Пластика уздечки верхней губы для детей
Верхняя губная уздечка—это небольшая складка в полости рта, находящаяся под верхней губой. Она служит для дополнительного прикрепления губы к челюсти.
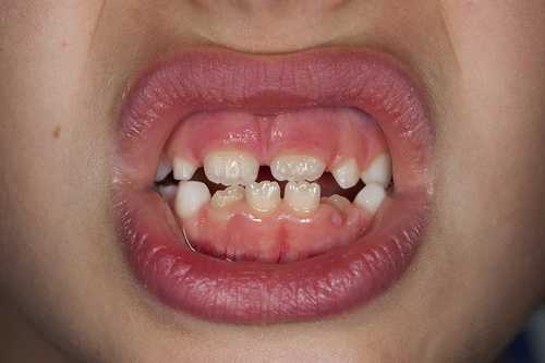
Пластика уздечки верхней губы у детейЧтобы ее увидеть, следует слегка приподнять верхнюю губу. Уздечка напоминает маленький треугольник, соединенный с десной около резцов.
Нормальное состояние уздечки
Нормой считается, когда она находится на расстоянии 5-10 мм от передних резцов. Уздечка не должна вызывать дискомфорт, мешать речи и приему пищи.
Диагностировать проблему очень просто, нужно лишь приподнять губу, оценить положение полости. Если слизистая складка начинается в середине губы , на 4-6 мм выше десны, ее можно назвать слишком короткой. Такая уздечка может стать причиной развития патологий.
Если же ее размеры больше нормы, это способствует неправильному положению губы, она становится вздернутой.
Показания к пластике
Это необходимо, если обнаружены:
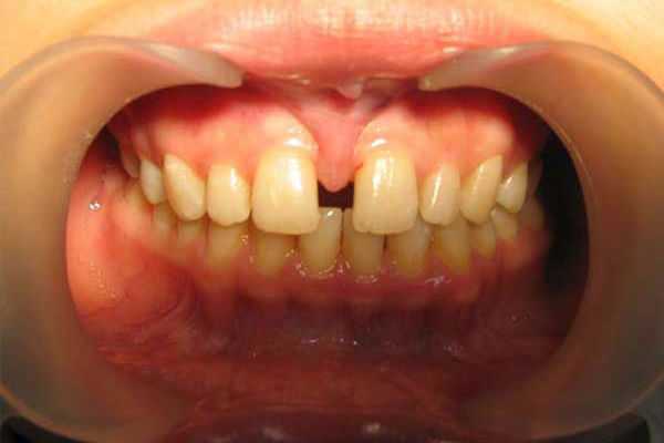
- Диастема, или щель между передними зубами. Дело даже не в заметном дефекте. Уздечка между зубами препятствует правильному положению зубов, из-за чего они травмируются и разъезжаются.
- Кариес или большая вероятность возникновения. Короткая уздечка оголяет корни зубов, т.к. десна натягивается. Из-за этого вероятен риск попадания остатков пищи в отверстия, которые загнивают или воспаляются.
- Затруднение в кормлении малыша грудью. Проблемы с мягкими тканями полости рта могут помешать сосательным движениям ребенка.
- Нарушение дикции ,звукообразования
- Короткая уздечка может являться препятствием в установке съемного протеза или исправлении прикуса.
ДиастемаВозраст, подходящий для пластики
По мнению врачей, наилучший возраст для выполнения процедуры от 2 до 6 месяцев. В младенчестве слизистые оболочки не до конца сформированы, отсутствуют многие нервные окончания, кровотечение будет слабым.
Это безболезненно и занимает немного времени, поэтому малыш легко перенесет операцию.
Если диагностировать патологию уздечки не удалось в малом возрасте, есть возможность провести процедуру в 5-6 лет, когда формируются постоянные зубы.
Перед хирургическим вмешательством требуется сдать кровь, мочу и осуществить флюорографию.
Обязательным перед процедурой является поход к стоматологу, который вылечит кариес и иные заболевания, если они имеются. До операции плотно накормите малыша, т.к. после нее некоторое время прием пищи невозможен. Затем тщательно почистите ему зубы и прополощите рот.
Различные виды пластики
Есть несколько вариантов воздействия на складку слизистой: удаление малой части кожи или рассечение для срастания в верном положении.
Лазерный способ
Пластика уздечки верхней губы у детей лазеромПлюсы лазера:
- Кожа восстанавливается в короткий срок
- Швы не накладываются
- Отсутствие кровотечения
- Невозможность занесения инфекции
Френулопластика и ее разновидности
Лазерный метод не способен справиться с аномалиями, исправляя только классический вариант короткой уздечки. В этом случае врачи прибегают к механическому способу воздействия.
Френулопластика выполняется хирургическими инструментами под местным обезболиванием.
Способы проведения:
- Ромбообразная пластика. На месте проведения операции остается небольшой шрам в виде ромба. Слизистая ткань подрезается, приподнимается вверх и ушивается.
- Z-образная операция. Рассеченная в центре уздечка и два косых надреза ушиваются в форме треугольника.
Для быстрого и безболезненного заживания ран применяется шовный рассасывающийся материал, с ним не требуется снимать швы через пару недель. Все хирургическое вмешательство занимает приблизительно 20 минут. Если верить отзывам пациентов, этот процесс не причиняет сильной боли.
Френэктомия или удаление уздечки
Применяется лишь в том случае, если складка слишком большая и широкая. На зубах остается налет, что приводит к заболеваниям.
ФренэктомияТакже френэктомию используют при случайном повреждении ребенком полости рта из-за удара или падения. Накладываются швы, и складка удаляется.
Реабилитационный период
Место проведения пластики заживает в течение недели.
- Принимать в пищу только жидкие блюда
- Не потреблять еду со слишком высокой или низкой температурой
- Следить за чистотой рта
- Выполнять мимическую гимнастику
Сначала малыш все же испытает некоторый дискомфорт, т.к. изменится положение языка во рту. Не исключено, что у ребенка слегка изменится дикция и интонации при речи, поэтому какое-то время нужно будет поработать над правильным произношением звуков.
Противопоказания к проведению пластики
- Осложненный кариес
- Проведенные ранее курсы химиотерапии
- Заражения крови
- Нарушение нервной системы, психические заболевания
- Нарушение обмена веществ
Отзывы о методах проведения операции
Через такую распространенную проблему как патология уздечки прошли многие семьи.
Пластика уздечки верхней губы у детей, отзывы прошедших через эту процедуру:
«Мы побоялись делать пластику лазером, традиционные способы больше приветствуем. Проблема была серьезная, ребенку было 5, когда начал развиваться кариес сразу на нескольких зубах. Тогда мы пошли к стоматологу, который направил нас на операцию обычным скальпелем к хирургу. Небольшой шрамик действительно остался, но он совсем незаметен и ребенку не мешает. Главное, что мы вылечили все больные зубы и устранили проблему короткой уздечки. Вся семья просто счастлива!
»«Обратились к ортодонту с проблемой огромной щели между зубами. Сейчас дочери 7. Несколько лет назад, когда зубы были еще молочными, мы провели данную процедуру. Сейчас моя дочка хвастается ровными, красивыми коренными зубами без щербинки и проблем с речью.»
«Мы с мужем давно пытались найти выход, чтобы избавиться от неправильной дикции малыша. Водили к логопедам, но ничего не давало результата. Но один из врачей оказался прекрасным специалистом и сразу направил нас на лазерную пластику. За пятнадцать минут в кресле малыш не издал ни звука. Результат- ни шрамов, ни ран, только прекрасная дикция. Больше нас не пугает слово «рыба»!
«Поздно решилась делать сыну эту операцию. Ему было 7 лет. Он героически все перенес, не плакал, сказал, что было совсем не страшно. Попался замечательный доктор, который сына всячески отвлекал и веселил. Анестезия отошла буквально за пару часов без последствий. Шрама не осталось за 6 дней, мазали его выписанным гелем. Пищу только мягкую давали в течение недели. Щель между зубами, которая так беспокоила, значительно уменьшилась через пару месяцев. Сейчас нас ничего не беспокоит.»
«Моей дочке 5 с половиной лет. Операцию делали пол года назад. Очень за нее переживала, когда обезболивали. Да и часа 2-3 после процедуры тяжело от анестезии отходила, не получалось улыбнуться и широко открыть рот. Но она все выдержала и, к моему удивлению, не плакала. Советую сразу уложить ребенка спать, чтобы неприятные ощущения перенести было легче. Шрам заживает у каждого по-разному, все зависит от болевого порога. Кушали только мягкое или жидкое первые три дня, потом перешли на обычную еду. На первый день лучше ограничиться питьевыми йогуртами или мелкими кусочками нарезанным бананом. Полоскание рта обязательно, мы использовали хлоргексидин и отвар ромашки. Никаких лекарств обезболивающих не принимали.
»
Патология уздечки верхней губы — фото до и после операцииПатология уздечки верхней губы—это частое явление у малышей. Не переживайте, если этот диагноз поставлен вашему ребенку. Если врач настоятельно рекомендует вам провести эту процедуру, непременно следует этим заняться. Такие операции проходят очень быстро, имеют положительный исход, приводят к скорому выздоровлению и улучшению самочувствия.
Лучшим вариантом является проведение такого вида вмешательства до исполнения малышу 7 месяцев. Тогда малыш с легкостью перенесет процедуру, не испытав никаких болезненных ощущений. Будьте счастливы и здоровы!
dentserv.ru
Пластика уздечки верхней губы — как происходит.
У каждого человека имеется специальная перемычка на слизистой, за счет которой обеспечивается крепление губы к челюстной кости. В норме она не должна доставлять проблем при пережевывании пищи, вызывать дискомфорта при разговоре. Однако иногда бывают патологии ее развития, при которых показана пластика уздечки губы.
Описание процедуры
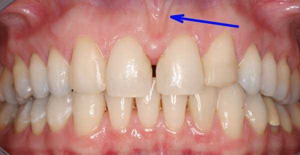
Пластика уздечки губы – это операция, при которой подрезается ткань уздечки. Уздечка губы – это часть ротовой полости, которая выглядит в виде складки слизистой. Она необходима для обеспечения нормального фиксирования верхней губы к области челюстной кости. В норме уздечка вплетается в десневую ткань на расстоянии 0,5-0,8 см от шеек передних резцов. А если уздечка губы заходит за участки передних резцов, а точек крепления совсем не видно, то тогда она считается сильно укороченной. Обычно эту патологию врач обнаруживает сразу при визуальном обследовании. Данная процедура должна выполняться при наличии показаний, а также только по направлению врача.
Еще по теме:Детская стоматология. Удаление зуба.
Зачем подрезают уздечку верхней губы.
При нормальном развитии уздечки можно свободно произносить звуки, слова, выполнять правильное артикулирование, производить движения губами, открывать и закрывать рот.
Обратите внимание! Если имеются патологии и дефекты в развитии уздечки наблюдается плохая подвижность губ, возникают проблемы в их функционировании, а также появляются различные внешние дефекты.
Пластика уздечки языка требуется для предотвращения следующих неприятных последствий:
- Появление расстройств при сосании у детей. Обычно у новорожденных детей верхняя губа принимает повышенное участие в сосании, а если имеются патологии в ее развитии, то могут появиться проблемы при естественном кормлении.
- Возникновение проблем со звучанием слов. При наличии укороченной уздечки наблюдаются нарушения в формировании и произношении речи. Часто во время этой патологии проявляются проблемы при произношении губных звуков, гласных. В этих ситуациях логопед советует делать корректирование этой части, после этой процедуры все дефекты при произношении полностью исчезают.
- У взрослых наличие короткой уздечки может вызвать появление нарушения прикуса и проблем при пережевывании еды, в результате это приводит к расстройству деятельности пищеварительных органов.
- Наличие короткой уздечки, а также ее близкое прикрепление к области края в альвеолярном отростке может вызвать оттягивание межзубных сосочков в промежутке передних зубов. В итоге в костной ткани появляется область между участками лунок зубов, которую также называют диастемой. Дополнительно может увеличиться размер пространства между коронками.
- Укороченная уздечка вызывает оттягивание десны, в итоге этого появляется десневой карман, происходит отложения камней и возникает повышенное воспаление десны.
- Аномальное крепление может вызвать неустойчивость зубов, оголение корневых областей, повышение чувствительности.
- Если имеется широкая уздечка, то происходит повышенное скопление частичек еды, а также образование налета на поверхности зубов;
Корректирование требуется не только для устранения вышеперечисленных неприятных последствий. Также оперирование выполняется для профилактической лечебной терапии патологий пародонта и воспалений в полости рта.

При каких показаниях делается пластика уздечка губы.
Корректирование делается, если имеются следующие факторы:
- пластика часто назначается при наличии промежутка между передними зубами. В этих ситуациях широкая уздечка противостоит нормальному схождению резцов к центральной области. В связи с тем, что постоянно оказывается повышенное давление, промежуток постепенно становится больше и происходит смещение зубов в разные стороны. Также при повреждении межзубного сосочка происходит появление пародонтита;
- рекомендуется применять во время ортодонтической лечебной терапии. Все мягкие ткани ротовой полости, а также уздечка губы, вызывают повышенное давление на зубы и провоцируют нарушение прикуса. Если требуется ортодонтическая лечебная терапия, то сначала выполняется пластика уздечки губы;
- если имеются патологии пародонта, а также при риске их возникновений. Обычно при этих состояниях короткая уздечка вызывает стягивание слизистой ткани в области основания зубов, это вызывает оголение корней;
- пластика уздечки губы рекомендуется в подготовительный период перед установкой протезных устройств. Если в ближайшем будущем планируется установка протезов, то целесообразно для начала провести корректирование уздечки, потому что если она укороченная, то она может вызвать сброс протезных элементов;
- пластика уздечки рекомендуется при наличии проблем при произношении слов, при проблемном образовании звуков и других проблем дикции. Но точно определить, нужно ли подрезать уздечку верхней губы, сможет только специалист при обследовании больного.
Когда лучше делать данную процедуру.
Несмотря на то, что пластика уздечки губы считается достаточно простым, легким оперативным вмешательством, не вызывающего серьезных осложнений со здоровьем, обязательно нужно знать, когда лучше подрезать. К примеру, новорожденным эту процедуру рекомендуется выполнять при наличии проблем при естественном вскармливании.
Важно! Желательно детям выполнять эту операцию при достижении пятилетнего возраста, когда передние зубы прорезались на 1/3 часть. Если выполняется пластика уздечки губы в этот период, то не будет наблюдаться образование диастемы, и передние зубы будут расти в нормальном положении.
Многие врачи рекомендуют выполнять эту операцию, когда дети достигли 7-8 лет. В этот период обычно 4 верхних резца полностью вырастают и формируются. По показаниям данную процедуру рекомендуют проводить только для взрослых и подростков.
Противопоказания.
К противопоказаниям этой операции относятся следующие состояния и болезни:
- Наличие хронических патологий слизистой оболочки полости рта.
- Не рекомендуется выполнять при остеомиелите.
- Если имеется множественный кариес в осложненной форме.
- При лучевом облучении головы и области шеи.
Также есть общие противопоказания, среди которых выделяются следующие состояния:
- не выполняется при церебральных осложнениях;
- при дисморфофобии;
- коррекция не делается при злоупотреблении алкогольными напитками;
- при психических патологиях;
- нельзя делать при заболеваниях крови;
- наличие инфекционных патологий в обостренной стадии;
- при хронических заболеваниях;
- если имеются онкологические патологии;
- при наличии коллагенозы, это состояние характеризуется склонностью к формированию рубцов.
Подготовительные процедуры перед операцией.
Для того чтобы пластика уздечки губы прошла успешно и все патологии в развитии полностью прошли, нужно правильно подготовиться к операции. Для этого требуется выполнить следующие рекомендации:
- Перед проведением операции нужно провести очищение и дезинфицирование ротовой полости. Дело в том, что очаги с инфекцией могут вызывать ряд осложнений;
- Дополнительно врачи могут порекомендовать сдать анализы, они помогут выявить наличие заболеваний и противопоказаний;
- Иногда назначается проведение рентгенофлюорографии, но она делается редко, потому что операция быстрая и малотравматичная;
- Перед тем как будет начата пластика уздечки, ребенка обязательно нужно покормить. Операция, которая делается натощак, намного сложнее переносится, также могут возникнуть проблемы в свертывании крови.
Способы подрезания уздечки верхней губы.
Выделяют следующие виды подрезания:
- если уздечка обладает узкой структурой, которая похожа на прозрачную пленку, при этом она не прикрепляется к области края альвеолярного отростка, то рекомендуется проводить френотомию или рассечение. При этом оперативном вмешательстве выполняется рассечение поперек, далее накладываются швы вдоль;
- если имеется широкая уздечка, то тогда рекомендуется проводить френэктомию, а именно ее иссечение. Во время этого вида операции выполняется разрезание по области натянутого гребня, в этот же период делается иссечение межзубных сосочков и ткани, которые находятся в области костного промежутка между корнями раздвинутых передних зубов.
Также пластика уздечки губы может выполняться при помощи френулопластики, во время которой выполняется перемещение точки крепления. Этот вид операции может выполняться при помощи двух способов.
Y-образная френупластика. При этой процедуре выполняют иссечение зафиксированной уздечки при помощи скальпеля или десневых ножниц. Далее на слизистой ткани остается дефект в виде ромба. После этого разрезанный край слизистого слоя при помощи распатора отодвигают вовнутрь образовавшейся области. В этой области выполняется его фиксирование к надкостнице за счет шва с узловой структурой, затем проводится накладывание швов на рану.
Z-образная френулопластика. Для начала выполняется заморозка, затем выполняется вертикальное разрезание, которое проходит по центру. С двух сторон от него выполняются два надреза косого вида, которые должны иметь угол наклона от 60 до 85 градусов. В результате должны получиться два лоскута с треугольной формой, но при этом центральный разрез должен перейти в область горизонтальной плоскости. После этого при помощи распатора выполняется отслаивание подслизистой ткани вдоль надкостницы, далее делается сшивание горизонтального разреза. К области надкостницы лоскуты прикрепляются кетгутом.
Как ухаживать за полостью рта после пластики уздечки верхней губы.
Поскольку пластика уздечки губы это легкое, быстрое оперирование, то и восстановление после нее проходит достаточно быстро и практически без осложнений. Однако после окончания действия анестетика возможно появление неприятных болезненных ощущений. Поэтому важно соблюдать несколько рекомендаций по уходу:
- Каждый день нужно проводить необходимые меры по гигиене полости рта — очищение зубов два раза в день, чистка десен, языка, а также полоскание рта антисептическими растворами;
- Примерно на два дня стоит отказаться от употребления слишком горячей и твердой еды;
- На второй или третий день нужно посетить врача, который проведет послеоперационный осмотр.
Это интересно! Для пациентов в подростковом и взрослом возрасте дополнительно рекомендуется проводить специальную миогимнастику – это комплекс упражнений, который обеспечивает укрепление жевательной и мимической мышечной ткани. Примерно восстановительный период составляет около 4-5 дней. За этот промежуток времени полностью устраняются неприятные ощущения, а также наблюдается восстановление и исчезновение всех ранок.
Цена на процедуру пластики уздечки верхней губы.
Стоимость пластики уздечки верхней губы в нашей стоматологии зависит от сложности конкретного случая. Цена коллеблится от 650 грн — 1000 грн.
clinicdenta.com
Пластика уздечки верхней губы у детей: виды операций и причины их проведения
Пластика уздечки является хирургической операцией, во время которой проводится подрезание уздечки. Пластика уздечки верхней губы у детей проводится по назначению ортодонта или логопеда, которые выявили показания к данной операции.
Уздечка губы — это складка слизистой ротовой полости, которая отвечает за крепление верхней и нижней губы к челюсти.
Нормальной считается уздечка, которая вплетается в десну на 0,5-1 см от основания передних резцов. Более низкое ее расположение приводит к тому, что уздечка может заходить за передние резцы, а место ее крепления с десной вообще не просматривается. То есть уздечка начинается в середине верхней губы и крепиться примерно на 0,4-0,6 см выше десны, обосновываясь в щели между передними резцами.
Короткую уздечку очень легко увидеть при визуальном осмотре. Для этого верхнюю или нижнюю губу отводят в сторону и рассматривают. При нормальном расположении она не влияет на прикус и не мешает разговаривать. Низкое же ее расположение может привести к множественным нарушениям не только речи, но и эстетики лица. Чтобы не допустить дефектов губы и речи ребенка, проводят операцию по пластике уздечки.
Многие родители не знают, какие функции выполняет уздечка верхней губы, поэтому часто не обращают на ее дефект никакого внимания, что в свое время приводит к нарушениям речи. Однако, это проблема со здоровьем, которую также надо решать вовремя.
Уздечка позволяет правильно выговаривать слова, красиво двигать губами, открывать и закрывать рот. При ее неправильном креплении у человека ухудшается подвижность губ, развиваются эстетические дефекты.
Короткая уздечка может стать причиной следующих последствий:
- У новорожденных плохо развивается сосательная функция. Так как у малышей верхняя губа и язык активно участвуют в сосании соски и пустышки, при нарушении ее подвижности вскармливать грудью становится просто невозможно.
- Неправильная постановка речи и произношение звуков и слов. При укороченной уздечке ребенку сложно произносить губные звуки и гласные. Стоит отметить, что после пластики этот дефект исправляется автоматически.
- У подростков могут нарушаться прикус и жевательные функции, что в свою очередь приводит к проблемам пищеварения.
- Может оттягиваться десна, что станет причиной развития десневого кармана, появлению зубного камня и развитию воспаления в деснах.
- Слабое и неправильное крепление зубов и их повышенная чувствительность из-за обнажения корневой системы.
- Скопление кусочков пищи и образование зубного налета.
Операцию по коррекции уздечки верхней губы стоит провести при ее неправильном расположении. Это в свою очередь позволит избежать проблем с развитием речи и правильному развитию коренных зубов.
Если не сделать пластику губы своевременно, то проблемная уздечка не даст зубкам правильно формироваться, в результате чего образуется большая щель между передними резцами. Малыша невозможно будет покормить грудью, так как из-за неразвитой функции сосания, грудь будет выскальзывать изо рта. Также эта складка будет мешать нормальному пережевыванию твердой пищи. Ребенок просто будет глотать большие куски пищи, что негативно скажется на пищеварительной системе.
Если пластику не сделать во время формирования молочных зубов, то впоследствии у ребенка будет неправильный прикус, передние резцы вытянутся вперед. Для исправления данного дефекта потребуется длительное и дорогостоящее лечение.
Сильное натяжение губы всегда приводит к дефектам речи. Ребенок не сможет правильно выговаривать некоторые звуки и будет их просто искажать по-своему. Переучить потом будет практически невозможно. Аномалия уздечки приводит к воспалительным процессам в полости рта. Все болезни зубов и рта будут постоянными спутниками ребенка.
- Маленьким детям операцию рекомендуется делать в возрасте от 2 до 6 месяцев, благодаря чему можно будет продолжить грудное вскармливание.
- Раньше в таком возрасте малышам не делали коррекцию уздечки, однако современная медтехника и новые методы хирургического вмешательства теперь позволяют это делать в столь маленьком возрасте безопасно и эффективно.
- Такую операцию проводят исключительно специалисты в детской стоматологии.
- Многие хирурги-стоматологи считают, что проводить пластику в младенческом возрасте нет смысла, так как риск при оперативном вмешательстве присутствует всегда.
Также благоприятным возрастом считается 6–9 лет, когда 4 передних резца есть вверху и внизу. В это время у ребенка формируется прикус, так как коренные зубы заменяют молочные. Лучше всего выбрать время для операции, когда центральные резцы уже прорезались, а боковых еще нет.
Когда боковые резцы появляются, они проталкивают центральные ближе друг к другу и щели между ними исчезает. В это время очень важно, чтобы уздечка уже была в нормальном состоянии.
Операцию по коррекции уздечки нельзя проводить при следующих заболеваниях:
- Проблемы со слизистой оболочкой рта.
- Остеомиелит, кариес и лучевое облучение головы.
- Церебральные болезни и дисморфофобия.
- Проблемы с психикой.
- Болезни крови и всевозможные инфекции.
- Хронические и онкозаболевания.
Пластика верхней губы у детей: виды операций и их суть
Пластика верхней губы у детей не требует специальной подготовки. Перед операцией проводят санацию ротовой полости, чтобы убрать все возможные источники инфекции. Иногда сдают общие анализы и делают флюорографию.
Однако можно обойтись и без этого, так как пластика уздечки считается малотравматичным хирургическим вмешательством. Если операцию делают малышу, тогда его необходимо покормить, так как голодным он будет сильно капризничать.
Одним из главных условий быстрой и эффективной операции является спокойное положение ребенка в кресле в течение четверти часа. Существует несколько видов операций по пластике. Все зависит от особенностей строения и крепления уздечки верхней губы.
- Френотомия — разрезание уздечки. Такую операцию делают при узкой уздечке пленочного вида. Рассечение делают поперечно и на разрез накладывают швы.
- Френэктомия — удаление уздечки. Проводят для удаления массивной уздечки. Разрез делают по всей уздечке, удаляют лишние ткани.
- Френулопластика — операция по перемещению места крепления уздечки верхней губы. Делается инфильтрационная анестезия, посередине уздечки делают вертикальный разрез. По обе стороны от него проводят еще два косых разреза. Эти ткани мобилизуются и фиксируются таким образом, чтобы основной разрез располагался в горизонтальном положении. Главное при этой операции приготовить ложе. Нельзя просто сшивать ткани между собой в пределах слизистой, так как это просто сделает натяжение слабее, но полностью решить проблему не получиться. Для принимающего ложе подслизистые ткани отслаивают от надкостницы и накладывают узловые швы на разрез.
Все операции должны проводиться исключительно в условиях амбулатории под местным наркозом.
Для накладывания швов используют рассасывающиеся нитки, которые не надо потом внимать. Процедура длится примерно четверть часа и не вызывают болевых ощущений и дискомфорта.
Недавно врачи начали практиковать лазерную пластику уздечки верхней губы, которая длится всего несколько минут. Для этой процедуры ребенку делают местную анестезию при помощи специального геля.
Когда анестезия подействует, на уздечку направляют световод лазера, направляющий луч света на определенное место. Этот луч удаляет уздечку, одновременно стерилизуя и запаивая края ранок.
У данного метода множество преимуществ:
- Прибор работает тихо и бесшумно, благодаря чему ребенок чувствует себя спокойно.
- Лазер не приводит к кровотоку.
- Не надо зашивать рану.
- Невозможно занести инфекцию, так как не используются хирургические инструменты, и лазер сразу же запаивает шов.
- Операция длится несколько минут.
- Не вызывает боли и не образовывает рубцы.
- Быстрое восстановление.
Чаще всего восстановление после пластики уздечки проходит быстро и без осложнений. Конечно, небольшая боль может ощущаться после того, как анестезия прекратит действовать. Но эти боли быстро проходят.
Чтобы восстановление прошло как можно лучше, необходимо:
- Каждый день следить за гигиеной полости рта.
- Пару дней не есть твердую и горячую еду.
- Через пару дней показаться врачу.
- Взрослым пациента рекомендуется делать миогимнастику.
В первое время будет немного непривычно от того, как свободно двигаются губы и язык. Со временем это чувство пройдет. Сразу после коррекции меняется звукопроизношение. А вот уже сформированный промежуток между зубами уберется не сразу, на это надо время.
Реабилитация длится примерно 4-5 дней. За это время ребенок полностью восстанавливается и привыкает к новому расположению уздечки во рту.
Пластика уздечки нижней губы у детей: особенности и показания
Главная проблема неправильного расположения уздечки — это воспаление. Сильное натяжение десны стягивает ее вниз, в результате чего корни зубов на нижней челюсти становятся открытыми и доступными для множества бактерий. На открытые корни моментально попадает инфекция, которая может привести к их выпадению. Помимо этого, из-за постоянного натяжения развивается некрасивый прикус, и нижняя челюсть сильно выпирает вперед. Чтобы избежать этих проблем, проводится пластика уздечки нижней губы у детей.
Важно
Необходимость операции должен определить логопед или ортодонт. Не стоит слушать соседей и родители, которым кажется, что у ребенка проблемы со здоровьем. Только опытный врач сможет поставить правильный диагноз и определить, надо ли хирургическое вмешательство или нет.
Медицинские показания по коррекции уздечки нижней губы, очень схожи с вышеперечисленными показаниями. Однако главная причина такого вмешательства — это избавление от заболеваний десен и зубов. Короткая уздечка нижней губы приводит к ретракции и может стать причиной гингивита, пародонтита и перикоронита. К тому же есть риск, что ребенок вовсе лишиться всех зубов.
Уздечка верхней и нижней губы должна быть в норме, как и все другие органы человека. Если обнаружено ее ненормальное положение или состояние, необходимо делать операцию. И лучше это делать в детском возрасте, пока еще у ребенка не сформировался прикус. Помните, что своевременное лечение позволит избежать многих проблем со временем.
Автор: Ростислав Валихновский
myplastica.ru
Пластика уздечки губы в Москве. Цены на пластику уздечки верхней и нижней губы. Отзывы, фото

Уздечки губ – это складки, сформированные слизистой оболочкой ротовой полости. Они служат дополнительным креплением губ к дёснам и поддерживают правильное положение губ. Хотя степень эластичности, размер и место крепления уздечек являются индивидуальными, существуют физиологические нормы. В некоторых случаях, если уздечка очень короткая или очень широкая, требуется делать её пластику.
Пластика уздечки губы – это несложное, но при этом очень эффективное оперативное вмешательство, позволяющее исправить и предупредить некоторые проблемы, имеющие отношение к внешнему виду и здоровью человека. Посмотреть, как изменилась внешность пациента после проведённой операции, можно на фото, размещённых ниже.
Кому рекомендована операция по пластике уздечки губы
Исправить патологию уздечки верхней губы возможно только хирургическим путём – никаким иным способом это нельзя сделать. Пластика уздечки верхней губы нужна, если наблюдаются такие осложнения:
- Нарушается функция сосания у грудничка. Неонатолог рекомендует проводить подрезание уздечки верхней губы у детей 2,5-6 месяцев, если эта патология мешает грудному вскармливанию. Верхняя губа ребёнка активно участвует в процессе сосания, а короткая уздечка мешает полноценно захватывать сосок.
- Нарушается жевательная функция (короткая уздечка не позволяет ребёнку нормально жевать, он заглатывает большие куски, что плохо отражается на состоянии органов пищеварения).
- Образуется диастема (промежуток между передними резцами) из-за того, что уздечка тянет верхнюю десну, не позволяя центральным резцам сомкнуться.
- Формируется неправильный прикус постоянных зубов: короткая уздечка оттягивает вперёд десну и зубы. Если не сделать пластику уздечки верхней губы у детей, когда формируются молочные зубы, то в будущем придётся заниматься долгим и дорогим лечением.
- Плохо развивается речь: очень сильное натяжение губы не позволяет произносить некоторые звуки.
- Формируется «десневой карман» (углубление между десной и зубом), что способствует отложению зубного налёта и камня, воспалению пародонта.
Видео с примерами пластики уздечки губ
Идеальным возрастом для пластики уздечки считается возраст с 5 до 9 лет. Нередко требуется пластика уздечки верхней губы у взрослых, чаще всего это происходит из-за недосмотра детских врачей, когда операция не была сделана вовремя.
Медицинские показания к выполнению пластики уздечки нижней губы похожи на показания к подрезанию уздечки верхней губы, но основной причиной для такого хирургического вмешательства служит предупреждение заболеваний пародонта. Короткая уздечка нижней губы очень сильно натягивает десну, из-за чего она опускается вниз, открывая корни зубов и провоцируя развитие болезней, которые могут привести к полной утрате зубов. Сильное натяжение способствует формированию неправильного прикуса, когда челюсть «подаётся» вперёд.
Противопоказания к пластике уздечки губы
Основными противопоказаниями к проведению данной операции являются:
- заболевания крови;
- обострение инфекционных заболеваний;
- онкологические болезни;
- период обострения болезней слизистой оболочки рта;
- множественный кариес;
- коллагенозы, склонность к образованию келоидных рубцов;
- психические болезни.
Фото с примерами пластики уздечки губ
Как делают пластику уздечки губы в Группе клиник «Центр эстетической стоматологии»
Исходя из того, какая именно присутствует патология, врач может делать такие манипуляции:
- френотомиюрассечение, подрезание уздечки верхней губы
- френэктомиюиссечение, частичное удаление уздечки верхней губы
- френулопластикуперемещение места закрепления уздечки
Пластика уздечки губы может быть выполнена двумя методами: классическим, когда хирург работает скальпелем, или же с применением лазера.
Применение лазера имеет некоторые преимущества перед традиционным методом:
- бескровность;
- высокая антисептичность;
- безболезненность.
Оценить эффективность пластики уздечки губы лазером поможет видео с операции. Но в особенно сложных случаях лучше воспользоваться классическим методом.
Фото примеров работ пластики уздечки губы До и После
Преимущества проведения операции в Группе клиник «Центр эстетической стоматологии»
Лечение в наших клиниках имеет ряд преимуществ:
- Индивидуальный подход.
- Оперативность оказания услуг: у нас нет очередей, можно записаться на приём в удобное для себя время.
- Безопасность – манипуляции проводятся с соблюдением санитарно-гигиенических норм.
- У нас вполне доступные цены. Чтобы убедиться в этом, вы можете просмотреть стоимость услуги по пластике уздечки в прайс-листах других клиник.
Если у вас ещё остались сомнения – посмотрите фото наших пациентов до и после операции и почитайте их благодарные отзывы.
Возможно Вам будет интересно
Вопросы по пластике уздечки губы
Как проходит послеоперационный период после пластики уздечки скальпелем?
На месте проделанной операции остаются швы, рассасывающиеся приблизительно через неделю. Пару дней придётся ограничивать себя в употреблении жёсткой пищи. Уже спустя неделю можно будет вести обычный образ жизни.
К проведению пластики уздечки нижней губы требуется какая-то подготовка?
Специальная подготовка не нужна. Обязательной является санация ротовой полости, так как наличие источника инфекции способно спровоцировать развитие осложнений.
www.impl.ru
Пластика уздечки верхней губы: всё об операции
Залогом красивой улыбки являются не только правильной формы ослепительно белые зубы и очаровательного вида губки. Вовремя устраненные в детстве недостатки ротовой полости гарантируют отсутствие эстетических и психологических проблем в чувствительном подростковом или юношеском периоде и серьезных комплексов во взрослой жизни. Так называемая десневая, или «лошадиная» улыбка может быть результатом непрооперированной в младшем детском возрасте уздечки верхней губы.
Уздечки губ – это небольшие кожные перемычки, соединяющие губу с десной. Обычно они располагаются выше корня зуба. Однако, как нет одинаковых людей, так и эта маленькая физиологическая деталь ротовой полости отличается у каждого человека. Функционально уздечки предназначены для удержания губ в правильном положении и креплении губы к десне. Нарушение расположения уздечки губы, слишком широка или аномально короткая уздечка являются не только вопросом эстетического порядка, но и функционально ограничивают возможности губ, десен и зубов, повышают риск заболеваний пародонта (тканей, окружающих зуб), других грозных стоматологических болезней, и формируют неправильный прикус.

Показания к пластике уздечки верхней губы
Пластика уздечки верхней губы проводится в подавляющем большинстве случаев в детском возрасте. Мнения специалистов по поводу минимального детского возраста, с которого можно делать эту операцию, расходятся. Некоторые хирурги-стоматологи не видят ничего страшного, чтобы провести эту операцию в младенческом возрасте, а другие делают её, начиная исключительно с 6-7-ми летнего возраста пациента. Существует также распространенное мнение, что пластика уздечки верхней губы, сделанная в младенчестве, переносится легко и предотвращает массу осложнений, которые могут развиться из-за дефекта во взрослом возрасте. В любом случае, этот вопрос надо решать с квалифицированным врачом.
У грудных детей с короткой уздечкой верхней губы могут возникать проблемы кормления, которые являются причиной беспокойства младенца, и сильно утомляют мать. После прорезывания зубов дефект уздечки провоцирует появление неэстетичной щели между зубами.
Пластика уздечки верхней губы рекомендуется при неправильном прикусе, виной которого она является. Исправлять во взрослом периоде прикус гораздо болезненнее и дороже, чем сделать операцию в подходящем возрасте.
Кроме проблемы прикуса дефект уздечки верхней губы способствует развитию речевого отставания, поскольку звуки произносятся неправильно, ребенок шепелявит, а вмешательство логопеда не принесет положительных результатов, пока не будет исправлен врожденный дефект.
Операция по коррекции уздечки помогает избавиться от физиологического недостатка, который становится виновником частых стоматологических проблем и развития болезней. Неправильная уздечка отстает от коронковой части зуба и в образовавшемся углублении откладывается камень и развиваются инфекционные заболевания.
Изменения в организме, связанные с расстройством жевательной функции вследствие дефектов уздечки верхней губы, являются прямым показанием к пластике уздечки верхней губы в младенческом возрасте. К сожалению, родители часто боятся оперировать маленьких детей или пускают ситуацию на самотек. Результатом подобного попустительства являются многочисленные приобретенные проблемы и заболевания в более взрослом периоде.
Как проводится операция
Пластика уздечки верхней губы – операция несложная. Однако, некоторые врачи низкой квалификации для отделения уздечки от десны осуществляют действия, не имеющие ничего общего с правильным подходом. Известны многие случаи, когда уздечки просто перерезали ножницами или отделяли уздечку в неправильном месте – у альвеолярного отростка. Это считается грубым нарушением и чревато осложнениями, в том числе физиологического порядка.
Квалифицированный врач порекомендует пройти перед операцией стандартное обследование, сдать необходимые обычные анализы. Сбор анамнеза не является необходимым, однако лучше, если ребенок или взрослый пациент будут застрахованы от возможных осложнений.

Требуемый необходимый минимум перед пластикой уздечки — это полная санация полости рта, то есть, все проблемные зубы должны быть залечены во избежание инфицирования полости рта после операции.
Операция проводится под местной инфильтрационной анестезией и занимает от 15 минут до получаса. Госпитализация не требуется, достаточно амбулаторных условий. Пациентами операция переносится легко, вне зависимости от возраста. Заживление слизистой происходит легко и безболезненно.
Операция по коррекции уздечки может проводиться одним из трех способов. Уздечку могут рассекать, и тогда эта операция называется френотомия. К ней прибегают при чересчур узкой уздечке, не имеющей места крепления к альвеолярному отростку. Удаление части уздечки практикуется при широкой уздечке. Это операция френэктомия. А изменения места крепления уздечки называется френулопластикой. Она имеет два метода — Y-образный и Z-образный, где форма разреза повторяет соответствующую буквам Y или Z форму. Пластика уздечки верхней губы завершается накладыванием рассасывающихся швов, что не требует повторного обращения к врачу для их удаления.
Применяемые при операции инструменты различны. Существует два метода – скальпельный (классический) и лазерный. Лазерный метод считается наиболее современным и безопасным, поскольку гарантирует более быстрое, по сравнению с классическим методом, заживление тканей и отсутствие осложнений. Лазерный метод практически не дает кровопотерь, что особенно важно при операциях в грудном и детском возрасте. Отсутствие звуков и вибрации, пугающих детей, – еще один аргумент в пользу применения лазера при пластике уздечки верхней губы.
Таким образом, операция проходит максимально комфортно при наличии удовлетворительных условий содержания клиники и высокой квалификации врача.
Реабилитация и ограничения после операции
К восстановительным процедурам относится строгая регулярная гигиена полости рта до полного заживления прооперированной области. Обычно назначают полоскание для детей более сознательного возраста или орошение полости рта в случае совсем маленьких детей и грудничков.
К ограничениям относится прием слишком горячей или раздражающей слизистые оболочки пищи, прием разжижающих кровь препаратов и алкоголя. Рекомендуется наблюдаться у хирурга в течение недели – двух при наличии жалоб или дискомфорта.
Чтобы уздечка верхней губы «привыкла» к своей новой форме или положению, врач назначает специальную мимическую гимнастику для активации кровообращения и прорастания прооперированной уздечки сосудами и нервами, а также для скорейшей разработки мышц этой области.
Противопоказания к пластике уздечки верхней губы
Пластика уздечки верхней губы не проводится при наличии болезней крови, заболеваниях полости рта, обострении инфекционных заболеваний, аутоиммунных заболеваниях и онкологии. Противопоказаниями к операции являются также психические заболевания и склонность к образованию гипертрофированных рубцов.
medgel.ru
Пластика уздечки верхней губы — цены от 700 руб. в Москве, 771 адрес
Все
Автозаводская Академическая Александровский Сад Алма-Атинская Багратионовская Библиотека имени Ленина Битцевский парк Ботанический сад Братиславская Бульвар Адмирала Ушакова Бульвар Дмитрия Донского Бульвар Рокоссовского Бунинская аллея Верхние Котлы Верхние Лихоборы Водный Стадион Волгоградский Проспект Волоколамская Воробьевы горы Выставочный центр Деловой центр Домодедовская Кантемировская Комсомольская Красногвардейская Краснопресненская Красносельская Красные Ворота Крестьянская застава Кропоткинская Кузнецкий Мост Ленинский Проспект Лермонтовский проспект Ломоносовский проспект Международная Менделеевская Нахимовский Проспект Нижегородская Новокузнецкая Новослободская Новохохловская Новоясеневская Новые Черёмушки Октябрьское Поле Парк Культуры Петровский парк Петровско-Разумовская Площадь Гагарина Площадь Ильича Площадь Революции Преображенская Площадь Проспект Вернадского Проспект Мира Пятницкое шоссе Речной Вокзал Рязанский Проспект Севастопольская Славянский бульвар Соколиная Гора Сретенский Бульвар Тимирязевская Третьяковская Улица Академика Королёва Улица Академика Янгеля Улица Горчакова Улица Милашенкова Улица Сергея Эйзенштейна Улица Скобелевская Улица Старокачаловская Филевский Парк Цветной Бульвар Шоссе Энтузиастов ЭлектрозаводскаяРайоны Москвы
Академический
Алексеевский
Алтуфьевский
Арбат
Аэропорт
Бабушкинский
Балашиха
Басманный
Беговой
Бескудниково
Бибирево
Бирюлёво-Восточное
Бирюлёво-Западное
Богородское
Братеево
Бронницы
Бутырский
Вешняки
Власиха
Внуково
Внуковское
Войковский
Волоколамск
Вороново
Воскресенск
Воскресенск
Восточное Дегунино
Восточное Измайлово
Восточный посёлок
Восход
Выхино-Жулебино
Гагаринский
Головинский
Гольяново
Даниловский
Десёновское
Дзержинский
Дмитров
Дмитровский
Долгопрудный
Домодедово
Донской
Дорогомилово
Дубна
Егорьевск
Железнодорожный
Жуковский
Замоскворечье
Западное Дегунино
Зарайск
Звёздный городок
Звенигород
Зюзино
Зябликово
Ивановское
Ивантеевка
Измайлово
Истра
Капотня
Кашира
Киевский
Китай-Город
Клёново
Климовск
Клин
Кокошкино
Коломна
Коньково
Коптево
Королёв
Косино-Ухтомский
Котельники
Котловка
Красная Пахра
Красноармейск
Красногорск
Краснознаменск
Красносельский
Крылатское
Крюково
Кузьминки
Кунцево
Куркино
Левобережный
Ленинский район
Лефортово
Лианозово
Лобня
Ломоносовский
Лосино-Петровский
Лосиноостровский
Лотошино
Луховицы
Лыткарино
Люберцы
Люблино
Марушкино
Марфино
Марьина Роща
Марьино
Матушкино
Метрогородок
Мещанский
Митино
Михайлово-Ярцевское
Можайск
Можайский
Молжаниновский
Молодёжный
Москворечье-Сабурово
Московский
Мосрентген
Мытищи
Нагатино-Садовники
Нагатинский затон
Нагорный
Наро-Фоминск
Некрасовка
Нижегородский
Ново-Переделкино
Новогиреево
Новокосино
Новофёдоровское
Ногинск
Обручевский
Одинцово
Озёры
Орехово-Борисово Северное
Орехово-Борисово Южное
Орехово-Зуево
Останкинский
Отрадное
Очаково и Матвеевское
Очаково-Матвеевское
Павловский Посад
Первомайское
Переделкино
Перово
Печатники
Подольск
Покровское-Стрешнево
Преображенское
Пресненский
Проспект Вернадского
Протвино
Пушкино
Пущино
Раменки
Раменское
Реутов
Рогово
Ростокино
Рошаль
Руза
Рязановское
Рязанский
Савелки
Савеловский
Свиблово
Северное Бутово
Северное Измайлово
Северное Медведково
Северное Тушино
Северный
Сергиев Посад
Серебряные Пруды
Серпухов
Силино
Сокол
Соколиная Гора
Сокольники
Солнечногорск
Солнцево
Сосенское
Старое Крюково
Строгино
Ступино
Таганский
Талдом
Тверской
Текстильщики
Тёплый Стан
Тимирязевский
Троицк
Тропарево и Никулино
Тропарёво-Никулино
Филёвский Парк
Фили и Давыдково
Фили-Давыдково
Филимонковское
Фрязино
Хамовники
Химки
Ховрино
Хорошево-Мневники
Хорошевский
Царицыно
Черёмушки
Черноголовка
Чертаново Южное
Чертаново-Северное
Чертаново-Центральное
Чехов
Шатура
Шаховская
Щапово
Щёлково
Щербинка
Щукино
Электрогорск
Электросталь
Южное Бутово
Южное Медведково
Южное Тушино
Южнопортовый
Якиманка
Ярославский
Ясенево
Новая Москва
Московская область
www.krasotaimedicina.ru
Пластика уздечки губ и языка у ребенка
Практически каждый родитель рано или поздно задается вопросом: а так ли необходимо подрезать уздечку у ребенка? Чтобы на него ответить и принять правильное решение, нужно понимать, что собой представляет процедура подрезания уздечки у ребенка, как она делается и чем грозит, если ее не делать.
Начнем с того, что у человека есть три вида уздечек:
- Уздечка верхней губы – это эластичная складка слизистой оболочки полости рта, которая поддерживает верхнюю губу в правильном положении. Она соединяет между собой верхнюю губу с верхней десной.
- Уздечка нижней губы – это такая же эластичная складка, которая поддерживает нижнюю губу в правильном положении и соединяет нижнюю десну с нижней губой.
- Уздечка языка – это соединительная складка между нижней частью языка и дном ротовой полости.
Каждая из них выполняет свою собственную роль и отвечает за формирование прикуса и даже характер улыбки.
Когда уздечка в норме
Длина уздечек, их расположение и эластичность индивидуальны для каждого человека. Но все же существуют определенные физиологические нормы.
– При правильном расположении уздечка верхней губы вплетается в десну посередине в 5-7 мм от шейки зубов. Уздечка нижней губы должна быть тонкой и располагаться на центральной линии, ниже шейки нижних резцов. Считается, что короткая толстая уздечка в молочном прикусе – это вариант нормы, – рассказывает врач стоматолог-хирург, заведующая хирургическим отделением Центра Стоматологии «АСТРЕЯ» Лилия Витальевна Жовноватюк.
Когда требуется коррекция
Коротая уздечка – это довольно распространенная патология, которая встречается у детей. Безусловно, это влечет за собой появление целого ряда различных проблем:
– трудности при сосании груди в младенческом возрасте – малыш очень долго кушает, быстро устает во время еды и капризничает;
– проблемы с дикцией с момента, когда ребенок начинает говорить, – он не может выговорить звуки «д», «л», «н» и «т»;
– формирование неправильного прикуса;
– затруднения при гигиене полости рта – из-за скопления остатков пищи.
Показания для проведения операции
Если уздечки губ слишком короткие (вплетаются в межзубный сосочек), широкие или недостаточно эластичные, то их корректируют только хирургическим путем. Показания для подрезания верхней или нижней губы определяет только пародонтолог или ортодонт.
Уздечка языка корректируется в случае, если:
1. Ребенок не может кушать из-за того, что язык поднимается совсем немного или вообще лежит на дне ротовой полости.
2. Ребенок теряет в весе.
3. Младенец не может правильно захватить сосок.
Существует оптимальный возраст для проведения пластики уздечек верхней и нижней губ – от 6 до 9 лет. К этому времени прорезываются постоянные резцы на верхней и нижней челюсти. В более раннем возрасте проводить коррекцию не рекомендуется, так как с ростом ребенка уздечка меняет свое расположение по отношению к сосочку.
Операцию проводят классическим хирургическим образом либо с помощью лазера. Для каждого вида есть свои показания, поэтому, каким образом проводить операцию, решает только врач стоматолог-хирург.
Подрезание уздечки верхней губы.
Происходит в возрасте 6-8 лет, когда молочные зубы выпадают, а им на смену приходят постоянные. До этого времени подрезать уздечку нельзя. Кроме того, укороченная уздечка постоянно тянет десну, что в итоге приводит к щели между передними зубами (диастеме) и, естественно, становится причиной формирования неправильного прикуса. Диастема может быть и наследственной, в таком случае ее можно устранить только с помощью ортодонтического лечения.
Операция занимает несколько минут и проходит при местной анестезии.
Подрезание уздечки нижней губы
Проводится, только когда есть постоянные зубы и только по показаниям пародонтолога или ортодонта.
Подрезание уздечки языка.
Как правило, данную патологию у новорожденного ребенка обнаруживают и устраняют еще в роддоме либо в возрасте до 1,5 месяца. Не переживайте по этому поводу: в уздечке языка нет ни нервных окончаний, ни кровеносных сосудов, поэтому данная операция, которая длится буквально несколько секунд, абсолютно безболезненна и бескровна. После операции ребенка сразу прикладывают к груди. Материнское молоко содержит много иммуноглобулина, что способствует быстрому заживлению. И ребенок сразу привыкает к правильному положению языка. А вот если операцию не сделать, то малыш столкнется с массой проблем, первой из которых будет кормление: он физически не сможет правильно взять грудь, и грудное вскармливание станет практически невозможным. Кроме того, в будущем это отразится на произношении многих звуков, и подрезание уздечки все равно придется сделать. А так как с возрастом дети становятся активнее и непоседливее, резкое движение головой, когда во рту скальпель, может привести к серьезным травмам. Врачи советуют или сделать операцию под общим наркозом, или отложить до 6 лет.
Основные правила подготовки к операции
1. Полная санация полости рта.
2. Ребенок здоров, он не болеет острыми респираторными заболеваниями.
3. Слизистая абсолютно чистая, нет никаких стоматитных высыпаний.
– Перед проведением операции я рекомендую сдать общий анализ крови и анализ крови на свертываемость. Это делается для того, чтобы знать, как быстро у ребенка сворачивается кровь, и понимать, сколько времени нужно наблюдать пациента после проведения операции, – рассказывает Лилия Витальевна.
Если ребенок наблюдается у узких специалистов, особенно если есть заболевания крови или онкологические заболевания, то потребуется их заключение.
Как вести себя после операции
1. Исключить жесткую пищу на 2-3 дня после проведения операции.
2. Тщательно проводить гигиену полости рта.
3. После пластики уздечки языка делать специальные упражнения на растяжку уздечки, чтобы избежать образования послеоперационных рубцов.
– Родителям важно понимать, что пластика уздечек не является панацеей в случае, если ребенок не говорит. Она только освобождает верхнюю губу, нижнюю губу или язык, – отмечает Лилия Витальевна. – Бывают ситуации, когда уздечка не короткая, а чуть коротковатая, и в процессе роста ребенка она растягивается. Логопеды успешно работают с такими детьми.
astreja.ru
