являются гемодинамически полезными, поскольку они обеспечивают обходной путь для венозного возврата. Поэтому в таких случаях варикозы не должны удаляться или склерозироваться. Абляция этих варикозов приведет к быстрому возникновению боли и отеку конечностей, что в конечном итоге вызовет образование новых обходных варикозных путей.
Наиболее раздражающими, хотя и незначительными, осложнениями любой венозной хирургии являются диестезии от повреждения нервного окончания или подкожного нерва.
Подкожная гематома является распространенным осложнением, независимо от используемой методики лечения. Справиться с возникшей проблемой можно с помощью теплого компресса, нестероидных противовоспалительных препаратов (НПВП) или при использовании аспирации.
Случайное лечение бедренной вены неправильным размещением радиочастотного или лазерного катетера, распространением склерозанта или неправильным хирургическим лигированием могут привести к повреждению эндотелия в глубокой вене, вызывая образование тромбоза сосуда с потенциалом развития легочной эмболии и даже смерти.
Другие осложнения, такие как послеоперационная инфекция и травма артерии, являются менее распространенными и могут быть сведены к минимуму за счет тщательного выполнения положенных манипуляций.
Методы эндовенозного лечения (радиочастотной и лазерной терапии) имеют потенциал чрезмерного нагрева ткани, что может привести к ожогам кожи. Эта проблема может быть устранена, если вводится достаточное количество тумесцентной анестезии, что позволяет отдалить кожу от вены.
Отзывы об операции по удалению вен на ногах
Существует много различных мнений, полезно или вредно удалять варикозные вены. Самое лучшее, конечно, послушаться грамотного ангиохирурга, который после всех обследований сможет сказать точно, насколько необходимо хирургическое вмешательство. Но если показания все-таки четко определены и получено врачебное подтверждение о необходимости проведения операции, тогда создать максимально полную картину о предшествующем испытании могут помочь отзывы людей, которым пришлось уже это пройти. Поэтому представляется анализ наиболее популярных отзывов, в основном женских, которым пришлось пройти операцию и сделать определенные выводы, полезные для других потенциальных пациентов сосудистых хирургов.
Болевой порог у всех людей разный, но при грамотном выполнении хирургического вмешательства болевые ощущения в послеоперационный период минимальные. Многое, конечно, зависит от объема операции, насколько большие разрезы. Также немало зависит от тяжести течения варикозной болезни.
Важно отметить, что для устранения боли после операции обязательно дают обезболивающие, а чтобы во время самой процедуры не было неприятных ощущений делается местная анестезия.
Во время заживления ран могут быть боли, но чаще всего они не сильно выражены, особенно если были сделаны небольшие проколы. Еще нежелательно прямо перед операцией смотреть различные реалистичные видео о проведении операции по удалению вен на ногах. Они только приводят в ужас и настраивают на очень сильные болевые ощущения. Поэтому лучше почитать интересующую литературу и получить побольше информации о правильном уходе за ногами в послеоперационный период.
- Лучше не откладывать на потом
Варикоз сегодня все чаще встречается у молодых девушек, особенно у любительниц шейпинга и прочих модных спортивных направлений. Но тогда приходить в 26 лет получить сюрприз в виде грозди на ногах из расширенных вен, которые не дают нормально себя чувствовать. Именно поэтому не стоит откладывать лечение на потом.
Варикозная болезнь может проявиться не сразу, и первые симптомы чаще всего малозаметные, поэтому на ранних стадиях редко когда приходят пациенты к врачу. А ведь поначалу могут быть использованы менее травматичные процедуры по типу склерозирования или лазеротерапии. Также в таких случаях сглаживается послеоперационный период, который становиться менее болезненным, да и человек быстрее возвращается к обычной жизни.
Полноценная хирургическая операция требует особого внимания как со стороны хирурга, так и пациента. В частности, перед вмешательством может понадобиться принимать детралекс, поберечь больную ногу (или обе ноги) от ушибов и избегать банных процедур. После операции нередко используется тугое бинтование, что также первое время не позволит носить такую одежду, как платья и юбки. Подобные моменты обязательно оговариваются с врачом и при необходимости к ним предварительно нужно подготовиться.
- Вены удаляются раз и навсегда
В некоторых случаях это действительно так, особенно при использовании тех методик, которые сосуд превращают в соединительнотканный тяж, со временем рассасывающийся. Применение других техник иногда предполагает открытие вены, что может привести к выполнению повторной операции.
Как указывают некоторые женщины, перенесшие операцию по удалению варикоза, болезнь со временем может возвратиться, особенно если наступает беременность. Также отмечают, что нет гарантии на полное избавление от варикозного расширения вен, если патология передается по наследству. Симптомы все равно могут через какое-то время появляться, особенно после очередной беременности.
В частности, беременным женщинам с варикозной болезнью лучше не игнорировать рекомендации врачей о ношении специального компрессионного трикотажа. Иногда его необходимо одевать даже на время родов, все зависит от прогресса и тяжести заболевания. В таких случаях компрессионная одежда позволит замедлить течение варикоза и улучшит самочувствие.
- Хорошая косметика, но ненадолго
Варикоз не позволяет женщине чувствовать себя привлекательной, носить открытую одежду и с удовольствием проводить пляжный сезон. Именно поэтому сегодня операция по удалению вен на ногах широко используется в косметических целях. Если еще к этому имеются прямые показания, то хирурги выполняют вмешательство безоговорочно. Единственно эффекта красивых ног чаще всего хватает на недолгое время.
Со слов одной пациенты, которой была проведена операция, ходить в бинтах пришлось около трех месяцев. Удаление вен проводилось на двух ногах, с интервалом в неделю. Зато через год практически ничего не было заметно. Состояние было практически идеальное, но прошло восемь лет, был рожден один ребенок и все вернулось. Не в такой выраженной степени, но все-таки сеточки стали заметны, поэтому стоит знать, что однократное проведение операции — это не абсолютное решения для устранения варикоза.
- Болезнь не лечится, а только усугубляется
Часть пациентов, прошедших операцию по удалению вен на ногах, считает, что такое вмешательство нужно делать только на 4 стадии болезни. Это связано с тем, что первые три стадии могут быть успешно вылечены консервативным путем, только на это потребуется больше времени, чем при моментальной операции. Дополнительно, удаление поверхностных вен может привести к перегрузке системы глубоких вен, что вызывает соответствующие осложнения. Поэтому оптимальный вариант — заниматься безоперационным лечением, а лишь в критических случаях прибегать к удалению вен.
Видео: Варикозное расширение вен операция
4.17 avg. rating (84% score) — 6 votes — оценок
arrhythmia.center
Операция на варикоз: классификация, показания, побочные эффекты
Просмотров: 4709 Рейтинг:Оперативное лечение варикозного расширения вен

В случае неэффективности консервативного лечения варикозного расширения вен на ногах необходимо оперативное вмешательство. Если операция по удалению варикоза выполнена правильно, то можно полностью избавиться от поврежденного сосуда. Медицинские учреждения оснащены современной аппаратурой для осуществления различного спектра операций.
Показания к операции
Показанием к проведению операции при диагностировании варикозного расширения кровеносных сосудов на ногах является ретроградный сброс крови при нарушении функционирования клапанов вен. Перед проведением операции специалист назначает диагностическое исследование для изучения системы вен, подтверждения диагноза. Это может быть поверхностный осмотр, УЗИ, клиническое исследование крови. После выявления недостаточности клапанов вен, прогрессировании варикоза, врач принимает решение, стоит ли делать операцию.
ЭВЛК — это революция в хирургическом лечении варикозного расширения вен нижних конечностейПеред тем как начинать хирургическое лечение, необходимо прекратить прием лекарств, в состав которых входит ацетилсалициловая кислота. Это уменьшит риск кровотечения и негативных последствий, ускорит восстановительный период. Незамедлительное оперативное вмешательство назначается в случае наличия трофических язв и рецидивирующего тромбофлебита.
Классификация операций
Тип операции зависит от стадии протекания недуга, клинических проявлений. Выделяют следующие виды операций при варикозном изменении кровеносных сосудов нижних конечностей:
- склерозирование;
- лазерное удаление;
- флебэктомия.
Какие виды хирургического вмешательства будут применены в терапии, определит врач. При наличии варикозно измененных вен на ногах небольшого диаметра врач может назначить склеротерапию. Процедура заключается во введении в пораженный кровеносный сосуд ноги склерозанта, который осуществляет склеивание его стенок. Процедура малотравматична и не вызывает негативных последствий, можно проводить несколько раз одному пациенту.
Удаление варикозных вен при помощи лазера является высокоэффективным и безболезненным видом вмешательства, не требующим восстановительного периода. Современная аппаратура обеспечивает высокий косметический эффект, что подтверждают отзывы довольных пациентов. Недостатком является высокая стоимость процедуры. Сколько стоит процедура зависит от клиники и стадии недуга.
Во время процедуры, когда действует лазер, воздействует тепловая энергия оборудования. Она даёт возможность с эффектом заниматься устранением рефлюкса перемещения потоков крови. У лазерной терапии много бесспорных достоинств в сравнении с популярными операционными вмешательствами. Разрезы делаются при этом в минимальном количестве. Пациент в стационаре находится не очень долго.
Эта процедура проводится, когда проходит вторая или третья стадия при развитии варикоза вен. Подходит к любому участку на теле. Но, более часто её проводят на нижних конечностях.
Какое хирургическое вмешательство надо применить во время лечения, определяет доктор. Если есть варикоз вен нижних конечностей с не очень большим диаметром, доктором назначается склеротерапия.
Флебэктомия нормализует кровоток по глубоким кровеносным сосудам. Осложнения и косметический эффект тесно связаны со стадией развития варикозного расширения вен.
Склерозирование
Лечение патологии варикоза заключается во введении лекарства жидкой формы. При помощи микроукола вводится специальное вещество, разрушающее стенки вен изнутри. После процедуры на месте укола можно обнаружить воспаление, которое в дальнейшем зарубцовывается, а пораженный сосуд склеивается. Сегодня в большинстве клиник применяют пенообразное вещество. После введения в кровеносный сосуд пена расширяется, заполняя сосуд в диаметре. Пациент во время процедуры должен принять горизонтальное положение.
Склерозирование не занимает более 30 минут. Хирургическое лечение не требует нахождения в стационаре. После окончания процедуры на ноги надевают компрессионные чулки. Для восстановления циркуляции крови по глубоким кровеносным сосудам и в целях профилактики тромбоза врач рекомендует пациенту прогуляться в течение 30-ти минут. В течение месяца рекомендуется ношение компрессионного белья, которое разрешается снимать с нижних конечностей только на ночь. Виды лечебного трикотажа в зависимости от степени компрессии определяет лечащий врач.
Склеротерапия является высокоэффективным методом в борьбе против варикоза нижних конечностей, что подтверждают отзывы пациентов. Такое лечение применяют практически во всех случаях, кроме поражения больших вен, диаметр которых превышает 2 см. В таком случае пациенту нужна терапия лазером.
Лазерное удаление
Лечение лазером является одним из современных методов терапии. Преимущества процедуры заключаются в следующем:
- метод является безопасным;
- обладает высокой эффективностью;
- оперативному вмешательству подвергается только поврежденная часть кровеносного сосуда, не травмируются близлежащие ткани;
- не сопровождается болевыми ощущениями;
- короткий восстановительный период;
- отсутствие шрамов и рубцов.
Лечение варикоза лазером осуществляется также путем эндовазальной лазерной коагуляции (ЭВЛК)Вмешательство проводят под местной анестезией. Процедура длится от 30 до 55 минут, после чего можно возвращаться домой. При удалении варикозного расширения лазером в сосуд вводится провод лазера, излучающий свет. В результате этого пораженный участок вен закрывается, а затем бесследно рассасывается. Во время проведения вмешательства на ноги окружающие кровеносные сосуды, ткани не травмируются. Лечение лазером против варикоза не оставляет на коже шрамов и рубцов, так как операцию делают без разрезов. Лазерное лечение практически не вызывает рецидив варикоза на ногах. По окончанию операции пациента отпускают домой, а через 1-3 дня он может приступать к работе. Лечение лазером имеет лишь один недостаток – высокую стоимость.
Флебэктомия
Такую операцию делают при обширном патологическом расширении вен, симптомах патологического нарушения оттока крови, при наличии трофических язв, а также тромбофлебита. Флебэктомию не делают при наличии тяжелых воспалительных и инфекционных процессов, на последней стадии варикозной болезни нижних конечностей, в пожилом возрасте, при гипертонии, во время беременности.
Флебэктомия — лечение варикоза хирургическим путемПодготовительные мероприятия к операции несложные. Кожные покровы пораженной патологией ноги необходимо обрить. За день перед вмешательством применяют очистительную клизму. Если пациент принимал какие-либо лекарственные препараты, необходимо об этом сообщить доктору до начала процедуры.
Хирургическое лечение занимает от 1 до 2 часов. Пораженный подкожный кровеносный сосуд ноги удаляется, не нарушая кровоток. После вмешательства против варикоза на ногах остаются небольшие шрамы от 4 до 5 мм. Если доктор обнаружил нарушение функционирования венозных клапанов, нужна экстравазальная коррекция для того, чтобы восстановить процесс оттока крови. По окончанию вмешательства на ногах около 2 месяцев необходимо постоянно перематывать ноги медицинским эластичным бинтом или носить компрессионные чулки. Как дополнительное профилактическое средство доктор может назначить венотонизирующие лекарственные препараты. Такое хирургическое лечение сопровождается повышенным риском рубцевания.
Осложнения
Болевой синдром может не беспокоить больного при малоинвазивном вмешательстве варикозного расширения, и быть ярко выраженным при флебэктомии. В случае проведения флебэктомии на месте удаления кровеносного сосуда нижних конечностей возникают гематомы. Иногда из раны может сочиться кровь. Температура тела пациента после вмешательства может немного подняться.
Хирургическое лечение варикоза ног — осложннияВ некоторых случаях из-за скапливания крови по ходу сосудистых магистралей пациент может обнаружить комки, болезненные при прикосновении. В месте их локализации кожные покровы не должны иметь никаких покраснений, иначе это свидетельствует о наличии бактериального воспаления. Любые виды операций могут усугубиться инфицированием с развитием осложнений.
Не исключен риск развития глубокого тромбоза ноги из-за неактивного образа жизни, который пациент ведет после вмешательства. Он может спровоцировать флеботромбоз.
Послеоперационный период
Спустя несколько часов после вмешательства доктора рекомендуют в целях профилактики двигаться, чтобы восстановительный период проходил быстрее. Комплекс лечебных упражнений заключается в сгибательном и разгибательном движении ноги в коленном суставе. Эти упражнения делают для поддержания тонуса системы органов, обеспечивающих циркуляцию крови. Во время сна ноги рекомендуется приподнять на 10 см.
Через 1-2 дня после вмешательства пациент может пробовать садиться. В это время больному стоит перебинтовывать эластичным бинтом ноги от пальцев до коленного сустава. Можно осуществлять непродолжительные прогулки. В профилактических целях против тромбоза назначают лечебный массаж. Компрессионное белье больной должен носить в течение 2-3 месяцев. Рекомендуется пройти лечение разжижающими лекарственными препаратами.
Немаловажным условием профилактики варикоза нижних конечностей является нормализация питания и диета. В меню можно добавить сок из томатов, сухое красное вино, морепродукты.
И немного о секретах…
Вы когда-нибудь пытались избавиться от варикоза самостоятельно? Судя по тому, что вы читаете эту статью – победа была не на вашей стороне. И конечно вы не понаслышке знаете что такое:
- вновь и вновь наблюдать очередную порцию сосудистых звездочек на ногах
- проснуться утром с мыслью, что бы-такое одеть, чтобы прикрыть вздувшиеся вены
- страдать каждый вечер от тяжести, расписания, отеков или гудения в ногах
- постоянно бурлящий коктейль из надежды на успех, томительного ожидания и разочарования от нового неудачного лечения
А теперь ответьте на вопрос: вас это устраивает? Разве можно с этим мирится? А сколько денег вы уже «слили» на неэффективные мази, таблетки и кремы? Правильно – пора с ними кончать! Согласны? Именно поэтому мы решили опубликовать эксклюзивное интервью с главой Института Флебологии Минздрава РФ Виктором Михайловичем Семеновым, который рассказал, как за одну-две недели победить ВАРИКОЗ и уберечь себя от рака и тромбов в домашний условиях… Читать дальше…
загрузка…
Автор: Высокая Мария Александровна
Образование: Научный центр сердечно-сосудистой хирургии им. А.Н. Бакулева Российской академии…
21.04.2016
stopvarikoze.ru
операция, когда необходима и в чем ее особенности

Кардиолог
Высшее образование:
Кардиолог
Кубанский государственный медицинский университет (КубГМУ, КубГМА, КубГМИ)
Уровень образования — Специалист
1993-1999
Дополнительное образование:
«Кардиология», «Курс по магнитно-резонансной томографии сердечно-сосудистой системы»
НИИ кардиологии им. А.Л. Мясникова
«Курс по функциональной диагностике»
НЦССХ им. А. Н. Бакулева
«Курс по клинической фармакологии»
Российская медицинская академия последипломного образования
«Экстренная кардиология»
Кантональный госпиталь Женевы, Женева (Швейцария)
«Курс по терапии»
Российского государственного медицинского института Росздрава
Контакты: [email protected]
Пациентам с диагнозом варикоз операция необходима, это подтвердит любой врач-флеболог. При выраженной дисфункции вен консервативная терапия не поможет, мази и таблетки снимут симптомы, но не справятся с причиной болезни. Современная флебология предлагает несколько вариантов решения проблемы — от классического иссечения пораженных участков вен до малоинвазивных методик.
Показания для оперативного вмешательства
Варикоз конечностей — распространенный недуг, которому чаще подвержены женщины. В зону риска попадают и люди, вынужденные большую часть дня проводить на ногах, пациенты с лишним весом, наследственной предрасположенностью. На начальном этапе проблема может быть незаметной. По ряду причин кровоток ухудшается, замедляется движение крови от нижних конечностей к сердцу. Одновременно происходит задержка лимфы, вызывающая отеки и тяжесть в ногах. Постепенно пораженные сосуды деформируются, что еще больше ухудшает кровоток, провоцирует образование спаек и тромбов, возникают патологии глубоких вен нижних конечностей.

Первая стадия болезни может протекать почти бессимптомно. В конце дня наблюдаются отеки щиколоток и ступней, пациент чувствует тянущую боль, которая проходит в состоянии покоя. При обращении к врачу пациенту назначается курс разжижающих кровь препаратов и венотоников. Для второй фазы характерно увеличение сосудов на ногах, они образуют выпуклую болезненную сетку. Синеватые вены выступают над поверхностью кожи, возможны микроразрывы с мелкими гематомами.
Варикоз 2 стадии требует немедленного лечения под контролем сосудистого хирурга или флеболога. В это время пациентам может быть рекомендована склеротерапия, склеивающая пораженные сосуды. При 3 фазе образуются заметные выпуклые узлы, ноги болят даже в состоянии покоя, пациентов мучают судороги. Больным рекомендуется операция по удалению вен на ногах с помощью скальпеля или лазера. На этой стадии консервативная терапия бессильна.
Тяжелая патология — тромбоз глубоких вен нижних конечностей. Его причинами являются застой крови, травмы ног, опухоли, длительное восстановление после тяжелых операций. Патология глубоких вен нижних конечностей с трудом поддается консервативному лечению. Для устранения угрозы необходимо как можно скорее удалить тромб, в затем провести курс лечения препаратами на основе гепарина, улучшающими кровоток. Операция по очистке глубоких вен нижних конечностей проводится не в каждой клинике, процедура требует большого мастерства от хирурга.
Понять, нужна ли операция при варикозе, поможет опытный врач-флеболог. При первых тревожных симптомах и заметных поражениях хотя бы одной вены на ногах необходимо обратиться к терапевту, который даст направление к узкому специалисту. Пациент сдает анализы, состояние сосудов изучается с помощью ультразвука. Хирургическое лечение варикозного расширения вен — это единственный вариант полного избавления от проблемы. Специалист должен определить время, когда необходимо делать операцию, а также подобрать нужную методику. Перед тем, как решиться на вмешательство, стоит посмотреть отзывы предыдущих посетителей клиники. Не помешает и совет стороннего специалиста. Операция по удалению варикоза на ногах — серьезная процедура. Чем запущеннее болезнь, тем тяжелее для пациента любое радикальное вмешательство.

Классика или инновации: что выбрать
Современная хирургия предлагает несколько способов решения проблемы. Решить, как убрать варикозное расширение вен на ногах, должен опытный хирург. При средней степени варикоза рекомендуются малоинвазивные методики. Их преимущества — короткий восстановительный период, меньший риск осложнений, отсутствие общего наркоза. Краткосрочная операция на сосуды ног обычно проводится под местной анестезией без помещения пациента в стационар.
Один из популярных вариантов — склеротерапия. В процессе выполнения процедуры в пораженные вены вводится склеивающее вещество, стимулирующее разрастание соединительной ткани. Полости сосудов заполняются, кровоток переключается на глубокие вены. Процедура противопоказана при наличии тромбов. К минусам этого типа операции на варикозное расширение вен относится высокий риск рецидивов. Если пациент не изменит образ жизни и не сбросит лишний вес, проблема вернется.
Оперативное лечение варикоза нижних конечностей может выполняться с применением лазера. Эта методика показана при обширных поражениях сосудов, расположенных глубоко под кожей. Удаление варикозных вен на ногах требует большого мастерства от хирурга. Лазер не оставляет глубоких ран, послеоперационный период протекает легче. Удаление вен на ногах проводится под общим или местным наркозом, выбор метода анестезии зависит от состояния пациента.
Другой современный вариант — радиочастотная операция при варикозе нижних конечностей. Она рекомендуется при сосудах, пролегающих непосредственно под кожей. В этом случае лазер использовать нельзя во избежание ожога. В ходе операции при варикозе в пораженную вену вводится катетер и радиоволны напрямую передаются к поврежденным тканям. Они уплотняются, сосуд рассасывается. После процедуры на коже практически не остается рубцов и шрамов. Минус методики — высокая цена.
При сильно извитых сосудах может быть предложен малоинвазивный метод пара. В этом случае лечение варикоза вен ведется с помощью тонкого катетера, введенного непосредственно в сосуд. Через микроотверстия поступает пар, пораженная вена склеивается и пропадает. Микрочастицы горячей дистиллированной воды попадают в самые сложные сплетения и полностью устраняют некрасивую выпуклую сетку. Выполнить такую процедуру может сосудистый хирург с большим опытом, располагающий необходимым оборудованием. Методика относится к дорогостоящим, но наиболее эффективным.
Удаление вен: когда оно необходимо
В некоторых случаях врач дает рекомендации на классическую резекцию с использованием скальпеля. Она показана при варикозном расширении вен, осложненном тромбофлебитом, стойким нарушением оттока крови, сильной отечности ног и риске образования трофических язв. Хирургическое лечение варикоза проходит в стационаре, с применением общего или местного наркоза.
Самый простой вариант — классическая флебэктомия. Показанием для нее является начальная стадия заболевания, нарушенный венозный кровоток. Процедура длится не более 2 часов. Кожа рассекается скальпелем в паху и на уровне лодыжек, разрезы делаются и над крупными узлами. В разрез вводится венозный экстрактор, с помощью которого извлекается поврежденный сосуд. Затем на кожу накладывается шов, нога закрывается стерильной повязкой, которая фиксируется эластичным бинтом.
Оперировать пораженные вены можно и менее травматичным образом. Мини-флебэктомия проводится в амбулаторных условиях, каждое действие хирурга контролируется аппаратом УЗИ. С помощью специальных микроинструментов в коже делаются проколы, через которые извлекаются пораженные вены. Швы не накладываются, места проколов обрабатываются антисептиками и закрываются стерильной повязкой. Уже через 10 часов после операции пациент может ходить.
Восстановительный период: как избежать осложнений
Очень важный момент — восстановление после операции. При применении малоинвазивных методик пациент выписывается сразу же после процедуры. Желательно добираться домой не на общественном транспорте, чтобы избежать случайной травмы. После удаления вен при варикозе больной надевает компрессионные чулки или гольфы, в крайнем случае можно использовать эластичный бинт. Период реабилитации после малоинвазивных методик короткий, он занимает не более 2 недель. Постельный режим не нужен, рекомендуется ходьба в спокойном темпе и лечебная гимнастика.

После операции на венах ног пациент должен соблюдать щадящую диету. В первые дни разрешены каши на воде, паровые котлеты, овощные супы. Запрещены все острые, жирные, жареные блюда, копчености, соленья, сладости. В меню обязательно входят свежие овощи и фрукты. Важно избегать продуктов, которые могут вызвать запор или диарею. После операции варикоза нижних конечностей вредно любое напряжение, способное спровоцировать появление тромбов. Диета должна быть легкой, избыток калорий ведет к увеличению веса. Обязательные рекомендации — полный отказ от алкоголя и курения.
Послеоперационный период после удаления участков вен ног протекает более сложно. Если накладывались швы, должно пройти не менее 2 суток для того, чтобы пациенту позволили подняться с постели. Полностью восстановиться можно через несколько месяцев, в это время нужно строго соблюдать все рекомендации врача. В первые дни стерильные повязки меняются ежедневно, кожа обрабатывается антисептиками. Это исключит неприятные последствия в виде нагноений, воспалений и отеков. При болезненных ощущениях в послеоперационный период пациенту прописывают анальгетики в виде таблеток или инъекций.
Варикоз после операции требует повышенного внимания. В реабилитационный период пациенту прописывают курс кроверазжижающих препаратов на основе гепарина. Необходим прием витаминов, особенно аскорбиновой кислоты, предупреждающей тромбозы и улучшающей кровоток. Правильная реабилитация после операции поможет избежать осложнений и исключит рецидивы болезни.
cardioplanet.ru
