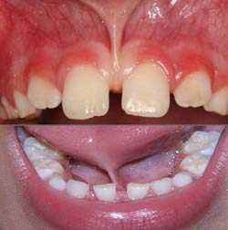
Различия между короткой и нормальной уздечкой губы
Бобби Гаэри (BOBBY GHAHERI, MD), http://www.drghaheri.com/
Большинство посетителей, читающих статьи на моем сайте, интересуются проблемами грудного вскармливания. Ранее я уже перечислял многие симптомы: боль, низкий набор веса, неэффективное сосание, срыгивания и т.д. По мере роста беспокойства, связанного с короткими уздечками языка и губы, все больше мам делятся своими историями. Мы часто недооцениваем силу воздействия публикаций, оставляемых в Фейсбуке, «лайков» и перепостов понравившихся страниц.
Иногда родители сталкиваются в соцсетях с информацией, которая будоражит их интерес, даже если грудное вскармливание их детей не сопряжено с какими-либо специфическими проблемами. Одно из наиболее распространенных проявлений такой реакции возникает, когда они видят изображение уздечки губы. Я уже писал о том, как короткая уздечка верхней губы (КУВГ) может повлиять на грудное вскармливание. Фотографии толстых или плотных уздечек губы, кажется, выскакивают повсюду. Не удивительно, что родители, просматривающие эти фотографии, заглядывают под губу и своим детям. Некоторые удивляются и принимают за короткую уздечку губы то, что увидели. Другие обращаются ко мне за консультацией и возможным лечением или просят моего совета по электронной почте. Надеюсь, эта статья сможет прояснить недопонимание, во избежание излишних опасений для таких родителей.
Специалисты, часто диагностирующие и лечащие КУВГ, используют следующую систему классификации, описывающую место прикрепления уздечки:
Тип 1 уздечки губы встречается довольно редко (это означает, что место прикрепления практически не видно). На сегодняшний день, я наблюдал более 1500 детей, но до сих пор мне не довелось увидеть уздечку 1 типа.
Тип 2 – КУВГ прикреплена где-то на десне (слизистая оболочка, покрывающая альвеолярную часть челюсти), над краем десны.
На фото справа тип 2, нормальная уздечка (ограничения не отмечены – губа хорошо отгибается)
Тип 3 – КУВГ прикреплена к десне, вплотную к структуре, называемой передним десневым (межзубным) сосочком.
На фото слева тип 3, короткая уздечка (отмечается ограничение подвижности в центральной зоне)
Наконец, тип 4 – КУВГ подвернута под десну и крепится к твердому нёбу.
На фото справа тип 4 короткая уздечка (отмечается ограничение подвижности в центральной зоне, ямка в кости верхней челюсти)
Данная классификация лишь описывает анатомическое строение. Она не передает степень тяжести состояния, как, например, классификация стадий развития онкологического заболевания. Короткая уздечка губы типа 4 не «хуже», чем 3-го типа – важна именно степень ограниченности подвижности. Эта степень может быть определена при попытке поднять губу пальцами, по ее способности выворачиваться наружу. Именно это движение является очень важным при сосании груди. Подвижность верхней губы в процессе прикладывания к груди может оценить консультант по грудному вскармливанию.
Самое главное, что необходимо понимать: классификация, описывающая место прикрепления уздечки к десне, включает также и характеристики нормальной уздечки губы. Вероятно, мне придет еще много писем, в которых родители будут спрашивать мое мнение » об уздечке 3-го типа» у их ребенка в тех ситуациях, когда ни малыш, ни мама не испытывают трудностей с грудным вскармливанием.
Итак, в данном случае, у ребенка отмечается уздечка 3-го типа.
Смотреть видео https://vimeo.com/108462078
В этом видеоролике показано, что нормальная уздечка может быть отнесена к 3-му типу прикрепления, но не иметь ограниченной подвижности (ребенок спит во время осмотра).
Чтобы наглядно продемонстрировать различия, обратимся к важному исследованию Flinck et al, проведенному в 1994 году в Швеции. В этом исследовании в течение 8 месяцев был осмотрен 1021 новорожденный, записаны данные осмотра полости рта. Следует отметить, что эти дети не имели особых проблем – их просто осмотрели. Из числа более тысячи (1021) младенцев лишь 68 (или 6,7%) имели «буккальное» прикрепление уздечки (это указывает на 1 или 2 тип прикрепления). У 782 младенцев (76,7%) выявлен 3-й тип прикрепления и у 170 (16,7%) – 4-й тип.
Учитывая эти данные, я утверждаю, что расположение места прикрепления уздечки к деснеНЕ МОЖЕТ быть решающим фактором в определении нормальной или короткой уздечки. Если бы это было так, исследование Flinck оправдывало бы лечение детей в 93% случаев, но мы знаем, что это количество не соответствует действительности.
Лечение будет оправданным при выявлении ограниченной подвижности губы уздечкой. Но в каких еще ситуациях при отсутствии проблем с грудным вскармливанием лечение считается приемлемым? Наиболее распространенные примеры: разрушение зубов (кариес) и большое расстояние между центральными резцами (диастема).
milkmomstory.livejournal.com
Короткая уздечка верхней губы. Почему? Зачем? и Как? — уздечка верхней губы — стр. 1 — запись пользователя Алина Русикова (rusikova) в сообществе Детские болезни от года до трех в категории Зубки
подрезание уздечки верхней губы у детейВ легкой панике родители приходят к стоматологу с просьбой подсечь уздечку верхней губы. На вопрос: «Зачем?» получаю многозначительный ответ : «Педиатр сказал».
Опять же вопрос: «Зачем?», «Для профилактики.»…???
Вопросы можно задавать до бесконечности, но стоит пожалеть бедных мам, им необходим ответ « здесь и сейчас»! Отвечаю:Для чего?
1. Короткая уздечка верхней губы может стать причиной косметического дефекта - диастемы (щели между передними зубами).
2. При движениях верхней губы уздечка тянет за собой межзубную десну– в результате этого она отходит от передних резцов, возникает их гиперчувствительность, обнажение корней, заболевания пародонта и т. д. Это особенно заметно у людей старшего возраста.У детей же проблема еще серьезней – в период формирования постоянного прикуса укороченная уздечка верхней губы приводит к выдвижению передних зубов вперед, особенно, если места в зубном ряду недостаточно. Впоследствии, такие нарушения прикуса исправлять сложно, долго и дорого.
3. При подготовке к ортодонтическому лечению. Как уже было сказано в пункте № 2,уздечка верхней губы влиет на прикус. Поэтому, если Вашему ребенку предстоит исправление прикуса, необходимо обратить на это внимание.
4. В совсем серьезных случаях логопеды отмечают затруднительное произношение звуков, требующих участия губ – «у», «о» и пр.
Когда?
Детям грудного возраста и не достигших 4 лет- НИКОГДА!
Самый оптимальный срок для вмешательства, когда прорезались центральные постоянные резцы и начали прорезываться вторые постоянные резцы (чаще всего это возраст семи-восьми лет ).Почему не раньше?
1. Некачественно подрезанная уздечка может заставить в будущем повторно проделать эту манипуляцию (зачем, если это можно сделать один раз!)
2. Т.к. верхняя губа у малышей работает на 40 % от заложенных природой возможностей (они не умеют разговаривать, не едят твердую пищу и т.п.), то, подрезание уздечки может спровоцировать образование рубца, который также будет тянуть, как и предыдущая уздечка.
3. При работе «в слепую» можно повредить зачатки постоянных зубов.Как?
Просто. Подошел возраст, Вы проконсультировались с врачом-ортодонтом (именно он выносит вердикт - делать или нет!), сделали ортопантомограмму (рентгеновский снимок, на котором запечатлены сразу все зубы, он необходим для того, чтобы оценить, насколько «глубоко» уздечка вплетена в костную ткань). И все… В кресло к хирургу-стоматологу!
Процедура длится минут 15-20 под местной анестезией (детки в ходе операции даже могут поддерживать беседу с врачом). Сами маленькие пациенты говорят, что лечить зубы намного хуже. В конце операции накладывают швы, которые самостоятельно рассасываются, и отправляют домой, взяв перед этим обещание обязательно прийти на следующий день на осмотр.
Послеоперационный период протекает спокойно. Есть определенные требования:
1. Мороженое в первые дни (вкусная рекомендация!)
2. Отличная гигиена.
3. Исключить из рациона твердую и грубую пищу на несколько дней.И уже через несколько недель Ваш ребенок удивит Вас заметными результатами!
P.S. Иногда, падая, детки с короткими уздечками верхней губы делают "самооперацию", надрывая этот тяж.
Кстати, выглядит это так
www.babyblog.ru
Подрезание уздечки нижней губы у взрослых и детей
Пластика уздечки нижней губы у детей и взрослых – довольно простая и, нередко, нужная хирургическая операция, позволяющая устранить и, что ещё важнее, предотвратить целый комплекс стоматологических проблем и прочих осложнений в полости рта. Уздечка нижней губы – это складка в слизистой рта, соединяющая губу и десну в области центральных нижних резцов. Аналогично расположена и уздечка верхней губы, соединяющая её с верхней челюстью между верхними центральными резцами.
Функции уздечки и причины проведения операции
В полости рта есть несколько складок ткани, именуемых уздечками. Одна на языке, и две на верхней и нижней губах соответственно. Все три служат для выполнения сразу нескольких функций, к которым относятся:
- формирование правильного прикуса;
- выработка корректного произношения;
- поддержание здоровья слизистой оболочки рта;
- создание условий для нормального приёма пищи;
- поддержание работоспособности лицевых мышц.

Здесь видны все три уздечки в нормальном размере
Подрезание уздечки верхней губы у взрослых и детей, кстати, имеет примерно те же показания, что и подрезание нижней. Существует ряд основных причин, по которым проведение подобной операции является желательным:
- Сложности с грудным вскармливанием. Укороченная губная складка не позволяет младенцу надёжно ухватиться за сосок, в результате чего тот выскальзывает, а ребёнок не может насытиться, что может повлечь за собой отказ от кормления грудью.
- Проблемы с обработкой пищи. Во время привыкания к твёрдой пище короткая уздечка нижней губы будет затруднять нормальное пережёвывание еды и ребёнок привыкнет проглатывать крупные куски еды, что негативно скажется на его пищеварении.
- Деформация зубного ряда. Укороченная уздечка по мере развития челюсти станет всё сильнее оттягивать десну, из-за чего между передними резцами образуется щель, так называемая диастема. Помимо эстетической стороны, проблема заключается также в трудностях с жеванием, так как кусочки будут застревать в щели, вызывая боль раздражение.
- Если операция по разрезанию уздечки не была проведена до появления коренных зубов, это может сказаться на формировании правильного прикуса. Уздечка будет постоянно тянуть за собой десну, которая повлечёт за собой и челюсть.
- Натянутая губа также повлияет и на произношение ряда звуков. Нормальная дикция будет нарушена в угоду более удобному произношению, что потом с большим трудом будет корректироваться на логопедических занятиях.
- Патология губной складки способна привести к таким явлениям как гингивит, пародонтит, кариес, воспаление уздечки нижней губы и дёсен. Происходит это, потому что из-за плотно прижатой к десне губы значительно затрудняется гигиена полости рта и становится невозможным вычистить все бактерии.
Отзывы на подрезание уздечки нижней губы у взрослых, как правило, хорошие, но процедуру всё-таки лучше проводить в детские годы, когда дефект ещё не привёл к различным патологиям в развитии челюсти и полости рта.
Сроки и противопоказания
Как можно понять, своевременное устранение патологии позволит избежать нарушения множества важных процессов в период развития челюсти и ротовой полости ребёнка. Как правило, операцию по разрезанию уздечки следует осуществлять не ранее 5-7 лет, когда у ребёнка появятся все 4 постоянных центральных резца. В ином случае это может задеть и травмировать зачатки коренных зубов, которые ещё нескоро проявят себя.

Уздечка нижней губы до операции
Тем не менее, уздечка нижней губы в принципе различима не у каждого человека. И даже если вы обнаружили её у своего ребёнка, резать её будет необходимо лишь в случае слишком высокого прикрепления или короткой длины.
Пока нет ясности, что мешает нормальному развитию или болит уздечка нижней губы, операция не будет столь необходимой. Однако, в раннем возрасте сложно заметить какие-либо симптомы самостоятельно, поэтому крайне важно привести ребёнка на профилактический осмотр к детскому стоматологу в возрасте 2-3 лет.
Существует и ряд противопоказаний к применению такой процедуры. В большинстве случаев это стандартные ограничения, которые препятствуют большинству хирургических операций. К таковым можно отнести:
- несоблюдение гигиены полости рта.
- раковые опухоли в челюстных тканях;
- психические заболевания;
- плохая свёртываемость крови;
- обострение инфекционных и хронических заболеваний.
Методы проведения операции
Пластика уздечки нижней губы может быть представлена разными методиками, включающими в себя френэктомию, френотомию и френулопластику. Применение того или иного способа при проведении процедуры зависит от физиологических особенностей пациента, его возраста и ряда прочих мелких факторов.

Уздечка нижней губы после операции
Так, если уздечка выглядит как прозрачная плёнка, не скреплённая с альвеолярным отростком, то она рассекается поперёк, а зашивается продольно. В случае широкой уздечки, проводится рассечение уздечки по гребню вплоть до десны между центральными резцами, а края раны ушиваются в растянутом положении.
В большинстве случаев операция не занимает больше 20 минут и осуществляется под местным наркозом. Швы состоят из биодеградируемого материала и самостоятельно исчезают спустя несколько дней. Таким образом, реабилитационный период после проведения процедуры довольно короток и вскоре пациент уже может вернуться к нормальному образу жизни.
На сегодняшний день также существует возможность прооперировать любую уздечку во рту с помощью медицинского диодного лазера. К преимуществам такого метода можно отнести мгновенное купирование кровотечения, высокий уровень стерильности, безболезненность и отсутствие необходимости в наложении швов. Как правило, такой метод наиболее популярен как средство решения сложных медицинских задач.
vashyzuby.ru
Короткая уздечка языка, верхней или нижней губы у детей и новорожденных
В ротовой полости существует несколько тяжей из соединительной ткани, которые прикреплены к мышцам и слизистой оболочке. Такие образования называют уздечками. Самые заметные и важные из них находятся под языком, верхней и нижней губой.
| Нормальное строение уздечки | Аномалии уздечки | ||
| Губ | Языка | Губ | Языка |
| От рождения до 6-8 месяцев (возраста появления первых зубов) | |||
| Тонкие, плохо выраженные, заканчиваются в 2-3 мм от края альвеолярного отростка, губы свободно двигаются. | Тонкая, прикрепляется на большом расстоянии о кончика, не ограничивает подвижность органа | Утолщенные, короткие, крепятся близко от вершины альвеолярного отростка, ограничивают движение губ. | Вплетается в кончик или кончается близко от него, короткая и утолщенная, ограничивает подвижность. Может полностью отсутствовать – анкилоглоссия. |
| От 6-8 месяцев до 2-2,5 лет (формирование временного прикуса) | |||
| Заканчиваются в 3-5 мм от края альвеолярного отростка, не ограничивают движения. | Тонкая, прикрепляется на большом расстоянии о кончика, не ограничивает подвижность органа | Крепятся к вершине альвеолярных отростков, при отведении губ возникает побледнение десневого края. | Вплетается в кончик или кончается близко от него, короткая и утолщенная, ограничивает подвижность. Может полностью отсутствовать – анкилоглоссия. |
| От 2-2,5 лет до 4-4,5 лет (период сформированного временного прикуса) | |||
| В норме все зубы расположены плотно, без значительных промежутков и «заползаний» друг на друга. Прикус нормальный, ортогнатический. При укорочениях слизистых тяжей может быть нарушение прикуса и взаимного расположения зубов. | |||
| Период перед сменой зубов (от 4,5 до 6 лет) | |||
| В норме появляются физиологические «промежутки» между зубами, что говорит о росте челюстей. | |||
| Период смены зубов (от 6 до 13 лет) | |||
| Расположены в 4-6 мм от альвеолярного края (в связи с ростом челюсти) | Без изменений | Высота прикрепления остается прежней | Без изменений |
| Период постоянного прикуса (после 13 лет) | |||
| Уровень прикрепления всех выростов постоянный, не мешает движениям, не влияет на речь и прикус. При аномальном расположении может вызвать дефект речи, эстетические недостатки и неудобства. | |||
Признаки короткой уздечки языка
Слизистый тяж языка в норме крепится в средней части его части. Если он оканчивается на передней трети или даже в районе кончика, то считается недостаточно длинным. В каждом возрасте можно обнаружить различные симптомы этой патологии.
- Затруднения при грудном вскармливании новорожденного
- Парадонтит
- Нарушение формирования речи
Затруднения при грудном вскармливании
Уже при первичном осмотре и после дебютного кормления малыша можно заметить неправильное строение ротовой полости. Главным признаком будет вялое сосание молока или полное отсутствие продуктивных сосательных движений. Надо помнить, что такое состояние бывает при многих болезнях, родовых травмах, гипоксии мозга и других тяжелых патологиях. Поэтому сначала нужно исключить все опасные для жизни ситуации.
Редкой, но яркой аномалией явлется анкилоглоссия – практически полное приращение языка к слизистой оболочке дна полости рта. Это не позволяет совершать движения, необходимые для сосания молока из материнской груди. Для постановки диагноза достаточно беглого осмотра малыша.
Труднее бывает распознать причину вялого сосания. Вроде бы ребенок ест, молока много, но при этом он постоянно голоден и готов «висеть» у груди часами, кусает сосок, нервничает, а в итоге может отказаться есть. В этом также бывает повинна короткая уздечка у новорожденного, ограничивающая свободные движения.
Парадонтит
Из-за постоянного натяжения тканей дна ротовой полости может возникать парадонтит – воспалительный процесс в районе нижних зубов. Такое осложнение бывает редко, но любой стоматолог при наличии парадонтита внимательно осмотрит всю полость рта.
Нарушение формирования речи
Произношение некоторых звуков (шипящих, свистящих, небных) требует активных движений мышц языка. Поэтому дети с ограниченной его подвижностью могут отставать в речевом развитии, долго произносить слова искаженно, а порой закреплять речевой дефект. Логопед на приеме обязательно заподозрит короткую уздечку языка у ребенка, но при этом будет искать и другие причины неправильного звукопроизношения.
Четыре типа аномальных уздечек языка
- Тонкая, нормально прикрепляющаяся, но недостаточно длинная, может немного ограничивать подвижность.
- Тонкая, недостаточно длинная, прикрепляется близко к кончику, ограничивает его подвижность. При поднятии в центре языка образуется желобок.
- Плотный недлинный тяж, который вплетается в кончик. Последний подворачивается и раздваивается при поднятии.
- Малозаметный тяж в толще языка, ограничивающий его подвижность.
Больше всего нарушения речи заметны у детей с третьим типом, причем самым проблемным звуком бывает «р». Выраженные аномалии обычно сочетаются с глубоким прикусом и слишком тесным расположением зубов, так как тяж может тормозить рост челюсти.
Диагностика
Так как определить короткую уздечку в роддоме не всегда удается, то родителям полезно знать внешние признаки аномалии.
- При анкилоглоссии ребенок не может высунуть язык, облизать губы
- При средних и легких степенях укорочения могут возникнуть следующие признаки: кончик высунутого языка загибается кверху, поднятие его приводит к формированию желобка посередине.
Лечение
Существуют несколько состояний, при которых необходимо оперативное лечение:
- Анкилоглоссия
- Вялое сосание молока и плохой набор веса при исключении других причин
- Нарушение звукопроизношения при исключении других причин и при выраженном укорочении тяжа
В этих случаях короткую уздечку у детей подрезают. Это процедура, проводящаяся под местным обезболиванием, безопасная и почти бескровная. Сразу после нее можно кормить ребенка и разрешать ему говорить. В последнее время широко распространилась методика иссечения лазером, так как она быстрее и удобнее старого способа. Чаще всего процедуру проводят в 2-4 месяца, по показаниям и раньше. Если патология обнаружилась после пяти лет, то может потребоваться пластика (для формирования слизистого тяжа).
В ситуации, когда нет проблем с питанием, ребенок активно пытается говорить, то можно ограничиться артикуляционной гимнастикой. Это упражнения, направленные на растяжение уздечки. В их основе лежит максимальное увеличение амплитуды при движении языком. Нужно пытаться достать им кончик носа, подбородок, свернуть трубочкой или сместить набок.
Признаки укороченной уздечки верхней губы
Отросток, соединяющий верхнюю губу и слизистую, также бывает слишком коротким и широким. Это не вызывает нарушений речи или акта сосания молока, но может повлиять на расстояние между зубами.
Диастема – широкая щель между верхними центральными резцами – возникает по разным причинам. В молочном прикусе она является абсолютной нормой, встречаясь почти у всех шестилеток. Но если прорезаются постоянные клыки, а щель между зубами по-прежнему остается более 3 мм, то есть смысл задуматься о влиянии верхней губы.
Три типа аномальной уздечки верхней губы
- Прикрепляется ближе, чем 4 см от межзубного сосочка, но тонкая, достаточно длинная, не ограничивающая подвижность.
- Прикрепляется нормально, тонкая, но коротковата, может ограничивать подвижность губы.
- Широкий тяж, вплетающийся в межзубный сосочек, подвижность губы ограничено, часто между зубами возникает большой промежуток.
Излишнее расстояние между зубами чаще вызывает именно третий тип аномалии. В большинстве же таких случаев недлинная или низко прикрепленная уздечка не является основной причиной.
Помимо щели между резцами может возникнуть парадонтит. Обычно это происходит, если любые движения губой вызывают побеление нижележащих тканей. Недостаток кровообращения способен вызвать проблемы в области верхней челюсти.
Лечение
Слишком маленький по длине и широкий тяж, особенно низко прикрепленный, может помешать резцам сблизиться. В таких случаях зарубежные специалисты рекомендуют его иссечение после формирования постоянного прикуса (в 11-14 лет) и устранения диастемы (системой брекетов или пластин). У нас в стране порой делают операцию в сменном прикусе (в 5-6 лет). Это не совсем оправданно, так как может образоваться рубцовая ткань. Кроме того, почти всегда прорезывание клыков ведет к сдавливанию слизистой перемычки, ее утончению и самостоятельному закрытию диастемы. В результате операция не требуется.
Главный принцип лечения – вмешательство по показаниям. Если есть визуальное изменение в ротовой полости, но при этом ребенок не страдает, и эстетических недостатков нет, то ничего корректировать и лечить не нужно.
zdravotvet.ru
Короткая уздечка верхней губы. Почему? Зачем? и Как? — уздечка верхней губы — стр. 2 — запись пользователя Алина Русикова (rusikova) в сообществе Детские болезни от года до трех в категории Зубки
подрезание уздечки верхней губы у детейВ легкой панике родители приходят к стоматологу с просьбой подсечь уздечку верхней губы. На вопрос: «Зачем?» получаю многозначительный ответ : «Педиатр сказал».
Опять же вопрос: «Зачем?», «Для профилактики.»…???
Вопросы можно задавать до бесконечности, но стоит пожалеть бедных мам, им необходим ответ « здесь и сейчас»! Отвечаю:Для чего?
1. Короткая уздечка верхней губы может стать причиной косметического дефекта - диастемы (щели между передними зубами).
2. При движениях верхней губы уздечка тянет за собой межзубную десну– в результате этого она отходит от передних резцов, возникает их гиперчувствительность, обнажение корней, заболевания пародонта и т. д. Это особенно заметно у людей старшего возраста.У детей же проблема еще серьезней – в период формирования постоянного прикуса укороченная уздечка верхней губы приводит к выдвижению передних зубов вперед, особенно, если места в зубном ряду недостаточно. Впоследствии, такие нарушения прикуса исправлять сложно, долго и дорого.
3. При подготовке к ортодонтическому лечению. Как уже было сказано в пункте № 2,уздечка верхней губы влиет на прикус. Поэтому, если Вашему ребенку предстоит исправление прикуса, необходимо обратить на это внимание.
4. В совсем серьезных случаях логопеды отмечают затруднительное произношение звуков, требующих участия губ – «у», «о» и пр.
Когда?
Детям грудного возраста и не достигших 4 лет- НИКОГДА!
Самый оптимальный срок для вмешательства, когда прорезались центральные постоянные резцы и начали прорезываться вторые постоянные резцы (чаще всего это возраст семи-восьми лет ).Почему не раньше?
1. Некачественно подрезанная уздечка может заставить в будущем повторно проделать эту манипуляцию (зачем, если это можно сделать один раз!)
2. Т.к. верхняя губа у малышей работает на 40 % от заложенных природой возможностей (они не умеют разговаривать, не едят твердую пищу и т.п.), то, подрезание уздечки может спровоцировать образование рубца, который также будет тянуть, как и предыдущая уздечка.
3. При работе «в слепую» можно повредить зачатки постоянных зубов.Как?
Просто. Подошел возраст, Вы проконсультировались с врачом-ортодонтом (именно он выносит вердикт - делать или нет!), сделали ортопантомограмму (рентгеновский снимок, на котором запечатлены сразу все зубы, он необходим для того, чтобы оценить, насколько «глубоко» уздечка вплетена в костную ткань). И все… В кресло к хирургу-стоматологу!
Процедура длится минут 15-20 под местной анестезией (детки в ходе операции даже могут поддерживать беседу с врачом). Сами маленькие пациенты говорят, что лечить зубы намного хуже. В конце операции накладывают швы, которые самостоятельно рассасываются, и отправляют домой, взяв перед этим обещание обязательно прийти на следующий день на осмотр.
Послеоперационный период протекает спокойно. Есть определенные требования:
1. Мороженое в первые дни (вкусная рекомендация!)
2. Отличная гигиена.
3. Исключить из рациона твердую и грубую пищу на несколько дней.И уже через несколько недель Ваш ребенок удивит Вас заметными результатами!
P.S. Иногда, падая, детки с короткими уздечками верхней губы делают "самооперацию", надрывая этот тяж.
Кстати, выглядит это так
www.babyblog.ru
Уздечка на верхней губе, как подрезать короткую уздечку у ребёнка
В нормальном состоянии у любого человека есть особая перемычка в области над слизистой, которая способствует креплению губ к челюстной кости. Такая уздечка верхней губы никак не должна препятствовать качественному пережёвыванию еды и разговору, но в некоторых случаях происходят отклонения от общепринятых норм, особенно у новорожденных детей. Когда стоит начинать беспокоиться об уздечке верхней губы, в каком возрасте ребёнка стоит начать лечение? Как применять оперативное хирургическое вмешательство?
Чем может угрожать развившаяся патология?
У маленьких детей часто происходит развитие щелей между передними зубами. Чаще всего причиной такой патологии считается слишком маленькая узда в области верхней губы. Чтобы приблизить зубы друг к другу и сделать ротовую полость ребёнка более эстетичной на внешний вид нужно использовать специализированную ортопедическую систему (брекеты, пластины и так далее). Но это можно осуществить лишь после полной коррекции уздечки верхней губы малыша.
Какие осложнения и трудности могут проступать у ребёнка в случае уплотнения либо уменьшения складки слизистой оболочки?
- Развивается межзубная диастема (щель либо особый промежуток).
- Ребенку сложно самостоятельно широко раздвигать свои губы, в результате чего улыбка у него становится на внешний вид слегка перекошенной, слабовыраженной и непривлекательной.
- Могут происходить и нарушения с самим процессом речи, может искажаться произношение некоторых звуков и слов.
- Слизистая складка затянется в междузубной сосочек, что может привести к развитию дефекта прикуса ребёнка ( передняя область зубов от этого будет сильно выпирать).
Самой частой патологией считается низкое качество крепления складки верхней либо нижней губы. Непроведение коррекции уздечки как верхней, так и нижней губы могут привести к особым трудностям:
Нарушение процесса сосания груди у младенцев.- Развитие дефектов в речи, патологии в формировании органов, отвечающих за качество речи.
- Трудности в процессе пережёвывания продуктов питания.
- Развитие характерных карманов в области дёсен, где активно застревают остатки от пищи, наличие бактериального налёта либо камней в полости рта, которые в свою очередь ведут к развитию воспаления и образованию гноя.
- Обнажаются корни зубов.
- Увеличивается показатель чувствительности общей эмали человека.
- Происходит развитие пародонтита (пародонтит, гингивит, пародонтоз и другие заболевания из этого разряда).
- Деформация крепежей зубов, в результате чего развиваются большие промежутки рядом с соседними зубами.
Такая широко распространённая короткая уздечка верхней губы станет причиной скопления в самих зубах и в отверстиях между ними патологических условий микрофлоры, камня, налётов после пищи, и остатков еды. В таком случае специальная гигиена полости рта будет просто необходима ребёнку каждые два- три месяца.
В случае развития осложнений слизистой складки есть несколько способов для лечения болезни, самыми распространёнными считаются лазерные и просты пластики, а также хирургическое оперативное вмешательство. Лишь операция может помочь убрать полученный дефект — он не лечится при помощи физиотерапии, медикаментов, диет, а также иглоукалывания.
Если вы нашли у своего ребёнка короткую складку верхней губы, то вам нужно в обязательном порядке пойти на осмотр к лечащему специалисту: ортодонту, логопеду, пародонтологу, ортопеду, неонатологу. Дантист или же хирург не сможет полноценно установить объективные причины развития болезни, а также не сможет выдасть показания к проведению операции.
Неонатолог может назначить особенную процедуру, если проблема в слизистой не даёт ребёнку нормально питаться молоком матери. Чаще всего речь в этой ситуации идёт о патологических процессах в строении верхней губы, так как она больше всего участвует во время сосания и принятия молока. Иногда такой специалист может самостоятельно провести иссечение примычки ребёнка или же прописать направление к детскому хирургу.
Логопед способен зафиксировать и подрезать короткую уздечку верхний губы у малыша, когда у него имеется нарушение в речевом процессе, а также неразвитость органов речи. Чаще всего этот диагноз можно обнаружить, когда ребёнок начинает непонятно и плохо произносить гласные звуки, такие как о, у и другие, в произношении которых нужно использовать губы. Врач-логопед, к несчастью, может найти болезни уже на более поздних сроках развития ребёнка (дети школьного и дошкольного возраста). В таком случае чаще всего подрезание уже не способно ничего сделать с заболеванием, а поэтому придётся совершать полное хирургическое вмешательство.
Особенно часто необходимость совершать подрезку у ребёнка определяют врачи ортопеды, пародонтологи, а также ортодонты.
Патология прикрепления губы к челюстной кости считается патологией, которая может привести к изменению нормального положения прикуса и ухудшить положение зубного ряда, а также развить подвижность отдельно стоящих зубов. Если не сделать терапию лечения в детском возрасте, то со временем при взрослении малыша лечение может вылиться в довольно крупную сумму, стать длительным и болезненным для самого ребёнка.
Подрезание уздечки верхней губы у детей
Как подрезать короткую уздечку у детей? Самым лучшим временем для хирургического вмешательства станет возраст 5–6 лет. Несмотря на различные проблемы, возникающие в процессе кормления ребёнка грудью, дети до четырёх лет не могут быть подвержены коррекции. Если лечащий специалист предложил совершить полную хирургическую операцию грудному младенцу, то вам стоит уйти из этого учреждения и обращаться за помощью в другое, так как ранний процесс вмешательства в эту область может развить страшные осложнения.
Осуществлять подрезание слизистой нужно в то время, когда постоянные зубы уже полностью прорезались и до конца выросли, а вторые резцы уже на стадии прорезания. Именно по этой причине большое количество врачей старается назначить процесс операции ещё на школьный возраст.
Какие осложнения могут развиваться в организме ребёнка после подрезания либо полного удаления уздечки с верхней губы в раннем возрасте?
- Развитие челюсти после проведённой процедуры всё ещё продолжается, что может привести к необходимости ещё одной операции в скором будущем.
- Верхняя губа младенца в это время выполняет лишь треть заложенных в неё функций (малыш не общается, не может раскусывать пищу твёрдого характера), а процесс изменения структуры в слизистой может привести к развитию рубцевания ткани, которая в будущем может тянуть губу и вызывать неприятные ощущения совсем как уздечка.
- Операция во рту без наличия постоянных зубов происходит почти вслепую, именно поэтому лечащий специалист может случайно задеть зачатки главных зубов, нарушить процесс их развития, привести к патологическим, а также воспалительным процессам внутри рта.
Какие разновидности лечения существуют?
Самыми широко используемыми разновидностями изменений уздечки малыша считается вмешательство посредством проведения операции (подрезание, изменение положения зубов, удаление и другие способы), а также пластика (включая метод лазера).
- Хирургическое вмешательство в ротовую полость. Эта процедура производится с помощью медицинского скальпеля. Анестезиолог проводит местную анестезию в определённый участок, после этого лечащий специалист совершает иссечение слизистой оболочки, что поможет поменять как длину, так и ширину самой уздечки.
В процессе операционной процедуры нормальным считается наличие маленького количества кровотечения из области рта. Время операционных действий, чаще всего меньше 30 минут. После процедуры в верхней области губы либо в нижней можно почувствовать и различить небольшую отёчность, кровоточивость, боль, дискомфорт в процессе общения, жевания, кашля, а также пережёвывания пищи.
Рана полностью проходит в течение десяти дней с момента проведения операции, во время которых ребёнок придерживается строго установленной диеты (жидкая пища комнатной температурой), уделяет большое внимание гигиене и чистоте ротовой полости (антисептические ванны, аппликации, а также специальные полоскания ротовой полости при помощи трав и содово – соляных растворов). После полного заживления ранки на это участке остаётся небольшой рубец, который с течением времени начинает постепенно рассасываться. Так, процедуру по уменьшению уздечки проводят хирурги-стоматологи либо пародонтологи.
Применение пластики
Данное лечение помогает осуществить подрезку самой уздечки верхней губы малыша, не применяя для этого анестезию (или даже небольшое её количество). Процедура включает в себя три различных действия:
- Вренулопластика (меняется способ крепления и расположение примычки).
- Фреэктомия (происходит иссечение слизистой оболочки губы).
- Френотомия (процесс рассечения самой складки).
Узкая перемычка выглядит на внешний вид как прозрачная либо полупрозрачная перегородка, которая не крепится к самому краю альвеолярного отростка. Данную уздечку рассекают поперёк, после чего специалист начинает наложение швов.
Во время слишком широкой перемычки врач начинает её натягивать и создаёт надрез вдоль по гребню. При всём этом происходит иссечение мягкой ткани, в том числе и межзубного сосочка центральной области зубов.
Пластика должна происходить в специальной амбулатории в течение 20 минут. Швы после проведения процедуры начинаю самостоятельно рассасываться.
Стоит ли подрезать уздечку губы с помощью лазера
Данный вид пластики помогает избавиться от развития кровотечения в процессе процедуры, так как горячие лучи буквально запаивают иссечённые сосуды на губе. Анестезия в этот раз выглядит в виде нанесённого охлаждающего и обезболивающего специального геля, который заключает в себе быстрый эффект.
После такой своевременной процедуры не происходит особого отёка в этой области, болезненности, а также развития рубца, а сама терапия проходит за пять минут. Кроме этого, лазерные лучи под действием высокой температуры помогают комплексно обеззаразить рану, что помогает её быстрому заживлению и выздоровлению. Если рубца нет, то врач может не накладывать сами швы.
Применение лазерной терапии помогает разбить поход к специалисту на несколько сеансов, что уменьшает стресс для самого ребёнка и делает процесс лечения верхней уздечки на губе наиболее эффективным, комфортным и быстрым.
Процесс восстановления после проведения операции
Восстановление после пластики либо другой операции составляет около 10 дней.
В первые часы после процедуры у малыша возможна дезориентация, так как анестезия в это время лишь отходит, и возникают особые ощущения, а также повышен уровень дискомфорта ребёнка. Главная цель для родителей в этом случае это помочь ране на губе ребёнка как можно быстрее зажить и восстановиться, а для этого нужно следовать некоторым простым правилам:
- Регулярно следить за качественной и эффективной гигиеной полости рта ребёнка.
- На протяжении первых нескольких дней готовить лишь специализированные блюда (слизистые, кашевидные, жидкие, суфле и фарш), а также давать ребёнку специальные продукты и напитки, но лишь при условии их комнатной температуры.
- По пришествию нескольких дней нужно прийти на осмотр к лечащему врачу.
- Совершать совместно с ребёнком дополнительные гимнастические упражнения, которые помогут развить жевательные мимические мышцы у ребёнка.
Первые дни после осуществления процедуры ребёнок будет ощущать дезориентацию по причине появления новой амплитуды и силы движения языка. Также его дикция будет слегка различной с изначальной, поэтому стоит потренировать ребёнка правильному произношению некоторых звуков.
mama.guru
Короткая уздечка верхней губы. Почему? Зачем? и Как? — уздечка верхней губы — стр. 3 — запись пользователя Алина Русикова (rusikova) в сообществе Детские болезни от года до трех в категории Зубки
подрезание уздечки верхней губы у детейВ легкой панике родители приходят к стоматологу с просьбой подсечь уздечку верхней губы. На вопрос: «Зачем?» получаю многозначительный ответ : «Педиатр сказал».
Опять же вопрос: «Зачем?», «Для профилактики.»…???
Вопросы можно задавать до бесконечности, но стоит пожалеть бедных мам, им необходим ответ « здесь и сейчас»! Отвечаю:Для чего?
1. Короткая уздечка верхней губы может стать причиной косметического дефекта - диастемы (щели между передними зубами).
2. При движениях верхней губы уздечка тянет за собой межзубную десну– в результате этого она отходит от передних резцов, возникает их гиперчувствительность, обнажение корней, заболевания пародонта и т. д. Это особенно заметно у людей старшего возраста.У детей же проблема еще серьезней – в период формирования постоянного прикуса укороченная уздечка верхней губы приводит к выдвижению передних зубов вперед, особенно, если места в зубном ряду недостаточно. Впоследствии, такие нарушения прикуса исправлять сложно, долго и дорого.
3. При подготовке к ортодонтическому лечению. Как уже было сказано в пункте № 2,уздечка верхней губы влиет на прикус. Поэтому, если Вашему ребенку предстоит исправление прикуса, необходимо обратить на это внимание.
4. В совсем серьезных случаях логопеды отмечают затруднительное произношение звуков, требующих участия губ – «у», «о» и пр.
Когда?
Детям грудного возраста и не достигших 4 лет- НИКОГДА!
Самый оптимальный срок для вмешательства, когда прорезались центральные постоянные резцы и начали прорезываться вторые постоянные резцы (чаще всего это возраст семи-восьми лет ).Почему не раньше?
1. Некачественно подрезанная уздечка может заставить в будущем повторно проделать эту манипуляцию (зачем, если это можно сделать один раз!)
2. Т.к. верхняя губа у малышей работает на 40 % от заложенных природой возможностей (они не умеют разговаривать, не едят твердую пищу и т.п.), то, подрезание уздечки может спровоцировать образование рубца, который также будет тянуть, как и предыдущая уздечка.
3. При работе «в слепую» можно повредить зачатки постоянных зубов.Как?
Просто. Подошел возраст, Вы проконсультировались с врачом-ортодонтом (именно он выносит вердикт - делать или нет!), сделали ортопантомограмму (рентгеновский снимок, на котором запечатлены сразу все зубы, он необходим для того, чтобы оценить, насколько «глубоко» уздечка вплетена в костную ткань). И все… В кресло к хирургу-стоматологу!
Процедура длится минут 15-20 под местной анестезией (детки в ходе операции даже могут поддерживать беседу с врачом). Сами маленькие пациенты говорят, что лечить зубы намного хуже. В конце операции накладывают швы, которые самостоятельно рассасываются, и отправляют домой, взяв перед этим обещание обязательно прийти на следующий день на осмотр.
Послеоперационный период протекает спокойно. Есть определенные требования:
1. Мороженое в первые дни (вкусная рекомендация!)
2. Отличная гигиена.
3. Исключить из рациона твердую и грубую пищу на несколько дней.И уже через несколько недель Ваш ребенок удивит Вас заметными результатами!
P.S. Иногда, падая, детки с короткими уздечками верхней губы делают "самооперацию", надрывая этот тяж.
Кстати, выглядит это так
www.babyblog.ru




Нарушение процесса сосания груди у младенцев.