Вальгусная деформация большого пальца стопы – лечение без операции
Вальгус и варус
Вальгусная деформация большого пальца стопы — весьма распространенное заболевание у пожилых людей, но также встречается и у детей. Оно причиняет массу неприятных ощущений, поскольку изменение формы ступни приводит к невозможности носить обувь. При отсутствии лечения патологические процессы лишь усугубляются, боли становятся постоянными. Без операции обойтись можно только при своевременном начале терапии. Для предотвращения дальнейшего развития отклонения сустава используют комплекс мер.
1
Суть патологии
Вальгусная деформация стопы — патологическое искривление сустава большого пальца внутрь стопы и выход наружу первой плюсневой кости. Из-за этого страдают все остальные костные элементы, связки и сухожилия, поскольку неправильно распределяется нагрузка на ногу.

Метод и способ лечения зависит от тяжести заболевания. В запущенных случаях эффективно только хирургическое вмешательство. Если пациент обращается к врачам своевременно, то обходятся без операции. Распознать развивающуюся вальгусную деформацию можно по следующим характерным признакам:
- наклон большого пальца к другим фалангам;
- образование небольшой косточки сбоку с внутренней стороны стопы;
- болезненность от обуви;
- появление мозолей;
- отек и покраснение кожного покрова в области воспаления околосуставной сумки;
- изменение формы стопы.
Важным при лечении является причина вальгусной деформации. Существует большое количество факторов, которые могут способствовать изменению формы стопы. Выделяют следующие:
- плоскостопие поперечного типа;
- травмы;
- косолапость;
- избыточный вес;
- генетическая предрасположенность;
- ношение неправильно подобранной обуви.
Эта патология более характерна для женщин, поскольку они нередко носят узко-модельную обувь на высоких, неустойчивых каблуках. Это провоцирует излишнюю нагрузку на переднюю часть ступни. Длительный дисбаланс приводит к развитию вальгусной деформации.
У детей это заболевание может быть приобретенным или врожденным. В большинстве случаев дефект стопы у них развивается на фоне искривления среднего отдела стопы, разворота пальцев наружу или хромоты. Вальгусная деформация у ребенка может протекать с отечностью ног, болями и судорогами.
Нельзя оставлять эти признаки без внимания. При отсутствии адекватного лечения могут возникнуть серьезные осложнения: сколиоз, утолщение головки кости, бурсит и т. д.
Как правильно выбрать ортопедическую обувь для детей при вальгусной деформации стопы?
2
Методы лечения
На ранних стадиях развития болезни эффективно используют консервативные методы терапии. Лечебные мероприятия включают:
- физиотерапию;
- массаж;
- лечебную гимнастику;
- медикаменты.
Способ и схема лечения определяется степенью заболевания.
| Степень вальгусной деформации | Градус искривления | Особенности лечения |
|---|---|---|
| Первая | до 15 градусов | Для эффективного лечения достаточно использовать специальную гимнастику. Осложнения развиваются в редких случаях |
| Вторая | от 15 до 35 градусов | У пациента серьезно нарушается кровообращение в стопе, возникают сильные боли, потому требуется медикаментозное лечение |
| Третья | более 35 градусов | Консервативные методы неэффективны, потому требуется хирургическое вмешательство. |
В качестве профилактики при развивающейся вальгусной деформации стопы следует правильно расслаблять ноги после длительных нагрузок на них. Делают это путем принятия горизонтального положения, причем стопы должны быть возвышены над головой и всем туловищем. Так лежат на протяжении 15-20 минут каждый вечер, после чего ноги опускают в прохладную воду.
При лечении важно снять излишнюю нагрузку с ног. Для этого рекомендуется нормализовать вес тела, если он избыточен. Кроме того, из рациона необходимо исключить жареные и острые блюда, копченое и сладости. Они стимулируют воспалительные процессы, потому отказ от этих продуктов скажется положительно на состоянии суставов стоп. Рекомендуется больше употреблять пищу, богатую на витамины A, E, C.
Эффективные способы лечения вальгусной деформации стопы у взрослых
2.1
Физиотерапия
Для лечения вальгусной деформации используют такие физиотерапевтические процедуры, как диатермия и ультразвук. Стоит отметить, что эффект от этих мероприятий временный.
При диагностировании патологии у детей могут назначить электрофорез с кальцием. Эта процедура позволяет целенаправленно насытить костную ткань стопы у ребенка одним из необходимых элементов для правильного формирования костей и суставов.
Почему растет косточка на ноге у большого пальца и как с этим бороться
2.2
Массаж
Массаж при вальгусной деформации выполняется после правильной и тщательной подготовки. Суть ее заключается в распаривании шишек на ногах теплыми ванночками. Для этого можно использовать мази с согревающим эффектом, после чего расположить ноги на подушке или валике.
Массировать стопы нужно ежедневно, причем следует соблюдать определенную последовательность движений:
- 1. Сначала растирают ладонями ступни, после чего переходят на фаланги пальцев (всех без исключения).
- 2. Затем выполняются круговые движения пальцами в подошвенной части. Большое внимание необходимо уделить нижнему своду, в области которого кожа бывает более грубой из-за наличия мозолей. В этой зоне массирование осуществляют интенсивнее.
- 3. Далее переходят к точечному воздействию на стопы, уделяя внимание пяткам. Эта зона ступней также наиболее толстая и грубая, потому массирование ее дается труднее. После того как ступни полностью разогреты, приступают к основному массажу.
- 4. Нужно обхватить свод стопы ладонью, зафиксировать четырьмя пальцами. Большим пальцем давят на ступню и двигают его по подошве вверх-вниз, после чего делают круговые движения вокруг косточки.
Простым массажем исправить форму стопы нельзя, но он позволяет снять болевые ощущения и улучшить состояние суставов. Если же массирование привело к возникновению боли в стопах, то следующие сеансы проводят с меньшей силой и более мягкими поглаживающими движениями.
После массажа растирают икроножные мышцы, выполняя круговые движения. Нельзя воздействовать на область под коленями, поскольку в ней кровеносные сосуды проходят под поверхностью кожи. Затем нужно дать ногам отдохнуть и обеспечить отток крови от стоп. Для этого ложатся на спину, подложив под голень валик или подушку.
Несмотря на то что массаж стоп в домашних условиях не имеет противопоказаний, все же следует проконсультироваться с лечащим врачом.
2.3
Ортопедические приспособления
В качестве консервативных мер, направленных на выправление деформированной стопы, рекомендуют использовать специальные ортопедические приспособления. К таковым относят:
- стяжки;
- стельки;
- ночной корректор;
- ортопедическая шина.
Лечебные стельки изготавливают для каждого пациента индивидуально. Они направлены на снятие основной нагрузки с больного сустава и на возвращение стопе амортизирующих свойств.
Для выравнивания фаланги пальцев и уменьшения угла деформации применяют специальные супинаторы и перегородки. Обычно используют ночной корректор, который позволяет удержать большой палец в правильном положении.

Ночной бандаж
Для постоянного ношения изобретены ортопедические шины, которые позволяют зафиксировать смещенный палец в неподвижном состоянии и со временем выравнивают форму стопы.

Ортопедическая шина, которую можно носить постоянно
Для успешного лечения необходимо носить удобную обувь. Она должна быть комфортной, изготовлена из мягких натуральных материалов, иметь широкий носок и каблук не выше 4-5 см.
2.4
Мази и кремы
При длительной неправильной нагрузке на стопы существует риск развития артроза. Для подавления воспалительных процессов в суставе большого пальца при вальгусной деформации стопы используют специальные мази.
Рекомендуют следующие средства:
- 1. Акулий жир. Он полезен тем, что способствует защите от различных инфекций и стимулирует восстановление тканей. Эти мази улучшают обменные процессы, ускоряют восстановление клеток, причем эффективно подавляют воспалительные процессы. Кроме того, благодаря экстракту лавра, сирени, маслу лаванды, можжевельника они обладают другими полезными свойствами — уменьшают количество солевых отложений, снимают болезненность, возвращают подвижность пальцу, оказывают согревающий эффект, восстанавливают эластичность хрящевой ткани. Каждый день нужно втирать небольшое количество крема в шишку до полного впитывания в кожу.
- 2. Вальгус Стоп. Крем изготовлен на основе содержимого желчных пузырей свиней и крупного рогата скота, которое оказывает противовоспалительное и обезболивающее действие. Благодаря глицерину все биологически активные вещества доставляются вглубь пораженных тканей, смягчают огрубевшую кожу. Содержание пальмового масла способствует повышению тонуса сосудов, экстракта арники — восстановлению и питанию тканей. Салициловая кислота помогает избавиться от мозолей, а масло мяты улучшает кровообращение в деформированном суставе. Даже после одноразового применения Вальгус Стоп заметен результат. Для предотвращения дальнейшей деформации средство рекомендуется использовать регулярно. Его мажут 1 раз в день легкими массирующими движениями.
- 3. Мазь Маклюра. Ее состав частично идентичен предыдущему средству. Отличает ее содержание экстракта ромашки, который оказывает противовоспалительное, ранозаживляющее и антиаллергическое действие. Она отлично снимает отек и раздражение. Мазь используют на протяжении одного месяца, наносят тонким слоем на пораженный сустав 1-2 раза в день. При необходимости курс лечения повторяют спустя месячный перерыв.
- 4. Артро-хвоя. В составе этого крема содержатся пихтовое масло и экстракт пихты, масло сабельника, экстракты красного перца и лопуха. Средство обладает болеутоляющим, восстанавливающим, противовоспалительным действием. При болевом синдроме крем намазывают на деформированный сустав 2 раза в день. После того как состояние пациента облегчается, переходят на схему с одним применением в сутки.
2.5
Упражнения
Для ускорения процесса заживления пораженного сустава и закрепления результатов рекомендуют специальные упражнения. Они позволяют укрепить мышцы и своды стопы.
Дома можно использовать следующий комплекс упражнений:
- 1. Лечь на спину, приподнять согнутые в коленях ноги до перпендикулярного к полу положения. Нужно выполнять движения, напоминающие кручение педалей велосипеда. При этом носок следует оттягивать вперед, когда нога движется от себя, и тянуть назад при ее движении в обратном направлении. Упражнение выполняют 8-10 раз.
- Нужно сесть на полу, опереться руками сзади, а ноги вытянуть. Выполнять следующие действия (по 6-8 раз):
- поочередно сгибать и разгибать обе ноги в голеностопах;
- активно развести пальцы на ногах, задерживаясь в таком положении на несколько секунд;
- сжимать пальцы и разжимать их в стороны.
- 3. Сесть на стул. Необходимо передвигать стопы, опираясь только на пальцы. Так называемое упражнение»гусеничка» выполняется до 8 движений вперед и назад.
- 4. Исходное положение — такое же. Нужно зажать ручку или карандаш между первыми двумя пальцами на ногах. С помощью них можно попробовать порисовать на листе бумаги простые фигуры (круг, квадрат, треугольник). Это упражнение потребует значительных усилий и подвижности суставов пальцев.
- 5. Нужно встать на ноги. Выполняют поочередную ходьбу на носках, подняв руки вверх, и на пятках, расположив руки на боках. При выполнении этого упражнения нельзя опираться на внутренние края стопы.
Есть другое эффективное упражнение, которое можно выполнять отдельно от комплекса. Нужно сесть на пол или стул, вытянуть прямые ноги. В таком положении тянут на себя сначала голеностоп до упора, потом, не сгибая его, тянут большой палец ноги. Во время действия необходимо чувствовать сустав. Другое упражнение — вытянуть стопы максимально и сгибать пальцы, делая акцент на большом.
Существуют и более простые способы тренировки суставов больших пальцев стоп. Для этого нужно чаще ходить босиком, особенно по гальке, траве в летнее время. Во время просмотра телевизора и чтения книги можно катать стопами бутылку или специальный шипованный мячик. Однако, это нельзя делать при поперечном плоскостопии.
2.6
Народная медицина
К медикаментозному лечению дополнительно можно использовать средства из народной медицины. Они способствуют снятию симптомов и оказывают легкий противовоспалительный эффект.
Для устранения болевого синдрома рекомендуют следующие способы:
- 1. Смешать между собой 5 капель скипидара, по ложке морской соли и красной лечебной глины, стакан воды. Массу приложить к больному и деформированному суставу. Смыть глиняную смесь теплой водой с мылом. Процедуру повторять в течение недели 2 раза в день.
- 2. Нужно взять свежую речную рыбу (не замороженную) и очистить ее от косточек. Филейную часть рыбы приложить к воспаленной ноге и зафиксировать бинтом. Компресс стоит накладывать перед сном, а наутро снимать его. После аппликации больное место растирают пихтовым маслом.
- 3. Необходимо две ложки соли растворить в стакане кипятка. В полученном растворе пропитать марлю и приложить ее к стопе, сверху забинтовать. Компресс оставить на несколько часов. Такую процедуру выполняют 2-3 раза в день, причем во время нее желательно находиться в лежачем или сидячем положении, чтобы не оказывать нагрузку на стопы.
- 4. Взять лимон, выжать из него сок и смешать с йодом в пропорции 2:1. В полученную смесь добавить 2 растолченные таблетки аспирина. Массу наносят в виде компресса, сверху накрывают целлофаном и фиксируют повязкой. Лечение осуществляют по схеме 3 дня терапии/неделя отдыха.
- 5. Тщательно вымыть ноги и вытереть их насухо. Косточку смазать камфорным маслом, а искривленную область стопы обработать йодом. Эту процедуру выполняют перед отходом ко сну каждый день.
- 6. Ванночки с травяными настоями. Можно использовать ромашку, зверобой и корни лопуха.
- 7. Ножные ванны с прохладной водой. В нее добавляют йод и морскую соль.
- 8. Взять кусочек размягченного прополиса, нанести на выпирающий сустав и сверху наложить бинт.
- 9. Натирать хозяйственным мылом, одновременно выполняя массирование воспалившегося сустава в течение 5-7 минут. После этого мыло смыть, ногу высушить и обработать йодом.
Методы народной медицины должны лишь дополнять медикаментозную терапию и другие способы из консервативного лечения. Стойкий результат от них достигается только после длительного курса — до 2-3 месяцев.
spina-health.com
ТОП методов лечения и причины появления
Появление шишки возле большого пальца ноги говорит о неправильном росте костей. Данное заболевание называется вальгусная деформация стопы и требует обязательного лечения. Такая болезнь проявляется не только возникновением уплотнений, но и сильной болью. Если болит косточка на большом пальце, а человек испытывает дискомфорт во время ходьбы, то следует обратить внимание на здоровье. Болевые ощущения сигнализируют о нарушениях в работе связок, костной ткани, сухожилий и суставов. На фоне вальгусной деформации нередко появляются и другие заболевания, например, артрозы плюснефаланговых суставов, бурситы в хронической форме, плоскостопие поперечного или комбинированного вида и другие отклонения. Поэтому, так важно узнать причины и лечение болезни.
Почему растут косточки на пальцах
Часто заболевание появляется у женщин, в то время, когда мужской пол вальгусная деформация стопы обходит стороной. Объяснить это просто: женщины предпочитают удобной обуви красивые узкие туфли на высоком каблуке, даже если болят косточки на больших пальцах. При регулярной носке можно заметить шишки на ногах. Если закрыть на эту проблему глаза, постепенно вальгусная стопа продолжает деформироваться и доставлять боль человеку.
Мнение эксперта
Александр Витальевич
Врач общей практики
Задать вопрос экспертуМужчины, выбирающие узкую обувь, могут также заметить деформацию стопы.
Во время носки маленькой обуви происходит искривление стопы в неестественное положение. Частое пребывание ноги в неправильном положении приводит к вырастанию косточки на мизинце ноги.Помимо неудобной обуви, есть и другие причины. Большая часть специалистов говорит о высоком содержании мочевой кислоты в крове, которая нарушает пуриновый обмен. Далее в суставах и хрящах откладываются небольшие кристаллики кислоты. Повышение уровня мочевой кислоты может произойти из-за приема определенных препаратов, питания, стресса и тяжелого физического труда.
Ряд причин, по которым может появиться на ноге косточка:
- лишний вес;
- ушибы и переломы;
- нехватка кальция;
- длительное стояние на ногах;
- вынашивание ребенка и нарушения гормонального фона;
- наследственная предрасположенность;
- возраст после 60 лет.
Мнение эксперта
Александр Витальевич
Врач общей практики
Задать вопрос экспертуТакже косточка на большом пальце ноги может появиться и из-за ряда других болезней.
К ним можно отнести сахарный диабет, артрит, остеоартроз, подагру, заболевания щитовидной железы и климакс.Возраст заболевания
Большинство людей сталкивается с данным заболеванием после 40 лет. Примерно в этом возрасте в организме человека происходят определенные изменения, влияющие на появление шишки на ноге. У женщин можно отнести к таким изменениям менопаузу и нарушение обмена веществ. Искривление стопы может произойти после соблюдения строгой диеты, в ходе которой человек не получает необходимые вещества и микроэлементы.
Если растет косточка на большом пальце ноги в молодом возрасте, то это говорит о серьезных нарушениях в организме. Например, о сбоях эндокринной системы, но также это может произойти и после травм стопы.
Если есть предрасположенность к этой болезни, необходимо регулярно посещать врача и проводить профилактику. При плоскостопии необходимо выбирать специальную обувь или ортопедические стельки, которые снизят нагрузку на фаланги.

вальгусная стопа
Классификация заболевания
Принято выделять такие виды деформации, как:
- статический;
- врожденный;
- рахитический;
- травматический;
- паралитический.
Также заболевание классифицируется по степени тяжести. Легкая стадия характеризуется небольшим отклонением до 20 градусов, средняя – палец отклоняется от 25 до 35 и тяжелая более чем на 35 градусов. От степени заболевания зависит метод и длительность лечения, но определить точную стадию сможет врач после ряда диагностических процедур.
Рекомендуем к прочтению
Симптомы заболевания
Если выросла шишка на ступне, нужно обязательно посетить медицинское учреждение. Для того чтобы вовремя распознать заболевание и обратиться за помощью к врачу, следует узнать первичные симптомы, а также посмотреть фото.
Вначале появляется небольшой дискомфорт, а также боль при ходьбе. Человек замечает, что ноги стали быстрее уставать, обувь натирает в области выпирания косточки около пальца, нередко появляются натоптыши. Со временем ситуация ухудшается: шишка продолжает расти, искривляя большой и второй пальцы, появляется отек, а кожные покровы в поврежденной области приобретают красный цвет.
Мнение эксперта
Александр Витальевич
Врач общей практики
Задать вопрос экспертуПри средней степени вальгуса отмечается характерная боль в фаланговых суставах нижних конечностей, которая говорит о воспалительном процессе в тканях.
При запущенном заболевании косточка на ноге болит, в том числе во время покоя. Выпирающая шишка на большом пальце ноги сильно заметна даже в обуви, ношение которой доставляет дискомфорт. На мизинце могут появиться мозоли и сильные потертости. Постепенно болевые ощущения переходят на всю стопу.
Как определить заболевание
Что делать, если появился твердый нарост? В первую очередь для того чтобы верно определить диагноз, необходимо посетить врача. Он произведет осмотр и установит предварительную стадию болезни. При осмотре доктор обращает внимание не только на изменения кости, но и на поверхность стопы, определяя ее чувствительность и функционирование. На приеме нужно подробно рассказать специалисту о том, как болит косточка на ноге около большого пальца, давности деформации и физических нагрузках.
После осмотра врач обязательно назначает дополнительные исследования, к которым можно отнести:
- рентгенографию нижних конечностей в трех проекциях;
- плантографию, в ходе которой устанавливает не только стадия болезни, но и уровень нагрузки на ноги;
- подометрию (определение давления на стопы).
Мнение эксперта
Александр Витальевич
Врач общей практики
Задать вопрос экспертуПосле прохождения всех необходимых исследований, врач рассказывает, как правильно лечить косточку на большом пальце.
Безоперационные методы лечения
Существует два пути лечения заболевания. Первый – это кардинальная мера, то есть удаление нароста на пальце ноги хирургическим методом или лазером. Более простой метод – это приостановка роста кости. Выбор наиболее эффективного способа лечения зависит от степени заболевания, здоровья человека и рекомендаций лечащего врача. В любом случае, нужно быть готовым к тому, что лечение в домашних условиях нередко долгое и прерывать его нельзя.
Легкую стадию обычно исправляют различными физиопроцедурами, компрессами и фиксаторами. Лечить косточку на большом пальцем этими же методами необходимо, если нельзя проводить оперативное вмешательство. Массаж, электрофорез, ультразвук и другие процедуры помогают снять боль и напряжение в мышцах, а также восстановить кровообращение и питание тканей. Часто больным назначают ношение специальных фиксаторов: вкладыши, шины и бандажи. Они могут использоваться ночью, днем или круглосуточно. Все виды фиксируют фалангу в нужном положении и не дают ей во время ходьбы смещаться. При соблюдении рекомендаций врача, регулярном ношении накладки на косточке большого пальца и правильного питания болезнь может отступить.
Отдельное внимание рекомендуется уделить обуви. Если растут косточки на ногах, то лучше отказаться от узких моделей. Отдать предпочтение нужно ортопедической обуви, которая уменьшит давление на фаланги и не даст стопе деформироваться дальше. Обувь должна быть мягкой, удобной и практически без каблука (максимальная высота каблука до 4 см). При плоскостопии следует выбрать модель с жестким супинатором и задником, а также стельками. Лучше всего изготовить их на заказ, с учетом всех особенностей стопы.

вальгусная деформация стопы
Оперативное вмешательство
Удалить сросшиеся косточки средней и тяжелой степени поможет хирург. Современные технологии удаляют косточку на мизинце ноги, а также на других пальцах, при этом не требуется длительный период восстановления. Даже после удаления косточки 3 стадии, человек начинает нормально ходить через 3-4 дня. Во время оперативного вмешательства используются специальные крепления, фиксирующие поврежденный сустав изнутри. Они изготавливаются из титана и устанавливаются в ходе операции в сустав. После того, как удалена шишка на ноге возле большого пальца, производится выравнивание фаланги, что предотвращает повторное развитие вальгусной деформации. Также возможно провести малотравтичную операцию при помощи миниинвазивных методик. При операции таким способом используются микроинструменты, которые вводят под кожу через небольшие надрезы и спиливают наросты. Провести операцию наиболее эффективно помогает рентген. Операция проводится только при небольшой деформации стопы или при появлении косточки на большом пальце руки.
Мнение эксперта
Александр Витальевич
Врач общей практики
Задать вопрос экспертуОтзывы пациентов, которые успешно перенесли операцию, говорят о быстром восстановительном периоде, который обычно длится не более 3 недель.
После него человеку необходимо придерживаться некоторых правил. Например, выбирать обувь из натуральных материалов на низком каблуке, а также использовать ортопедические стельки. После спиливания большого нароста может потребоваться ношение шины или фиксатора.Народная медицина
При лечении косточки на стопе безоперационным методом, можно попробовать и другие способы. Перед тем как лечить народными средствами вальгусную деформацию, лучше проконсультироваться с врачом. Такие средства, как различные мази, настойки, компрессы из трав и другие средства против боли и отека, используют для лечения косточки на ноге у большого пальца
Чтобы уменьшить болезненные ощущения, можно применять следующие способы:
- Ванночки из соли и йода. Следует держать ноги в горячей воде не менее 10-15 минут с добавление 10 капель йода и 2 столовых ложек соли.
- Листья капусты вместе с медом также помогут избавиться от ноющей боли в суставах. Необходимо сделать на капустном листе надсечки ножом и нанести на него мед, далее компресс приложить к больному месту и зафиксировать бинтом на несколько часов.
- Кашица из картофеля – это отличное лекарство в борьбе с отечностью. Необходимо натереть сырой картофель на мелкую терку и приложить кашицу к шишке на большом пальце ноги.
Для уменьшения воспалительного процесса можно воспользоваться прополисом и глиной. Прополис разминают руками до мягкого состояния и прикладывают на больное место. Также можно сделать и настойку на основе спирта, которой смачивают бинт и прикладывают к наросту. Глина помогает вывести токсичные вещества из тканей. Ее необходимо размягчить в воде, густо намазать шишку и оставить на 2 часа.
Профилактические меры
Чтобы не росла косточка на ноге после лечения, следует внимательно следить за своим здоровьем. Необходимо придерживаться правильного сбалансированного питания. В рационе должны присутствовать продукты с высоким содержанием кальция и других полезных микроэлементов. Также нужно отказаться от тяжелых физических нагрузок на долгое время. Заменить тяжелые тренировки после операции можно на упражнения для разминки нижних конечностей.
Мнение эксперта
Александр Витальевич
Врач общей практики
Задать вопрос экспертуХотя бы на время обязательно нужно отказаться от обуви на высоком каблуке. Лучше сменить ее на специальные ортопедические модели, выполненные на заказ.
Соблюдение простых правил гарантирует полное избавление от заболевания. Не стоит забывать про посещения медицинского учреждения после операции. Раз в полгода нужно посещать ортопеда и хирурга для проведения осмотра. В случае ухудшения необходимо незамедлительно начинать лечение косточки на ноге у большого пальца вновь.
Вальгусная деформация большого пальца стопы: лечение без операции (видео)
У Вас есть вопросы? Нужен профессиональный совет? Или хотите поделиться своими мнением? Создавайте новую тему на медицинском форуме!
Cоздать новую тему
Рекомендуем к прочтению
Рейтинг автора
102
Автор статьи
Дерматолог
Написано статей
64
natele.net
Вальгусная деформация большого пальца стопы ноги, способы лечения без операции
Вальгусная деформация стопы – это сегодня одна из наиболее распространенных патологий, проявляющаяся в отклонении большого пальца ноги внутрь стопы. Помимо некрасивого вида, эта патология нарушает всю структуры стопы: связки, сухожилия, суставы и кости.Кроме появления выпирающей кости на внутренней части стопы и искривления пальца, возможно проявление и иных ортопедических заболеваний, к ним относятся:
- хронические бурситы;
- варусные внутренние отклонения плюсневой кости;
- деформирующие артрозы;
- экстозы головок кости;
- комбинированное или поперечное плоскостопие.
Причины вальгусной деформации стопы
Факторов, которые провоцируют образование косточек на ступне, может появиться несколько. В их число можно отнести и генетическую расположенность к этой болезни, и присутствие воспалительных процессов на суставах и связках.Также осложнения в форме выпирающих косточек на ногах могут появляться в результате таких патологий с ногами, как плоскостопие и косолапость.
Как правило, этой патологии больше подвержены женщины, у них вальгусная деформация пальца является самой частой ортопедической проблемой после 30 лет.
Наверное, самой популярной причиной образования вальгусной деформации ноги у молодых девушек является постоянная носка красивой, но неудобной, слишком узкой обуви, и моделей на большом каблуке.
Сюда относится и носка очень короткой обуви, а также обуви меньше размера, когда пальцы на ступне все время находятся в неестественном вынужденном положении, способствующему образованию бурсита большого пальца (а он и может провоцировать вальгусную деформацию ноги).
Постоянное искривление ноги в каком-то месте и приводит к образованию шишки. Через время эти выпирающие шишки начинают доставлять довольно болезненные ощущения и дискомфорт.
В основе вальгусной деформации пальца находится также врожденная слабость соединительной и костной тканей, она и приводит к появлению плоскостопия (тем более, это относится к женщинам, поскольку у них соединительная ткань по своей природе очень слабая и склонна быстро деформироваться при наличии отрицательных факторов).
Необходимо еще раз сделать акцент на том, что к деформациям ноги, в первую очередь, приводит плохо подобранная обувь. Обувь с узким носом или на больших каблуках создает неравномерную нагрузку на переднюю часть ноги, из-за этого со временем и появляется деформация этого участка, образуется артроз большого пальца.
С учетом этого наилучший выход из этой ситуации – это предупреждать проявление этого заболевания. Если же вдруг вы увидели, что отмечается деформация стопы и шишка уже начала расти – необходимо в срочном порядке обратиться к врачу за помощью.
Подводя итог данному разделу можно выделить такие причины, в результате которых появляется вальгусная деформация большого пальца:
- Остеопороз – при этом заболевании происходит выход кальция из костей, а также меняется их структура. Что и провоцирует деформацию костей и стопы.
- Плоскостопие – практически у каждого пациента, который страдает от этой патологии, также имеется и поперечное плоскостопие. У многих из них определяют и продольное плоскостопие.
- Наследственная расположенность к болезни – не окрепшим мышечно-связочная система может быть от рождения. В этом случае довольно высокий риск появления плоскостопия, которое и является причиной вальгусной деформации ноги.
- Излишний вес – в случае излишней массы наблюдается повышение нагрузки на ноги и появления плоскостопия, а уже, как результат этого, и образуется вальгусная деформация большого пальца.
- Нарушения эндокринной системы – из-за сильных изменений гормонального фона, к примеру, при климаксе или беременности либо даже просто незначительные, но периодические его колебания, обуславливающиеся менструальным периодом – все это может являться причиной слабости связочного аппарата, а оно, как уже выше говорили, и приводит к появлению плоскостопия и деформациям ноги.
- Неправильно выбранная обувь (про это подробно описывалось в начале раздела о причинах заболевания).
- Также к причинам появления патологии относятся и разные повреждения ступней.
Разновидности заболевания
В медицине существуют такие разновидности вальгусной деформации ног:
- врожденная;
- статическая;
- результат лечения косолапости;
- рахитическая;
- паралитическая;
- травматическая.
Помимо этого, есть три стадии вальгусной деформации большого пальца ноги, которые зависят от угла его отклонения:
- Первая стадия – палец отклонен меньше, чем на 20 гр.;
- Вторая стадия – палец отклонен на 25-35 гр.;
- Третья стадия – палец отклонен под углом больше 35 градусов.
Признаки и симптомы
Для определения этой ортопедической патологии на первых этапах, необходимо знать, какие бывают первичные появления болезни. Обычные появления симптомов различают с учетом ее стадии.
На начальном этапе заболевания можно выделить следующие появления:
- Первый и основной симптом заболевания – это болезненные и дискомфортные ощущения при ходьбе, трудности с ношением обуви, наличие быстрой утомляемости, появление болезненных мозолей и натоптышей. Через время происходит изменение положения и формы суставов первого и второго пальцев ноги, образуется «шишка», кожный покров в районе шишки имеет красный цвет, происходит небольшая отечность в этом районе.
- Кожа в районе косточки имеет характерную потертость.
- О наличии этой болезни говорят и болезненные «ноющие» ощущения в области стоп, обостряющиеся во время движения.
На среднем этапе вальгусной деформации:
- Характерно образование натоптыша под средней и третьей фалангами пальца.
- Типичными являются отечность и болезненные ощущения в пораженном участке, образование наростов в районе первой головки фаланги.
- В суставах отмечается воспалительный процесс.
На запущенном этапе патологии:
- Данный этап отличается сильными болями на подошве ступни и в большом пальце.
- Кожа под 2 и 3 фалангами, покрывается ороговелостью и мозолями.
- Можно невооруженным глазом увидеть выпирающий нарост-шип.
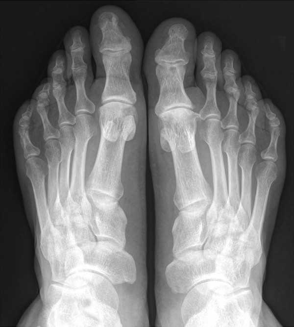
Диагностика заболевания
Первый этап во время определения диагноза вальгусной деформации большого пальца – это зрительный осмотр врача и определение стадии болезни.Во время осмотра берутся во внимание, в каком состоянии подошвенные поверхности, упругость (тургор) верхней части ступни, а также сосудистый статус, определяется тактильная чувствительность стоп и функциональность фаланги.
Врач обязан рассмотреть все возможные ограничения передвижений стопы, чтобы точно определить причину патологии. С помощью расстояния между плюсневыми головками определяют степень деформации пальца.
Чаще всего к жалобам пациентов относится: ощущение тяжести после больших физических нагрузок, ноющие боли в передней части ступни, скованность во время движения.
Дополнительные способы
Также есть ряд дополнительных диагностических способов:
- С помощью компьютерного анализа – подометрия, дает возможность выявить давление на стопы.
- Анализ снимка ноги – дает возможность максимально точно определить степень вероятного плоскостопия, также определяется степень нагрузки на ноги.
- Чтобы выявить детальные изменения стопы, больного отправляют на рентгенографию.
Согласно всем результатам этой комплексной диагностики и выбираются соответствующие способы лечения деформации стопы.
Лечение
Поскольку проявления, которые похожи на признаки вальгусной деформации ноги, можно наблюдать и при иных ортопедических заболеваниях стопы, то для начала необходимо обратиться к опытному специалисту, который может поставить точный диагноз. Если диагнозом является именно это заболевание, то можно проводить лечение. Нужно быть готовым к тому, что оно будет довольно трудоемким и затяжным.Лечение деформации большого пальца можно поделить на два вида: хирургическое и консервативное. Последний вид применяется в начальных стадиях патологии и, увы, совершенно не во всех случаях имеет полностью положительный результат. Невзирая на это, за счет своевременного и правильного подхода можно существенно замедлить последующий прогресс деформации или на время отсрочить проведение операции.
Рассмотрим детальней методы консервативного лечения:
- медикаментозная терапия, она состоит во вводе в полость суставов гормональных препаратов (например, таких как гидрокортизон или дипроспан). Они удаляют воспалительный процесс;
- физиотерапевтический курс;
- использование супинаторов, ночных шин и ортопедической обуви, а также стелек и межпальцевых прокладок, ортопедических корректоров (применение данных приспособлений немного притормаживает развитие патологического процесса, устраняет болезненные ощущения и исправляет походку).
Также в лекарственном лечении возможно назначение кортикостероидов и одновременно с ними использование противовоспалительных препаратов. Для лучшего результата сюда же добавляется совместно и физиотерапевтический курс. В случае, если вальгус является следствием какого-то системного заболевания, то для начала определяют причины, которые спровоцировали основную патологию, приведшую к вальгусной деформации стопы, и лечат ее.
Во время лечения немаловажную роль имеет правильно выбранная для каждого больного ортопедическая обувь. Она обязана иметь определенную мягкость, широкий носок, возможен каблук не более 4-х см. На первых этапах вальгусной деформации лечение начинается с рекомендаций по правильному выбору обуви – с широким носком, который устранит неудобства и сократит давление, свободной и уютной, это не допустит последующих деформаций.
Очень часто вальгусную деформацию большого пальца ноги сопровождает плосковальгусная деформация – плоскостопие. Во время плоскостопия меняется направление оси ноги и снижается ее свод. В этом случае обувь обязана иметь плотный супинатор, а также жесткий и высокий задник. Очень важно использовать ортопедические стельки, наилучший вариант – это если их делают по личному заказу, в этом случае можно брать в учет даже малейшие особенности ступни пациента.
Если рассматривать физиотерапевтические процедуры, то тут довольно хороший эффект имеет ударно-волновая терапия. За счет ее лечебного действия повышается циркуляция крови в пораженном месте, а также снижается отечность и болезненные ощущения.
Хирургическое вмешательство, как правило, используют уже на запущенных этапах заболевания. Операцию вальгусной деформации стопы можно сделать и на начальном этапе, в данном случае хирургическое вмешательство одновременно является и профилактикой артроза суставов. Современные технологии проведения операций не разрушают сустав, сохраняя его подвижность и опороспособность.
Сегодня известно более 100 разных способов операций вальгусной деформации ноги. Общей задачей данных способов является уменьшение угла отхода пальца, что дает возможность поставить его в правильное положение.
Есть и такие варианты операций:
- удаление новообразования оперативным способом;
- имплантация суставов;
- реконструкция деформированных костей;
- проксимальная и дистальная остеотомия, она состоит в изменении угла между фалангами;
- операция, при помощи которой уравновешиваются мышцы около суставов;
- пересадка сухожилий;
- артродез – фиксация сустава;
- и еще примерно 93 способа, которые выбираются индивидуально.
Реабилитация после операции может продолжаться 1-2 месяца, потому в течение 1,5 месяцев врачи рекомендуют надевать ортопедический сапог, он надежно фиксирует больную конечность и обеспечивает ей покой при движении.
Помимо вышеописанных способов лечения без операции, на ранних этапах болезни хороший результат показывает выполнение специальных упражнений. Они укрепляют ослабленные мышцы, разрабатывают пальцы ног. Главное, чтобы они делались каждый день и без пропусков.
Помимо упражнений, необходимо еще и ежедневно выполнять общеукрепляющий массаж, но не только ног, а также спины, бедер, ягодиц.
plastika.guru
Как лечить вальгусную деформацию большого пальца стопы
Вальгусная деформация стопы является наиболее распространенной патологией, которая проявляется как отклонения большого пальца на ноге внутрь стопы. Помимо того, что это некрасиво с эстетической точки зрения, патология нарушает все: суставы, кости, сухожилия и связки.
Помимо того, что проявляется выпирающая кость на внутренней поверхности стопы и палец искривлен, сюда отнесем проявление и других ортопедических проблем, к которым относят:
- Поперечное или комбинированное плоскостопие.
- Экстозы головок костей.
- Артрозы с последствиями деформации.
- Хронические бурситы.
- Внутренние отклонения плюсневой кости.
Содержание статьи:
Причины появления вальгусной деформации стопы
Может быть несколько факторов, которые спровоцировали образование косточек на ступне. К ним можно отнести генетическую предрасположенность, а также наличие воспалительных процессов на связках и суставах.
Еще осложнения на ногах в виде выпирающих косточек могут появиться из-за таких патологий, как плоскостопие или косолапость.
Обычно такой патологии больше подвержены представительницы слабого пола, так как это самая популярная проблема у женщин после 30-ти лет.
Конечно, самая актуальная причина того, почему даже у молодых девушек появляется вальгусная деформация большого пальца и стопы – это красивая, но неудобная или слишком узкая обувь, причем она необязательно будет на высоком каблуке.
Сюда относят очень короткую обувь, или же если она меньшего, нежели требуется, размера, ведь когда пальцы находятся в неествественном положении, начинает образовываться бурсит большого пальца (а это провоцирует появления вальгусной девормации стопы).
Из-за искривления ноги в каком-либо месте появляется шишка. Через время она начинает приносить дискомфорт и болевые ощущения при ходьбе.
Основоположением вальгусной деформации пальца ноги является также врожденная слабость костной и соединительной ткани, что и приводит к плоскостопию ( особенно это относится к женщинам, так как их соединительная ткань очень слабая и имеет склонность к быстрой деформации при наличие каких-либо негативных факторов).
Сделаем акцент на том, что по большем части к деформации ноги причастна обувь. Большие каблуки или узкие носики создают неравномерную нагрузку, из-за чего происходит образование артроза на большом пальце.
С учетом этого лучший выход из этой ситуации – предупреждение появления заболевания. Если вы заметили небольшую деформацию и шишка начала увеличиваться в размере – срочно обращайтесь к специалисту за помощью.
Как итог в данном разделе, выделим следующие причины,из-за которых может появиться вальгусная деформация стопы:
Остеопороз – при данной проблеме кальций выводится из костей, вследствие чего их структура меняется, что и является провоцирующим фактором для деформации костей и стопы.- Плоскостопие – есть почти у каждого пациента, кто страдает такой патологией. У многих из них есть поперечное и продольное плоскостопие.
- Предрасположенность (генетическая) – мышечно-связочная система может быть с рождения неокрепшей. В таких случаях высок риск развития плоскостопия, а как следствие – вальгусная деформация пальца ноги.
Избыточный вес – в таком случае на ноги повышается нагрузка и появляется плоскостопие, а в результате этого появляется вышеупомянутая проблема.- Проблемы с эндокринной системой – из-за изменений в гормональном фоне, допустим, при беременности или климаксе связочный аппарат может ослабнуть, а это также приводит ко всякого рода деформациям.
- Неправильно подобранная обувь.
- Повреждения ступней.
Разновидности проблемы
В мире медицины есть такие разновидности заболевания вальгусной деформации ног:
- Статическая.
- Паралитическая.
- Травматическая.
- Рахитическая.
- Врожденная.
- После лечения косолапости.
Помимо этого вальгусная деформация ступни классифицируется по трем стадиям, которые зависят от угла отклонения:
- Стадия №1 – палец имеет отклонение меньше 20 градусов.
- Стадия №2 – палец имеет отклонение от 25 до 35 градусов.
- Стадия №3 – палец имеет отлокнение больше 35 градусов.
Симптоматика заболевания
Для того, чтобы определить заболевание на начальном этапе, следует знать первичные признаки болезни. Обычно по симптомам различают стадии.

На начальном этапе выделяют такие признаки:
- Болезненные и неприятные ощущения во время ходьбы, трудности в выборе обуви, быстрая утомляемость,. Спустя какое-то время форма и положение суставов первых двух пальцев ноги меняются, появляется шишка, а кожа в районе шишки имеет красный цвет, появляется небольшой отек в этой зоне.
- Кожа в месте, где расположена косточка, имеет потертость.
- Также присутствуют ноющие ощущения в стопах, которые только обостряются при движении.
На среднем этапе признаки другие:
- Появляется натоптыш под третьей и средней фалангами пальца.
- Появляется отечность и боль в участке поражения, образуются наросты в районе первой фаланги.
- В суставах замечено воспаление.
На третьем, и самом запущенном этапе:
- Присутствуют сильные боли на подошве и в самом пальце.
- Кожа под фалангами начинает покрываться мозолями и ороговелостью.
- Начинает виднеться нарост-шип.
Диагностика вальгусной деформации стопы
Первый этап при диагностике вальгусной деформации большого пальца на ноге – это визуальный осмотр специалистом и определение стадии болезни.
При осмотре берут во внимание состояние подошвы стопы, тургор верхней части ступни и сосудистый статус, а также определяется чувствительность стоп и степень функционирования фаланги.
Врач должен разобрать все вероятные ограничения передвижений для определения причины патологии. При помощи расстояния меж головками кости определяют степень изъяна.
Чаще всего пациенты жалуются на ощущение тяжести после нагрузок, ноющие боли, скованность при движении.
Дополнительные методы
Еще есть ряд других способов диагностирования:
- При помощи компьютерного анализа – даст возможность узнать какое давление оказывается на стопы.
- Снимок ноги – помогает с большой точностью определсть степень возможного плоскостопия, а также определяет нагрузку на ноги.
- Рентгенография – нужна для более детального выявления в изменении стопы.
По всем результатам диагностики выбирают определенные способы лечения.
Лечение
Так как проявления, которые есть и при вальгусной деформации стопы, имеются в списке симптомов других ортопедических заболеваний, то в начале следует обратиться к специалисту с богатым опытом для установки точного диагноза. Если ваш диагноз – это конкретно это заболевание, то вы можете начинать лечение. Нужно морально подготовиться к тому, что это будет трудоемко и долго.
Лечение такой деформации делят на два вида: консервативное и хирургическое.
Первый вид применяют лишь на начальных стадиях, и даже тогда оно не во всех случаях имеет положительный результат. Несмотря на это, если подход был правильный и своевременный, то вы сможете замедлить прогресс деформации или отложить его до проведения специальной операции.
Давайте рассмотрим способы консервативного лечения более детально:
- Медикаментозная терапия, состоящая из введения в суставы гормального препарата (дипроспан иди гидрокортизон). Они помогут устранить воспалительный процесс.
- Курс физиотерапии.
- Ношение шин и ортопедической обуви, супинаторов, а также прокладок для пальцев и стелек и ортопедических корректоров (данные приспособления тормозят развитие патологии и устраняют неприятные ощущения и делают походку лучше).
Еще в лекарственном лечении могут быть назначены кортикостероиды и противовоспалительные средства. Для улучшения результата это может быть объединено с курсом физиотерапии.
Если же вальгус – это следствие любого системного заболевания, то сначала нужно определить причины, спровоцировавшие патологи, а далее назначают лечение.
При лечении важную роль имеет правильно подобранная ортопедическая обувь. Она должна быть мягкой, с широким носком, есть экземпляры на каблуке (не более четырех сантиметров). В начале развития вальгусной деформации лечение начинают с лекции о правильности выбора обуви – это обязательно широкий носик, который не будет давить и не допустит развитие еще каких-либо деформаций.
Очень часто спутником вальгусной деформации стопы отмечают плоскостопие. При плоскостопии меняется направление оси и снижается свод. В таких случаях обувь должна иметь плотные супинаторы и высокий и жесткий задник.
Важно пользоваться ортопедическими стельками, а будет лучше, если их изготовят по индивидуальному заказу – в таком случае будут учтены все особенности ступни клиента.
Если говорить о физиотерапевтических процедурах, то хорошим эффектом обладает ударно-волновая терапия.
Благодаря ее целебному действию циркуляция крови в месте поражения повышается, а отечность и болезненные ощущения снижаются.
Лечение вальгусной деформации стопы хирургическим путем используется на запущенных этапах. Операцию можно сделать и в начале развития болезни, тогда будет проведена профилактика артроза суставов. Благодаря современным технологиям при операции не будет разрушен сустав, и его подвижность будет сохранена.
Сегодня есть 100 всевозможных способов оперирования при вальгусной деформации стопы. Главной задачей операций является уменьшение угла отклонения пальца, что даст отличную возможность поставить его на исходное положение.
Есть такие виды операций:
- Удаление новообразования.
- Имплантация сустава.
- Остеотомия – изменение угла меж фалангами.
- Операция, при которой мышцы возле суставов уровновешиваются.
- Фиксация суставов.
- Пересадка сухожилий.
- И отдельные 94 способа, которые подбираются отдельно для каждого пациента.
Реабилитационный период после операции может быть один или два месяца, так как в течение 45 дней врачи рекомендуют носить специальный ортопедический сапог, который фиксирует конечность и дает ей покой даже во время передвижения.
Помимо вышеупомянутых безоперационных методов лечения на ранних стадиях отличные результаты дает гимнастика для ног, в которую входят всякие упражнения. Они помогают мышцам укрепиться и разработать пальцы на ногах. Очень важно выполнять упражнения без пропусков и ежедневно.
Помимо гимнастики, нужно делать укрепляющий массаж не только для ног, но и для ягодиц, спины, бедер.
И стоит поговорить о прогнозе.
При небольшой деформации, если заболевание начали лечить на начальном этапе, можно попробовать сохранить функцию суставов и их внешний вид, если лечение было начато на запущенном этапе, то болезненные ощущения могут вас преследовать даже после операции.
Учитывая все это очень важно следить за своим здоровьем, и при подозрениях на деформацию обратиться к врачу. Не занимайтесь самолечением, ведь это все только испортит.
iplastica.ru
Вальгусная деформация большого пальца стопы: лечение без операции возможно
Известно много ортопедических патологий. Самая часто распространенная из них – вальгусная деформация большого пальца стопы. Если описывать точнее, меняется внешний вид большого пальца. Проблема должна вовремя диагностироваться, но чаще всего человек не обращает на нее внимания до того времени, пока не потребуется операция. Вальгусная деформация первого пальца стопы излечима, но с ней лучше бороться, пока можно обойтись без операции. Методик и вспомогательных средств много: шины, корректоры, бандажи и стельки.

Характеристика заболевания
Вальгусная деформация является прерогативой людей пенсионного возраста, но с течением времени все чаще обнаруживается у относительно молодых. Из-за патологического изменения плюснефалангового сустава большого пальца стопы создается эффект шишки на ноге. Деформацию первого пальца стопы можно описать как разворот кости во внешнюю сторону ноги. Создается впечатление, что кость растет в сторону, увеличивается в размерах. Она начинает менять эстетику ноги, приводит к трудностям в выборе обуви, несколько мешает при ходьбе. Требуется лечение, желательно без операции. На ранних этапах появления болезнь можно остановить.
Вальгусная деформация большого пальца требует выполнения нескольких правил и простых принципов.
- Выбор и ношение удобной обуви. Рекомендуются низкие каблуки, широкие носки. Обувь не должна сжимать стопу, вытягивать ногу, нагружать подъем.
- Применение ортопедических приспособлений. Лучше использовать их на ночь. Конечности во время сна расслабляются, воздействие на деформированную кость будет оптимальной.
- Ношение специальных стелек.
- Снижение нагрузки на стопы.
- Физиотерапевтическая помощь (ультразвук, массаж).
- Ежедневные занятия лечебной гимнастикой.
- Применение ножных ванночек с лекарственными травами и медицинскими препаратами.
- Недопущение развития ожирения.
Искривление ступни прогрессирует, если не проводится лечение. Операции не избежать при халатном отношении к здоровью своих ног. Степени тяжести вальгуса определяются по углу выпирания кости. Медиками определены 4 степени: первая – угол выпирания 15º, вторая – угол деформации 20º, третья – угол выдвижения 30º, четвертая – угол больше 30º.

Развитие вальгусной деформации большого пальца
Если возникает вальгусная деформация, лечение без операции возможно только на начальных стадиях. Оно заключается в медикаментозной терапии в сочетании с народными средствами и лечебной физкультурой.
Основные методы лечения
Когда проводится лечение медикаментозными препаратами, его основная цель – снять симптомы болезни. Необходимо уменьшить воспаление, убрать боль, повысить физические возможности пациента. Отлично зарекомендовали себя нестероидные противовоспалительные препараты (НПВС). Многие из тех, кто столкнулся с какой-либо проблемой в суставах, применяют препараты нимесулида. Торговое название лекарства в форме гелей, порошка, таблеток может отличаться у разных производителей, но действующее вещество – одно и то же.
Еще одним способом устранения симптомов и лечения заболевания является электрофорез. Лечение током обусловлено действием электролитов. Эффект виден с первого применения. Останавливается дальнейшее развитие искривления. Так можно избежать негативного воздействия НПВС на органы желудочно-кишечного тракта.
Чтобы избежать операции стоп и ограничиться консервативным лечением, необходимо подбирать обувь не по принципу красивой, а удобной. Она не должна стеснять стопу в движении, иначе это станет дополнительным фактором развития искривления. Важна также ортопедическая коррекция стоп: врачом назначаются специальные ортопедические межпальцевые перегородки и шины. Они позволяют вернуть палец в исходное положение. Лечение стоп с их помощью – удобное и легкое.
Хорошие результаты показало ношение бандажа. Устройство надевается на стопу. Оно стягивает деформированную кость, чтобы вернуть ее в нужное положение. Применяться может днем, в период нахождения человека без обуви. Также рекомендуют надевать бандаж на ночь. В этот период ноги находятся в расслабленном состоянии и поддаются деформации под воздействием шины. Сначала бандаж держат на стопе несколько часов, постепенно увеличивают время, доводя до 12 часов и затем полных суток. Ночное наложение шины снимает болезненные ощущения. Хорошо помогает этот метод и после операции.
В комплексное лечение входят также упражнения лечебной физкультуры, изменение режима дня, специальная диета для противодействия отложению солей в суставах.

Эффективность народных средств
Народные средства всегда представляли интерес у тех, кто отрицает традиционное лечение, тем более операции. Нужно выбирать проверенный действенный метод. Может быть, что одному данная методика подошла, а другому человеку вовсе противопоказана в силу некоторых обстоятельств. Ниже представлены наиболее эффективные и распространенные народные средства для лечения болезни.
Местное воздействие всегда лучше работает, чем прием внутрь каких-то средств. Поэтому специальная мазь из яйца стоит на первом месте. Чтобы ее приготовить, понадобится яйцо, обязательно с белой скорлупой. Также весьма эффективно лечение компрессами из свежего картофеля и ванночками из картофельных очисток. Мощным действием в лечение заболевания стоп обладает и прополис. Как известно, все, что производят пчелы, является уникальным средством практически от всех болезней.
| Компоненты | Приготовление | Применение |
| Свежий картофель. | Картофель нужно натереть на терке и прикладывать к больному месту несколько раз в день. | Курс длится до улучшения состояния стоп, но не больше 2 недель. |
| Картофельные очистки. | Чтобы приготовить ванночку, понадобится небольшая кастрюля. Две трети наполнить очистками картофеля, долить воды, но не до краев. Проварить около 15-20 минут и дать остыть. Из полученного отвара нужно взять 2 стакана, процедить, добавить в тазик с теплой водой. | По мере остывания ванночки для прогревания сустава добавляется горячий отвар. Процедура продолжается около получаса. Чтобы повысить результат лечения при выраженных симптомах, можно обкладывать больные места очистками картофеля. Лучше делать утром и вечером на протяжении 10-14 дней. |
| Пихтовое масло. | Дополнить терапию можно втиранием пихтового масла. | Использовать не более одного раза в сутки. |
| Яйцо с белой скорлупой, уксус, скипидар, сало. | Надо залить его уксусом, оставить на пару недель в прохладе и темноте. Яйцо должно раствориться. Его оболочку можно выбросить, а в оставшуюся массу добавляют столовую ложку топленого сала и скипидарную мазь (10–15 грамм). Все хорошо смешать, и мазь готова. | Применять такое лечение стоп нужно через день. |
| Прополис. | Кусочек прополиса разминают или растирают в руках до размягчения. Необходимо сформировать некий блинчик из него и приложить к шишке на ноге. Сверху нужно зафиксировать повязкой, бинтом и куском ткани. | Можно взять в аптеке настойку на прополисе. Тогда это будет уже мокрый компресс или примочки. |
Зарекомендовала себя в практике лечения без операции вальгуса и желчь. Ее нужно взять в аптеке и использовать как компресс. Делается он на ночь: ватный диск смачивается желчью, прикладывается к косточке. Чтобы такой компресс не испачкал постельное белье и дольше оставался на стопе, сверху обмотать пищевой пленкой или полиэтиленом. Можно закрепить повязкой или надеть носок. Применяется такой курс ежедневно в течение двух месяцев.
Народные средства могут быть хорошим дополнением консервативной терапии.
Профилактика болезни
Болезнь становится заметной, когда человеку приходится находиться в открытой обуви. Внешний вид ног портит общее впечатление о человеке, а частые боли и усталость снижают качество жизни. Необходимо придерживаться основных методов профилактики.
- Ношение удобной обуви. Желательно выбирать обувь из качественных материалов. Натуральная кожа позволяет ногам дышать, чувствовать себя комфортно. Ступни в легкой обуви не устают, не напрягаются, мышцы стопы находятся в свободном состоянии. У некоторых женщин отмечается «комплекс большого размера обуви»: они стараются купить обувь меньшего размера в надежде ее разносить. Их стремление представить ногу меньше понятно, но неоправданно. Здоровые ноги не должны находиться в сдавленном состоянии. Их состояние ухудшается, провоцируется появление болезни, потребуется срочное лечение.
- Высокие каблуки украшают ногу, но медики говорят, что именно они вызывают появление деформаций стопы. Рекомендуется носить обувь с высотой каблука примерно 5 см. Понятно, что для модниц этот вариант неприемлем.
- После трудового дня ногам, как и всему телу, требуется отдых и расслабляющие процедуры. Это могут быть теплые ночные ванночки, бальзамы, массажи. Лечение и профилактику в домашних условиях проводить несложно.
- Правильный рацион – еще одна составляющая лечения и профилактики. Лучше сохранять нормальный вес, чем двигаться с трудом под тяжестью собственного тела. Нарушенный обмен веществ также вреден ногам.
- Физкультура для укрепления стопы. Регулярные занятия спортом улучшают общее состояние организма и помогают избежать операции. Лечение станет ненужным, если регулярно выполнять специальные комплексы упражнений.
Рейтинг статьи: Загрузка…Профилактикой болезней стоп следует заниматься в течение всей жизни. Обязателен плановый осмотр у врача-ортопеда, лечение стоп по рекомендациям доктора, и тогда не потребуются тяжелые операции.
Автор статьи: Наталья
nashinogi.ru
Лечение вальгусной деформации большого пальца стопы
Вальгусная деформация большого пальца (Халюкс Вальгус, бурсит) — это патология стопы, которая внешне проявляется искривлением большого пальца в наружную сторону. В народе это заболевание называют часто шишкой либо косточкой.Но вальгусная деформация большого пальца стопы — не только проблема эстетического характера. Возникновение данной патологии может свидетельствовать о наличии нарушений в работе опорно-двигательного аппарата, процессе обмена веществ. Хронический бурсит может дать толчок к развитию артроза или артрита. Запущенные случаи приводят к постепенной деформации всех пальцев ноги.
Причины вальгусной деформации

Возникает вальгусная деформация первого пальца стопы под воздействием целого ряда причин. Чаще всего шишка на ноге появляется из-за неправильного подбора обуви (тесная колодка, высокий каблук). Подтверждает гипотезу тот факт, что от Халюс Вальгус страдают чаще женщины. Но современная медицина выделяет целый ряд дополнительных факторов:
- генетическая предрасположенность;
- регулярное ношение неудобной обуви, приводящее к чрезмерным нагрузкам на переднюю долю стопы;
- поперечное плоскостопие;
- недолеченные травмы стопы;
- врожденные анатомические патологии;
- избыточная масса тела;
- остеопороз;
- нарушение обмена веществ, вызываемое некоторыми заболеваниями, а также в силу пожилого возраста.
Основные симптомы деформации первого пальца

Проявляет себя вальгусная деформация первого пальца стопы с появления небольшой выпуклости у его основания. Сначала она не приносит никакого дискомфорта, но позже проявляются иные симптомы:
- образование возле первой фаланги шишки, которая постепенно начинает увеличиваться в размерах;
- болевые ощущения, отек, покраснение в районе шишки;
- искривление большого пальца и потеря им своей подвижности;
- появление мозолей;
- дискомфорт при ходьбе.
Степени патологических изменений стопы
Халюкс Вальгус (Hallux — большой палец, Valgus — отклонение) имеет четыре степени деформации, зависящие от угла искривления:
- первая степень — более 15 градусов, человек при этом не ощущает дискомфорта;
- вторая степень — более 20 градусов, начинают появляться первые болевые ощущения и патологию внешне уже невозможно не заметить;
- третья степень — более 30 градусов, начинается деформация соседних фаланг и ограниченность движения;
- четвертая степень — 50 градусов и более, сопровождается патологическими изменениями всей стопы и регулярными болезненными ощущениями.
Первая и вторая степень заболевания представляет скорее косметический дефект и предполагает активные меры профилактики. При наличии третьей или четвертой степени заболевания вальгусная деформация большого пальца стопы лечение обязательно.
Диагностика вальгусной деформации
Для постановки диагноза пациенту следует обратиться к ортопеду. Проведение диагностики начинается с внешнего осмотра пораженной области. Специалист обращает внимание на степень отклонения большого пальца, диапазон его движения, наличие ассоциированных деформаций.
Внешне признаки косточки на ноге сходны с симптомами таких заболеваний, как артрит, деформирующий остеоартроз, подагра. Для уточнения диагноза доктор может назначить дополнительные исследования:
- Рентгенография в трех проекциях для определения патологических изменений в стопе.
- Компьютерная плантография показывает равномерность нагрузки на стопу.
- Компьютерная подометрия назначается для выявления бурсита на ранних стадиях.
При подтверждении наличия заболевания вальгусная деформация большого пальца стопы лечение может быть назначено оперативное либо консервативное.
Хирургическое лечение косточки на ноге

Запущенные формы заболевания предполагают оперативное вмешательство. В зависимости от стадии деформации применяется один из видов (а их более ста) хирургического вмешательства:
- Малая инвазивная коррекция. Операция осуществляется без разреза. Делаются два небольших отверстия и с помощью специальных инструментов хирург придает плюсневой кости правильное положение. Такое вмешательство проходит для пациента безболезненно, характеризуется коротким восстановительным периодом, не оставляя после себя шрамы.
- Дистальная остеотомия. Такой вид хирургического вмешательства подразумевает разрез дистального конца поврежденной кости с последующим ее перемещением.
- Проксимальная остеотомия. Разрез происходит на проксимальном конце кости для уменьшения угла между метатарзальными костями.
- Операция Келлера-Брандеса. Хирург удаляет поврежденный сустав, оставшаяся капсула помещается между плюсневой костью и основной фалангой.
- Имплантация искусственного сустава.
У части пациентов наблюдается рецидив заболевания и шишка появляется снова. Для предотвращения этой проблемы следующие нескольких месяцев после операции показано носить удобную широкую обувь. Хороший эффект в период реабилитации дают физиотерапевтические процедуры.
Нельзя забывать и о возможности возникновения осложнений после операции:
- инфицирование мягких тканей;
- кровотечение;
- проблемы со сращением костей;
- развитие артрита, остеомиелита, аваскулярного невроза.
Консервативное лечение вальгусной деформации первого пальца стопы
Hallux Valgus — заболевание, которое возникает не за один день и даже не за один месяц. Своевременное обращение к специалисту-ортопеду, когда патологические изменения не достигли еще критической степени, избавит от необходимости проведения операции.
Консервативное лечение направлено на фиксацию правильного положения стопы, равномерное распределение нагрузки, улучшение кровообращения и стабилизацию мышечно-связочного тонуса. Современная медицина располагает целым рядом методов, которые позволяют проводить лечение вальгусной деформации первого пальца стопы без операции:
- специальные ортопедические корректоры;
- лечебный массаж;
- физиопроцедуры;
- ванночки;
- нестероидные противовоспалительные медикаменты;
- здоровый образ жизни.
Наибольший эффект в консервативном лечении Халюкс Вальгус приносит регулярное ношение ортопедических корректоров. Они позволяют остановить патологические процессы на ранних стадиях, либо же существенно замедлить темпы их развития. Разделяют несколько видов корректоров:
- ортопедические шины — конструкция, которая жестко фиксирует деформированный сустав, не позволяя ему отклоняться дальше;
- супинаторы, ортопедические стельки и межпальцевые валики — приспособления, которые визуально выравнивают стопу и помогают правильно распределить нагрузку на ее передний отдел;
- стяжки — средство для поддержания нормального положения поперечного свода стопы;
- пальцевые корректоры — особые конструкции, которые удерживают палец в естественном положении, надеваются они на время ночного сна.
Устранение шишки на ноге с помощью ночного бандажа (вальгусной шины)
Наиболее популярный корректор — вальгусная шина (щепа). Это универсальное приспособление, которое с успехом используется в нескольких направлениях:
- один из консервативных методов лечения бурсита;
- в качестве профилактической меры;
- в период восстановления после операции.
Вальгусная шина представляет собой небольшой бандаж, регулируемый удобным ремешком. Она жестко фиксирует сустав в правильном положении. При этом происходит нормализация кровообращения в поврежденной области, зажатые мышцы расслабляются. Меняя положение ремешка, корректор можно надевать поочередно на обе ноги.
Вальгусную шину нельзя носить вместе с обувью! Для этого разработаны другие ортопедические корректоры. Лучший вариант — это ночной бандаж, который рекомендовано надевать на время сна и отдыха. Конструкция позволяет сохранить подвижность стопы, поэтому абсолютно не будет причинять дискомфорт во время сна.Регулярное применение ночного бандажа позволяет устранить либо предотвратить деформацию стопы, а также провести коррекцию положения поперечного свода.
Существуют некоторые противопоказания для применения ночного бандажа:
- четвертая степень развития заболевания;
- наличие открытых ран, ссадин на ноге;
- воспалительные заболевания суставов;
- опухоли суставов.
Профилактика деформации стопы
Если человеку приходится, возможно, следуя дресс-коду, по несколько часов в день проводить в неудобной обуви, либо его родители имели косточки на стопе, то он также находится в группе риска. По статистике, вальгусная деформация большого пальца чаще поражает женщин после пятидесяти лет. Уже сейчас стоит задуматься о профилактике. Заболевание весьма коварно и не имеет выраженных признаков на ранних стадиях. Появиться вальгусная деформация может даже у маленьких детей.
К основным профилактическим мерам относятся:
- Подбор удобной обуви. В идеале носок должен быть широким и не сдавливать фаланги, а каблук устойчивым с максимальной высотой в пять сантиметров. Желательно, чтобы обувь была изготовлена из натуральных «дышащих» материалов.
- Если весь день пришлось пробегать на шпильках, то вечером уставшим ногам обязательно нужно устроить расслабляющие процедуры. Это могут быть теплые ванночки либо массаж.
- Сбалансированное питание и отказ от вредных привычек. Такие меры позволят предотвратить нарушения обмена веществ, появление лишнего веса.
- Регулярные физические упражнения для укрепления связок стопы.
- Использование в профилактических целях ортопедических корректоров. Регулярное ношение ночного бандажа — оптимальный способ предотвращения Халюкс Вальгус.
- Обязательное ежегодное обследование у специалиста-ортопеда.
Приобрести ночной бандаж для лечения косточки на ноге вы можете в нашем интернет-магазине «Здоровые ноги». Чтобы узнать подробнее о лечебных свойствах вальгусного бандажа и оформить заказ перейдите по этой ссылке.
zdorovyenogi.ru
Лечение вальгусной деформации большого пальца стопы

Вальгусная деформация – заболевание, характеризующееся смещением плюсне-фалангового сустав первого пальца. На последних стадиях патология носит уже не только эстетический характер – пациента мучают постоянные боли, сильно искривляются и остальные пальцы на стопе. Если вовремя не начать курс терапии, то неизбежно хирургическое лечение вальгусной деформации большого пальца стопы.
В основе заболевания – слабость соединительных и костных тканей. Наследственность, ношение неправильной обуви, избыточный вес, интенсивные нагрузки на опорно-двигательный аппарат – все это может стать причиной появления вальгусной деформации.
Ставит диагноз и назначает лечение ортопед.
Когда стоит обратиться к врачу?
- «Косточка» быстро увеличивается в размерах.
- Периодически (особенно – после физических нагрузок) мучают боли в суставах.
- Ноги быстро устают при ходьбе.
- Пораженный участок постоянно отекает, а окружающие ткани воспаляются.
Перед тем как начать лечение вальгуса большого пальца, пациент проходит ряд обследований – рентген в 3 проекциях, плантография. По их результатам врач назначает курс терапии. Если следовать указаниям ортопеда, у пациента есть все шансы избавиться от вальгусной деформации.
Консервативное лечение
Начальные степени вальгусной деформации, когда выпирающие косточки на ногах не доставляют больших неудобств, патология лечится щадящими методами.
Ортопед дает пациенту следующие рекомендации:
- Ношение ортопедичекой обуви. «Правильная» обувь помогает равномерно распределить нагрузку на стопы и снизить трение на пораженный участок. На время стоит убрать подальше все неудобные туфли и ботинки.
Применение специальных приспособлений – корректоров, шин, бандажей. Они возвращают искривленный сустав на «свое место», фиксируя его в естественном положении. В продаже сейчас много корректоров большого пальца ноги – силиконовых и пластиковых, дневных и ночных. К выбору подойдите внимательно, поскольку положительный эффект дадут только качественные изделия – послушайте совета специалистов. Отзывы пациентов доказывают, что правильно подобранный корректирующий фиксатор стопы не только снимает боль в суставах при ходьбе и в состоянии покоя, но и лечит пораженный сустав.- Мази и пластыри.
- Прием лекарств. Ортопед может назначить больному прием нестероидных противовоспалительных препаратов, снимающих боли и отеки в месте поражения. На первых стадиях заболевания эта мера не применяется.
- Физиотерапия и массажи. Процедуры положительно сказываются на эффективности терапии – в сочетании с другими методиками они способствуют скорому выздоровлению пациента. Применяя масла (апельсиновое, лавандовое, лимонное, эвкалиптовое), массажи можно делать и самостоятельно в домашних условиях.
- Лечебная гимнастика. Интенсивные физические упражнения на период терапии запрещены. Но гимнастика при вальгусной деформации первого пальца стопы – одна их самых важных составляющих всего курса лечения. Специалистами разработаны разные методики, направленные на снятие болевых ощущений и укрепление суставов.
Консервативное лечение показывает хорошие результаты, если выполнять все рекомендации ортопеда.
Хирургическое лечение
Вальгусная деформация на начальных стадиях хорошо поддается лечению. Но если не обращать внимания на тревожные симптомы, болезнь будет развиваться дальше, принося все больше неудобств пациенту. Состояние больного может ухудшиться – искривляются остальные пальцы на стопе, на месте поражения появляются гнойные мозоли, отеки и воспаления.
Если заболевание запущено до последней стадии, и консервативное лечение уже бессильно, пациенту назначается операция при вальгусной деформации. В некоторых случаях – это единственное решение проблемы!
Изучите отзывы об операции на суставах стопы. Хирургическое вмешательство помогает навсегда избавиться от патологии.
Раньше хирургические вмешательства при лечении выпирающей косточки на стопе были просто варварскими – искривленная кость просто вырезалась. Пациент навсегда оставался инвалидом. Но вряд ли стоит бояться современных больниц – технологии позволяют избежать долгой реабилитации и серьезных последствий. Разработано уже более 100 методик хирургии пораженных суставов. Врач, изучив результаты обследований, подбирает оптимальную схему лечения для пациента.
Часто применяются следующие методики хирургических вмешательств:
- Полное или частичное иссечение части плюсневой кости, которая образует «шишку».
- Обездвиживание поврежденного сустава.
- Восстановление связок вокруг сустава.
- Замена пораженного сустава имплантатом.
- Удаление косточки на большом пальце ноги лазером.
Одной из лучших технологий на сегодня считается лазерная хирургия. Реабилитационный период сокращен до минимума, противопоказаний практически не имеется, процедура проходит под местной анестезией. Вот только стоимость операции достаточно высока – единственный недостаток.
В муниципальных больницах операции проводят бесплатно. Не желая ждать своей очереди, можно записаться в платную клинику. Цена операции в частных медицинских учреждениях будет зависеть от степени вальгусной деформации, возраста пациента и общего состояния его здоровья.
В 80 % случаев вальгус большого пальца перестает беспокоить пациента. Рецидивы возникают только при хронических патологиях опорно-двигательного аппарата и при нарушении технологии оперативного вмешательства. Пациента ждет долгая реабилитация – на протяжении 6-12 месяцев нельзя сильно нагружать ноги и вести активный образ жизни. Обозначим общие правила восстановительного периода:
Ношение удобной обуви – без каблуков, широкой, из мягкого материала, с плотным задником и супинатором. Специальные ортопедические стельки помогут равномерно распределят нагрузку по всей стопе.- Физические нагрузки запрещены! Пациенту первый месяц придется пользоваться костылями, чтобы суставы и мягкие ткани быстрее заживали.
- Посещение массажей и физиопроцедур.
- Постоянное наблюдение у ортопеда. Важно отслеживать динамику выздоровления, чтобы вовремя «распознать» рецидив. Если замечены какие-то отклонения, пациенту может быть назначена повторная операция.
В среднем, хирургическое лечение вальгусной деформации первого пальца стопы, в зависимости от степени поражения суставов, занимает по времени от 3 до 6 мес. В течение этого периода пациент постепенно возвращается к прежней жизни, увеличивая нагрузки на ноги.
Что предлагает народная медицина?
Один из вариантов лечения вальгусной деформации – нетрадиционная медицина. И это первое, к чему прибегают многие пациенты, чтобы избавиться от болезненной косточки сбоку стопы. Есть масса рецептов, которые «обещают» больному скорейшее исцеление. Можно найти и отзывы пациентов, которым они помогли.
Научных подтверждений тому, что народные рецепты помогают справиться с патологией, нет! Ортопеды такой подход отрицают полностью, советуя пациентам пройти медицинское обследование.
Решив воспользоваться тем или иным рецептом, лучше проконсультироваться с врачом. И обязательно проведите тест на чувствительность, чтобы исключить возможность аллергических реакций. Нанесите небольшое количество лечебного средства на кожу. И если через несколько часов на коже не появилось покраснений и сыпи, можно начинать лечение.
Как и чем лечить вальгусную деформацию большого пальца народными рецептами?
- Компрессы. Для лечебных компрессов используют капустные листы, речную рыбу, йод и аспирин, касторовое масло, морскую соль и снег, скипидар.
- Массажи. Легкие массажи (пусть и непрофессиональные) помогут снять отек и болевые ощущения. Используйте эфирные масла.
- Ножные ванночки. Хорошо расслабляют и снимают усталость в ногах. Для приготовления лечебных ванночек используют морскую соль и йод.
И если с помощью народных рецептов можно снять боли, покраснения и отеки в месте поражения, то вот причины вальгусной деформации большого пальца стопы так и останутся! Чтобы их устранить, нужен комплексный подход с рекомендациями специалиста. А если верите в целительные свойства «бабушкиных» рецептов, сочетайте их с методиками традиционной медицины – хуже точно не будет!
Легче предотвратить, чем лечить!
Профилактика вальгусной деформации поможет предотвратить патологическое искривление сустава на ноге. Посмотрите на свои ноги. Уже заметна выпирающая косточка? Тогда позаботьтесь о своем здоровье, чтобы в будущем избежать долгого лечения.
Что ортопеды советуют делать для профилактики шишек на ногах?
- Женщинам следует отказаться от туфель на высоком каблуке (выше 7 см), с острым носом.
- Лучше купить ортопедические стельки, если работа предполагает многочасовые физические нагрузки.
- Соблюдайте режим труда и отдыха, чтобы давать стопам отдых.
- Регулярно проходите осмотр у ортопеда.
При первых признаках образования на стопе косточки можно купить корректор вальгусной деформации первого пальца. Их применение не требует обязательной консультации у врача. Пациенты часто используют такие приспособления для лечения и профилактики заболевания в домашних условиях.

prohalluxvalgus.ru

Остеопороз – при данной проблеме кальций выводится из костей, вследствие чего их структура меняется, что и является провоцирующим фактором для деформации костей и стопы.
Избыточный вес – в таком случае на ноги повышается нагрузка и появляется плоскостопие, а в результате этого появляется вышеупомянутая проблема.
Применение специальных приспособлений – корректоров, шин, бандажей. Они возвращают искривленный сустав на «свое место», фиксируя его в естественном положении. В продаже сейчас много корректоров большого пальца ноги – силиконовых и пластиковых, дневных и ночных. К выбору подойдите внимательно, поскольку положительный эффект дадут только качественные изделия – послушайте совета специалистов. Отзывы пациентов доказывают, что правильно подобранный корректирующий фиксатор стопы не только снимает боль в суставах при ходьбе и в состоянии покоя, но и лечит пораженный сустав.
Ношение удобной обуви – без каблуков, широкой, из мягкого материала, с плотным задником и супинатором. Специальные ортопедические стельки помогут равномерно распределят нагрузку по всей стопе.